Những người không nên niềng răng: 10 nhóm khách hàng cần đặc biệt lưu ý

Quản trị viên
28/03/2026
Phan Thị Linh

Tư Vấn Chuyên Môn

BS. Phan Thị Linh

Bác sĩ

Những người không nên niềng răng là những ai? Tìm hiểu ngay 10 nhóm chống chỉ định chỉnh nha để tránh biến chứng nguy hiểm và bảo vệ sức khỏe răng miệng tối ưu cùng chuyên gia Lạc Việt Intech. 

Những ai không nên niềng răng? Vì sao?

Theo các bác sĩ nha khoa, có tới 10 nhóm người không nên niềng răng. Đây không phải là sự từ chối ngẫu nhiên, mà dựa trên các nguyên lý sinh cơ học khắt khe của cơ thể.

Những ai không nên niềng răng? 

Trong số những người không nên niềng răng, bác sĩ sẽ chia thành 2 nhóm là chống chỉ định tuyệt đối (không nên niềng răng) và chống chỉ định tương đối (nên trì hoãn việc niềng răng tới khi thích hợp). Thông tin cụ thể như sau: 

Người có cấu trúc xương hàm mỏng và mất xương lan tỏa

Trong chỉnh nha, sự di chuyển của răng thực chất là quá trình tái cấu trúc xương ổ răng dựa trên cơ chế tiêu xương ở phía áp lực và bồi xương ở phía sức căng. Đối với nhóm khách hàng có xương quá mỏng hoặc đang gặp tình trạng tiêu xương lan tỏa, mật độ xương không đủ để đáp ứng chu trình này. 

Khi bác sĩ tác động lực siết từ mắc cài, quá trình tiêu xương diễn ra nhanh hơn bồi xương. Hậu quả là không có xương lưu giữ, tụt lợi hoặc chân răng bị đẩy ra khỏi bản xương. Do đó, các bác sĩ bắt buộc phải chỉ định khách hàng chụp phim x-quang để khảo sát tình trạng xương. 

Khách hàng đã bị tiêu xương, mất xương lan tỏa có thể không đủ điều kiện niềng răng 

Những người không nên niềng răng do xương mỏng/tiêu xương thường chiếm từ 1% đến 3% và bác sĩ buộc lòng phải từ chối chỉnh nha để bảo tồn răng thật. Giải pháp khác là phục hình thẩm mỹ răng sứ để điều chỉnh trục răng trong giới hạn cho phép. Trong trường hợp khách hàng đã bị mất răng trên nền xương yếu, việc cấy ghép Implant kết hợp ghép xương sẽ là phương án bền vững hơn để khôi phục chức năng ăn nhai và thẩm mỹ mà không gây áp lực quá tải lên hệ thống xương hàm vốn đã mỏng manh.

Răng dính khớp và những biến chứng không rõ nguyên nhân

Răng dính khớp là một trong những rào cản lớn nhất của chỉnh nha. Do đó, khách hàng có răng dính khớp cũng thuộc nhóm những người không nên niềng răng. 

Chân răng dính trực tiếp vào xương hàm làm mất đi khoảng dây chằng nha chu – "lớp đệm" cần thiết để răng có thể dịch chuyển. Tình trạng này thường xuất hiện ở những bệnh nhân từng có tiền sử chấn thương vùng hàm mặt hoặc do yếu tố di truyền. Số liệu thực tế cho thấy có khoảng 0,5% trường hợp răng đang trong quá trình niềng thì đột ngột dính khớp không rõ nguyên nhân, khiến răng trở nên "cứng đầu" hơn cả một trụ Implant và không hề nhúc nhích dù bác sĩ tăng lực kéo.

Răng dính khớp là một trong những rào cản lớn nhất của chỉnh nha

Việc cố gắng dùng lực mạnh sẽ gây ra phản lực làm xô lệch các răng khỏe mạnh xung quanh và gây đau nhức dữ dội. Bác sĩ có thể bắt buộc phải nhổ bỏ chiếc răng dính khớp đó và thay thế bằng một trụ Implant để đảm bảo tính thẩm mỹ và khớp cắn chuẩn cho toàn hàm.

Sai lệch xương hàm mức độ nặng vượt giới hạn chỉnh nha

Tại sao không nên niềng răng cho những người có sai lệch xương quá phức tạp? Nhiều khách hàng lầm tưởng rằng niềng răng có thể giải quyết mọi tình trạng sai lệch răng. Ít ai biết rằng nếu nguyên nhân xuất phát từ sự phát triển quá mức hoặc kém phát triển của nền xương hàm thì niềng răng đơn thuần chỉ mang tính chất bù trừ. Việc cố tình kéo răng để che đậy khiếm khuyết xương có thể khiến trục răng bị quặp hoặc chìa quá mức, gây mất thẩm mỹ nụ cười và làm tổn thương khớp thái dương hàm do khớp cắn không được thiết lập đúng vị trí sinh lý.

