Niềng Răng Nên Hay Không? Chuyên Gia Phân Tích 4 Mặt Trái Của Niềng Răng! Xem Ngay Nếu Sắp Niềng!

Quản trị viên
31/08/2025
Niềng răng nên hay không? Trong bài viết dưới đây, bác sĩ Thái Khắc Vinh sẽ chỉ ra những lý do nên niềng răng, đồng thời chỉ ra 4 nguy cơ khi niềng răng sai cách!

1. Niềng răng nên hay không: Chỉ định nào “nên”, chỉ định nào “không nên”?

Những trường hợp “nên” niềng răng (có chỉ định y khoa) bao gồm: 

  • Răng khấp khểnh/chen chúc.
  • Răng hô (do răng hoặc xương ổ răng; với hô do xương ở lứa tuổi <12 – giai đoạn còn tăng trưởng – can thiệp chỉnh nha/khí cụ định hướng rất có ý nghĩa).
  • Răng, móm (do răng). 
  • Răng thưa.

Đây là các sai lệch vị trí răng/khớp cắn, niềng răng là phương pháp lý tưởng để sắp xếp lại, tạo khớp cắn sinh lý. Nếu bỏ qua việc niềng răng, việc vệ sinh sẽ khó khăn hơn, dễ viêm lợi/nha chu và rối loạn chức năng nhai.

Các trường hợp cần niềng răng để cải thiện sai lệch

Những trường hợp “không nên” niềng răng (không có chỉ định) là những người răng đã đều, khớp cắn chuẩn, chỉ không ưng hình thể (răng ngắn, hình thái chưa đẹp). Theo bác sĩ Thái Khắc Vinh, niềng răng không phải là giải pháp lý tưởng cho các trường hợp này. Niềng răng sinh ra để sửa sai lệch vị trí chứ không thay thế toàn bộ cho điều trị thẩm mỹ mô răng. Khi đó nên cân nhắc cắt lợi thẩm mỹ hoặc phục hình sứ thẩm mỹ để cải thiện hình thể răng. 

2. Như thế nào là một ca niềng răng thành công?

Nhiều người nghĩ rằng niềng răng chỉ để “xếp răng cho đều”. Tuy nhiên, một ca niềng răng thành công phải đạt 2 mục tiêu đồng thời là thẩm mỹ và chức năng. Nếu chỉ đạt một trong hai đều chưa đủ.

Ở khía cạnh thẩm mỹ, bác sĩ cần đảm bảo cải thiện cho khách hàng các tiêu chí về hàm răng - nụ cười và tầng mặt dưới. Không chỉ là hàng răng thẳng, bác sĩ hướng tới hình thái, độ bộc lộ răng, đường cười hài hòa và tỉ lệ khuôn mặt cân bằng. Việc cá nhân hóa thẩm mỹ theo từng khuôn mặt là mục tiêu cốt lõi, tránh “một khuôn cho mọi người”.

Ở khía cạnh chức năng, bác sĩ cần đảm bảo cho khách hàng có một khớp cắn sinh lý, ăn nhai hiệu quả và bền vững. Sau niềng, tương quan hai hàm phải đạt chuẩn để phân bổ lực nhai đúng, giảm mòn răng và bảo vệ khớp thái dương hàm. Chính nền tảng chức năng này giúp kết quả đẹp – bền – an toàn theo thời gian.

3. Lợi ích thực sự của niềng răng đúng chỉ định 

Khác với bọc sứ (cần mài răng) hay phẫu thuật (can thiệp xương, đặt vật liệu), niềng răng tôn trọng mô cứng – mô mềm tự nhiên. Khi làm đúng và đủ, kết quả niềng răng sẽ bền vững mà không cần phải đánh đổi sức khỏe răng miệng. Dưới đây là một số ưu điểm tuyệt vời mà phương pháp niềng răng mang lại: 

- Niềng răng khôi phục nụ cười và phong thái, khiến bạn cởi mở và tích cực hơn trong học tập, công việc.

