Hành trình "Tìm lại vị Tết" sau 10 năm mất răng của chú Phạm Xuân Hòa

Trang Thi
29/01/2026
Hoàng Vũ Hiệp

Phụ Trách Điều Trị

BS. Hoàng Vũ Hiệp

Bác sĩ

Mất răng không chỉ là mất đi khả năng ăn nhai mà còn là sự bào mòn về tinh thần khi những giải pháp phục hình trước đó không mang lại kết quả như mong đợi. Chú Phí Văn Hà (Ninh Bình) tìm đến Lạc Việt Intech trong một tâm thế khá đặc biệt: vừa mong mỏi có răng để ăn uống, vừa bất an sau nhiều lần "thử và sai" tại các cơ sở địa phương.

Nỗi khổ mất răng kéo dài

Chú Phạm Xuân Hòa vốn là người con của đất Nam Định cũ (nay thuộc Ninh Bình). Ở cái tuổi đáng lẽ được an nhàn thưởng thức những món ngon của con cháu, chú lại phải sống chung với tình trạng mất răng nghiêm trọng trong nhiều năm.
Cận cảnh hàm răng của chú Hòa trước khi đến Lạc Việt Intech, chú mất toàn bộ răng hàm trên, hàm dưới nhiều răng lung lay
Việc mất nhiều răng không chỉ làm khuôn mặt chú trở nên móm mém, già hơn tuổi mà còn biến mỗi bữa ăn trở thành một "cuộc chiến". Chú Hòa bùi ngùi nhớ lại: "Mất răng khổ lắm cháu ạ. Đồ cứng, đồ dai đều phải kiêng hết. Ăn không ngon thì người ngợm cũng gầy mòn đi, tinh thần lúc nào cũng mệt mỏi."
Khuôn mặt chú Hòa móm mém, hóp vì không thể ăn nhai
Trước khi biết đến Implant, chú Hòa đã thử qua nhiều phương pháp khác nhau, từ hàm tháo lắp đến cầu răng sứ tại các cơ sở địa phương. Tuy nhiên, đúng như câu nói "tiền mất tật mang", các giải pháp này chỉ duy trì được một thời gian ngắn:
  • Hàm tháo lắp: Thường xuyên lỏng lẻo, gây đau nướu và không thể nhai được đồ dai.
  • Cầu răng sứ: Làm hỏng thêm các răng trụ kế cận, dẫn đến tình trạng mất răng hàng loạt.
Việc làm đi làm lại nhiều lần không chỉ tốn kém về tài chính mà còn khiến chú Hòa rơi vào trạng thái bất an, mất niềm tin hoàn toàn vào các nha khoa.

Sự thấu hiểu của người con gái

Thấy bố gầy đi vì không ăn uống được, cô con gái của chú đang sinh sống tại Hà Nội đã không đành lòng. Khi nghe bố có ý định tiếp tục làm răng tại quê nhà Nam Định, chị đã khuyên bố: "Bố lên Hà Nội với con, con tìm hiểu kỹ rồi, trên này có nha khoa lớn, máy móc hiện đại, bố làm một lần cho chắc chắn."
Vượt qua những e ngại ban đầu, chú Hòa theo con gái lên Thủ đô. Sau khi tham khảo và được bạn bè giới thiệu, hai bố con đã quyết định dừng chân tại Nha khoa Lạc Việt Intech cơ sở phố Huế.
Chú Phạm Xuân Hòa ấn tượng với không gian khang trang của nha khoa và chuyên môn của bác sĩ Hiệp
Vừa bước chân vào phòng khám, nỗi lo âu của chú Hòa đã vơi bớt phần nào. Chú chia sẻ: "Chú ấn tượng ngay từ cái nhìn đầu tiên. Không gian ở đây rộng rãi, sạch sẽ, máy móc trông rất hiện đại mà chú chưa thấy ở đâu có. Đội ngũ nhân viên thì chuyên nghiệp, đón tiếp chú rất tận tình."