Niềng răng không thể khắc phục được các sai lệch xương hàm quá phức tạp

Nhóm khách hàng này cần phải kết hợp cả phẫu thuật và niềng răng để giải quyết các sai lệch. Quy trình chuẩn là niềng răng tiền phẫu để sắp xếp các răng về đúng trục trên từng xương hàm riêng biệt, sau đó phẫu thuật cắt và đẩy xương hàm về vị trí cân đối. Đây là giải pháp duy nhất giúp thay đổi hoàn toàn diện mạo khuôn mặt và đảm bảo sức khỏe hệ thống nhai lâu dài cho bệnh nhân có sai lệch xương nghiêm trọng.

Mắc bệnh lý viêm lợi và cao răng dưới lợi diện rộng

Khách hàng bị viêm lợi, cao răng dưới lợi cũng thuộc nhóm những người không nên niềng răng. Số lượng này chiếm tới 17% trong số các ca cần trì hoãn chỉnh nha. 

Cao răng, đặc biệt là cao răng dưới lợi, là nơi trú ngụ của hàng tỷ vi khuẩn gây hại. Khi gắn mắc cài, việc vệ sinh răng miệng trở nên khó khăn, tạo điều kiện cho vi khuẩn tấn công mạnh mẽ vào mô nướu đang nhạy cảm do lực siết răng. Nếu không xử lý dứt điểm, tình trạng viêm sẽ tiến triển thành túi mủ, gây đau đớn và cản trở hoàn toàn tiến độ dịch chuyển răng.

Khách hàng bị viêm lợi rất nặng do không đảm bảo vệ sinh răng miệng 

Nếu gặp các tình trạng này, bác sĩ tại Lạc Việt Intech sẽ lấy sạch cao răng và điều trị miễn hó cho khách hàng. Nếu viêm lợi nhẹ, cao răng ít, việc điều trị sẽ đơn giản và nhanh chóng. Nếu nhiều cao răng dưới lợi, viêm nặng thì khách hàng có thể mất vài lần hẹn cùng bác sĩ. 

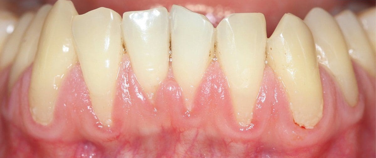
Người mắc bệnh lý nha chu và nguy cơ tiêu xương ổ răng

Trong chỉnh nha, lực kéo răng chỉ an toàn khi xương ổ răng khỏe mạnh. Số người bị viêm nha chu chiếm khoảng 7% lượng khách hàng niềng răng.

Viêm nha chu là tình trạng viêm nhiễm nghiêm trọng lan sâu xuống dây chằng và xương ổ răng. Đây là nguyên nhân hàng đầu gây tiêu xương ngay cả khi không niềng răng. Nếu vẫn cố chấp dịch chuyển răng trên nền nha chu yếu, lực chỉnh nha sẽ đóng vai trò như một tác nhân cộng hưởng, thúc đẩy quá trình tiêu xương diễn ra nhanh hơn (tiêu xương bệnh lý), làm trầm trọng thêm tình trạng mất bám dính và khiến răng lung lay nhanh chóng.

Răng bị tiêu xương, tụt lợi ngay cả khi không niềng răng 

Khách hàng cần phải điều trị triệt để viêm nha chu trước khi gắn mắc cài. Bác sĩ chỉnh nha cần phối hợp chặt chẽ với bác sĩ nội nha để đảm bảo hiệu quả điều trị. Chỉ khi các túi nha chu đã được xử lý, tình trạng tiêu xương được kiểm soát và mô mềm đã ổn định hoàn toàn thì mới có thể niềng răng. Trong suốt quá trình chỉnh nha cho người có tiền sử nha chu, bác sĩ phải sử dụng lực nhẹ, thăm khám định kỳ hàng tháng và kiểm tra phim X-quang thường xuyên để đảm bảo răng vẫn nằm trong giới hạn an toàn của bản xương.

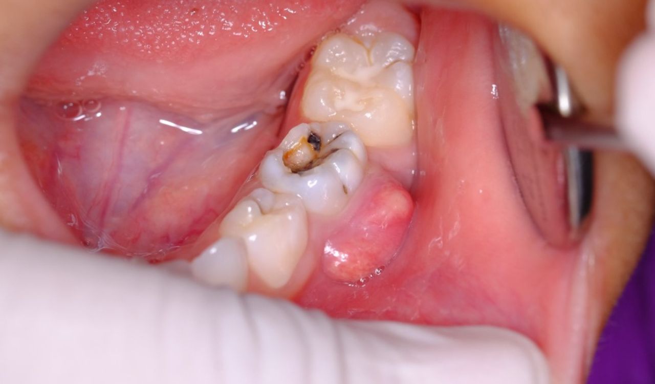
Nhóm nhiễm khuẩn miệng cấp tính và các ổ áp xe quanh chóp

Nhiễm khuẩn miệng cấp tính bao gồm các tình trạng như áp xe răng, viêm quanh cuống răng hoặc các vết loét niêm mạc miệng diện rộng. Ổ viêm cấp tính nếu kết hợp với lực chỉnh nha sẽ gây đau đớn dữ dội cho khách hàng. Việc gắn khí cụ trong môi trường đang có ổ áp xe làm tăng nguy cơ vi khuẩn xâm nhập vào máu, gây nhiễm trùng toàn thân cực kỳ nguy hiểm.