- Khi khớp cắn đúng, hai “bánh răng” (hai hàm) vận hành trơn tru; hệ cơ nhai đỡ gắng sức nhưng hiệu quả nhai tốt hơn. Điều này giảm nguy cơ đau cơ/khớp và bảo vệ men răng.

- Răng ngay hàng giúp chải răng, dùng chỉ nha khoa dễ và sạch hơn. Lâu dài, nguy cơ viêm quanh răng giảm đáng kể.

Quan niệm “niềng làm hỏng răng” chỉ đúng khi làm sai để lại tai biến. Với chẩn đoán – lực kéo – theo dõi đúng, niềng răng không làm giảm mà còn tăng độ bền của bộ răng theo thời gian.

4. Hậu quả khi niềng răng sai cách: 4 biến chứng nặng hay gặp

Nếu không được điều trị đúng cách bởi các bác sĩ có chuyên môn cao, khách hàng có thể gặp phải một số vấn đề sau đây: 

- Không đạt kết quả (không hết hô/móm/khấp khểnh), không đạt mục tiêu thẩm mỹ – chức năng. Nguyên nhân thường do kế hoạch điều trị thiếu cơ sở, phụ thuộc “kinh nghiệm” cảm tính, không có công nghệ hỗ trợ.

Biến chứng tiêu xương nghiêm trọng khi niềng răng 

- Tiêu ngót chân răng (rút ngắn chân răng) do dùng lực quá mạnh/ngắt quãng, khí cụ kém chất lượng, hoặc cơ địa nhạy cảm nhưng không được kiểm soát. Thông thường, mức tiêu chân răng cho phép là không quá 30% chiều dài chân răng ban đầu. Nếu tiêu quá giới hạn này, răng sẽ bị yếu và có nguy cơ rụng sớm. 

- Bật chóp – răng “bật” khỏi xương ổ do xoay/torque sai. Đây là biến chứng nặng, thẩm mỹ rất xấu và thường phải nhổ. Nguyên nhân điển hình là thao tác lực sai hướng, đây hoàn toàn là do lỗi từ phía bác sĩ.

Tiêu xương ổ răng – tụt lợi, hở chân răng, lộ tam giác đen, răng lung lay. Hậu quả là chức năng ăn nhai và thẩm mỹ đều nghiêm trọng, quá trình phục hồi phức tạp và tốn kém chi phí.

Những biến chứng này đều ít nhiều ảnh hưởng trực tiếp tới tuổi thọ của răng, thậm chí có trường hợp biến chứng nặng nề còn gây mất răng vĩnh viễn, khiến người bệnh phải mất thiêm nhiều thời gian và chi phí điều trị. 

 

5. 4 trụ cột để có kết quả niềng răng an toàn, bền vững

Để tạo nên thành công của một ca niềng răng, cần có sự kết ợp của 4 "trụ cột", hay nói cách khác là 4 yếu tố: 

1. Bác sĩ phải được đào tạo chỉnh nha bài bản sau đại học và có kinh nghiệm thực sự dựa trên số ca đã hoàn tất, không chỉ “số năm hành nghề”.

2. Công nghệ giúp dự báo kết quả, tầm soát biến chứng, đo lường cá nhân hóa lực và lộ trình di chuyển răng. Khi tích hợp AI và dữ liệu lớn, khuyến cáo điều trị khách quan hơn, giảm phụ thuộc cảm tính.

Giải pháp niềng răng X-Matrix cho phép xem trước kết quả dịch chuyển răng 

3. Không chỉ mắc cài mà cả dây cung, minivis, lò xo, chuỗi đàn hồi… đều phải đạt chất lượng. Tổng thể đồng bộ mới đảm bảo chuyển động răng an toàn và ổn định.

4. Bệnh nhân nên tái khám đúng hẹn, giữ vệ sinh kỹ, tuân thủ hướng dẫn. Nếu thiếu phối hợp từ bệnh nhân, quá trình niềng có thể thất bại dù bác sĩ và công nghệ tốt.