Dành trọn niềm tin cho bác sĩ Lạc Việt Intech

Chú Hòa được trực tiếp Bác sĩ Hoàng Vũ Hiệp - chuyên gia phục hình Implant thăm khám và tư vấn. Bác sĩ Hiệp phân tích tình trạng của chú Hòa bằng phim chụp, chỉ ra rằng: chú bị mất răng toàn bộ hàm trên, kèm theo tiêu xương không đều, xoang hàm hạ thấp, khiến việc trồng răng trở nên phức tạp. Tuy nhiên, nhờ công nghệ số hóa và kỹ thuật Implant toàn hàm tiên tiến, ca điều trị đã được lên kế hoạch chi tiết và chính xác.
Bác sĩ Hiệp đã chỉ định giải pháp trồng răng Implant bằng máng hướng dẫn phẫu thuật Guideline và giải thích cho chú Hòa hiểu về ưu điểm của công nghệ này:
  • Độ chính xác tuyệt đối: Máng Guideline được thiết kế cá nhân hóa từ phần mềm máy tính, giúp bác sĩ đặt trụ Implant vào vị trí tối ưu nhất trong xương hàm, tránh xa các dây thần kinh.
  • Xâm lấn tối thiểu: Không cần rạch lợi diện rộng, không cần khâu nhiều mũi, từ đó giảm thiểu đau nhức và sưng nề.
  • Lành thương nhanh: Phù hợp với người lớn tuổi, giúp chú nhanh chóng quay lại sinh hoạt bình thường.
Nghe xong những phân tích khoa học và nhìn thấy sự tận tâm của Bác sĩ Hiệp, chú Hòa hoàn toàn bị thuyết phục: "Nghe bác sĩ tư vấn tỉ mỉ về cái máng hướng dẫn này, chú thấy yên tâm hẳn. Chú chốt làm luôn không cần đắn đo gì thêm nữa."
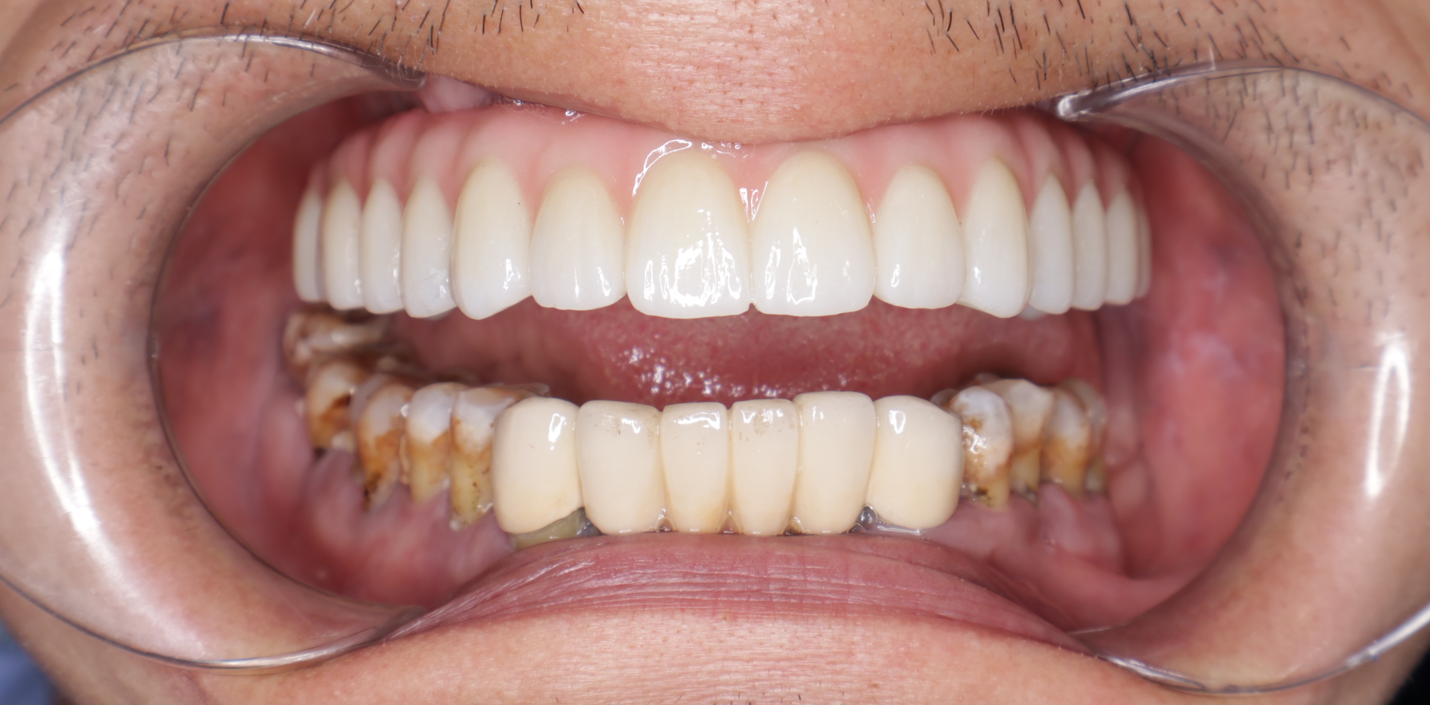
Cận cảnh hàm răng mới sau hoàn tất phục hình tại nha khoa Lạc Việt Intech
Cận cảnh hàm răng mới sau hoàn tất phục hình tại nha khoa Lạc Việt Intech

Cuộc phẫu thuật "êm ru" và cái kết viên mãn trước thềm năm mới

Ngày phẫu thuật diễn ra nhanh chóng đến mức chú Hòa cũng phải ngạc nhiên. Khác với những lần làm răng đau đớn trước đây, lần này chú cảm thấy hoàn toàn thoải mái.
"Bác sĩ Hiệp làm nhẹ nhàng lắm, chú không thấy đau đớn hay khó chịu gì cả. Quá trình diễn ra rất suôn sẻ. Sau khi làm xong, bác sĩ còn dặn dò ăn uống, vệ sinh cẩn thận từng chút một," chú Hòa phấn khởi chia sẻ.
Chú Phạm Xuân Hòa sau trồng răng implant, khuôn mặt chú đã bớt hóp hơn, tròn đầy hơn với hàm răng mới
Chỉ sau một thời gian ngắn tích hợp xương, chú Hòa đã được lắp hàm răng sứ vĩnh viễn. Cầm chiếc gương trên tay, chú không giấu được sự xúc động. Hàm răng mới không chỉ trắng sáng, tự nhiên mà quan trọng nhất là sự vững chãi. Giờ đây, chú có thể thoải mái ăn những món quà quê, nhai miếng thịt gà hay bát cơm dẻo mà không còn lo sợ lỏng lẻo hay đau nhức.
Chú cười nói: "Tết này chắc chắn là cái Tết vui nhất của chú trong 10 năm trở lại đây cháu ạ. Có răng rồi, chú sẽ về Ninh Bình ăn Tết thật to, không còn phải nhìn người ta ăn mà thèm nữa."
Câu chuyện của chú Phạm Xuân Hòa là lời nhắn nhủ đến những ai còn đang phân vân: Sức khỏe là vô giá, và niềm tin chỉ nên đặt vào những nơi xứng đáng. Lạc Việt Intech luôn sẵn sàng đồng hành cùng quý khách hàng trên hành trình tìm lại nụ cười và sức khỏe bền vững.
Chia sẻ

Tin cùng chủ đề

Hotline Chat ngay Messenger Liên hệ Zalo