Tại Nha khoa Lạc Việt Intech, cả 3 yếu tố bác sĩ giỏi, công nghệ điều trị hiện đại và sử dụng vật liệu chỉnh nha chất lượng cao đều được cam kết rõ ràng bằng văn bản. Đặc biệt, 100% khách hàng sẽ được trải nghiệm các giải pháp niềng răng hiện đại nhất để đạt được hiệu quả tối ưu. 

6. Cách chọn nha khoa & bác sĩ chỉnh nha: Tiêu chí thực tế để không “chọn nhầm”

Bên cạnh các thông tin liên quan tới chuyên môn, bác sĩ Thái Khắc Vinh cũng chia sẻ một số kinh nghiệm chọn nha khoa uy tín để đảm bảo quá trình niềng răng an toàn, hiệu quả: 

  • Đi 2–3 trung tâm để so sánh kế hoạch, tránh chọn vội.

  • Xác thực bác sĩ có chứng chỉ chỉnh nha, đánh giá theo số ca hoàn tất.

  • Hỏi rõ công nghệ dự báo kết quả và kiểm soát biến chứng.

  • Yêu cầu minh bạch về toàn bộ khí cụ sẽ dùng, không chỉ mắc cài.

  • Làm rõ chi phí, cam kết, trách nhiệm khi có rủi ro.

  • Đặt kỳ vọng hợp lý về kinh nghiệm: nhiều ca đã hoàn tất quan trọng hơn số năm hành nghề.

Đây là một số tiêu chí mà khách hàng nên yêu cầu nha khoa và bác sĩ làm rõ trước khi quyết định điều trị tại bất cứ cơ sở nào. 

7. Dấu hiệu cảnh báo trong quá trình niềng: Khi nào cần đi khám

Trong các giai đoạn răng dịch chuyển, răng có thể bị lung lay nhẹ khiến khách hàng bị đau hoặc gặp khó khăn trong sinh hoạt. Đó là những dấu hiệu rất bình thường. Tuy nhiên, khách hàng nên cảnh giác với các triệu chứng bất thường sau đây: 

  • Răng cửa cụp dần, hở lợi tăng, cắn lại không thấy răng dưới → nguy cơ bật chóp.

  • Răng lung lay quá mức hoặc đau kéo dài → cần chụp phim đánh giá.

  • Đau buốt nhiều khi ăn nóng → có thể sâu răng, viêm tủy hoặc lực quá lớn.

Các triệu chứng này có thể là dấu hiệu của một số biến chứng nghiêm trọng, ảnh hưởng tới tuổi thọ của răng hoặc gây mất răng vĩnh viễn. Nếu phát hiện các tình trạng bất thường này, chúng ta nên thông báo ngay cho bác sĩ điều trị để xác định nguyên nhân và cách điều trị sớm nhất, ngăn ngừa các hậu quả không đáng có. 

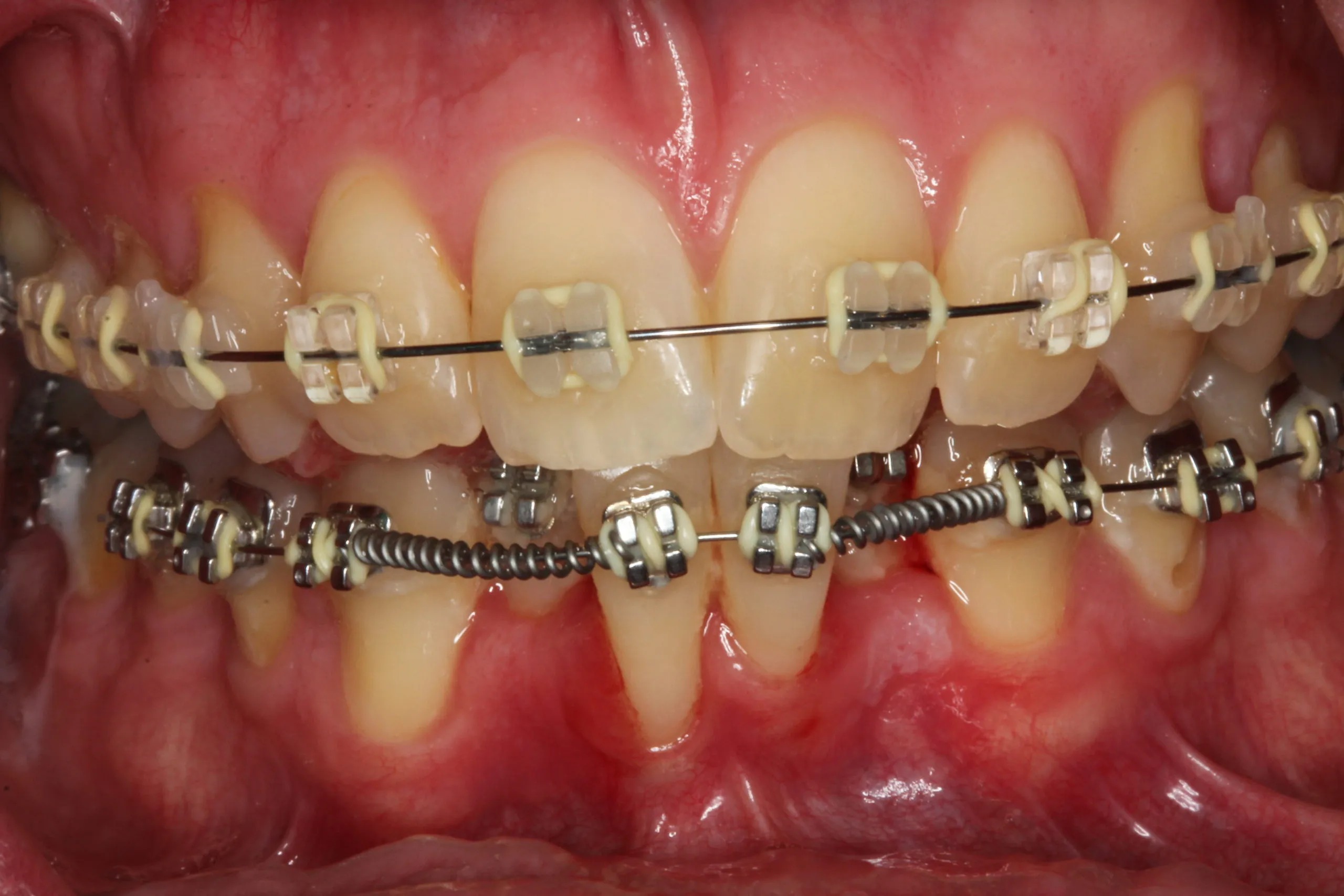
Tụt lợi, lộ chân răng, răng lung lay bất thường là những dấu hiệu cần lưu ý khi niềng 

 

Niềng răng nên hay không không thể trả lời chung cho tất cả mọi người. Đây là quyết định y khoa cần dựa trên tình trạng răng miệng, sức khỏe toàn thân và mong muốn thẩm mỹ của từng bệnh nhân. Từ góc nhìn chuyên gia, nếu bạn có chỉ định, niềng răng sẽ mang lại lợi ích lâu dài cả về thẩm mỹ lẫn sức khỏe. Hãy lựa chọn nha khoa uy tín và bác sĩ chỉnh nha giàu kinh nghiệm để đảm bảo quá trình niềng răng an toàn, hiệu quả và đạt kết quả như mong muốn.

Chia sẻ

Tin cùng chủ đề

Đối tác của Nha khoa lạc việt intech

dentsplysirona
Ecligner
Straunman
Straunman
Invisalign
Swiss Dental Care
test1
Osstem Implant
Hotline Chat ngay Messenger Liên hệ Zalo