Người đang có nhiễm khuẩn trong miệng cũng thuộc nhóm những người không nên niềng răng 

Giải pháp bắt buộc là loại bỏ triệt để các ổ nhiễm khuẩn bằng cách điều rạch thoát mủ áp xe hoặc sử dụng kháng sinh liều cao theo chỉ định. Chỉ sau khi các triệu chứng sưng, nóng, đỏ, đau biến mất hoàn toàn và hình ảnh X-quang cho thấy vùng xương quanh chóp răng đang có dấu hiệu lành thương, bác sĩ mới tiến hành các bước chỉnh nha đầu tiên. Việc nóng vội trong giai đoạn này không chỉ làm hỏng răng mà còn đe dọa trực tiếp đến sức khỏe tổng quát của khách hàng.

Phụ nữ mang thai và những hạn chế về kỹ thuật y tế

Rất nhiều người thắc mắc rằng mang thai có niềng răng được không, mang thai có nên niềng răng không. Theo các bác sĩ chỉnh nha, phụ nữ mang thai thuộc nhóm chống chỉ định tạm thời do các rào cản về kỹ thuật hỗ trợ. Thời điểm thích hợp là sau khi đã sinh con và kết thúc giai đoạn cho bé bú. Lúc này, cơ thể người mẹ phục hồi và không bị ảnh hưởng bới các tia X hoặc thuốc tê.

Quy trình chỉnh nha tiêu chuẩn đòi hỏi phải chụp phim X-quang toàn cảnh và phim sọ nghiêng nhiều lần để đánh giá hướng dịch chuyển của răng. Mặc dù lượng tia X trong nha khoa rất thấp, nhưng việc hạn chế tối đa là cần thiết. Ngoài ra, các thủ thuật như nhổ răng tiền cối hay cắm vít neo chặn yêu cầu sử dụng thuốc tê, vốn là điều nên hạn chế trong thai kỳ để tránh những phản ứng phụ không mong muốn cho mẹ và bé. 

Phụ nữ mang thai thuộc nhóm chống chỉ định niềng răng tạm thời do các rào cản về kỹ thuật hỗ trợ

Nếu khách hàng phát hiện mang thai trong khi đang niềng răng, bác sĩ sẽ điều chỉnh sang chế độ "duy trì" hoặc dịch chuyển rất nhẹ, tạm dừng tất cả các thủ thuật xâm lấn và không chụp phim X-quang. Điều này giúp đảm bảo tiến độ niềng răng không bị lùi quá sâu mà vẫn giữ an toàn tuyệt đối cho thai kỳ.

Chân răng ngắn bẩm sinh và tiêu chóp răng sinh lý

Khách hàng có chân răng ngắn bẩm sinh hoặc tiêu chân răng trước khi niềng răng cũng có thể thuộc nhóm những người không nên niềng răng. Để có chỉ định chính xác nhất, bác sĩ cần phải khảo sát phim CT Cone Beam để để đo đạc chính xác chiều dài chân răng trước khi lên kế hoạch điều trị. Nếu chân răng quá ngắn thì không thể chỉnh nha được. 

Chân răng là phần neo giữ răng trong xương hàm. Nếu chân răng ngắn bẩm sinh hoặc hình thể dị dạng, khả năng chịu lực sẽ kém hơn rất nhiều. Bất kỳ ca niềng răng nào cũng sẽ có một mức độ tiêu chân răng sinh lý nhất định (khoảng 1-2mm). Với người có chân răng dài, điều này không đáng ngại. Nhưng với người chân răng vốn đã ngắn, việc mất thêm vài milimet có thể khiến tỷ lệ thân răng/chân răng mất cân đối nghiêm trọng, dẫn đến răng bị lung lay sớm.

Khách hàng gặp các vấn đề về chân răng cũng nên cân nhắc và thăm khám kỹ trước khi niềng

Bác sĩ phải kiểm soát được lực tác động lên răng để không làm tiêu thêm chân răng. Trong quá trình niềng, bác sĩ phải sử dụng lực cực kỳ nhẹ nhàng và liên tục kiểm tra bằng phim X-quang mỗi 3 - 6 tháng. Nếu phát hiện tiêu chân răng tiến triển, bác sĩ buộc phải tạm dừng lực hoặc kết thúc điều trị sớm hơn dự kiến để bảo tồn răng thật cho khách hàng.

Người mắc bệnh lý toàn thân và khả năng lành thương kém

Các bệnh lý như đái tháo đường không kiểm soát hoặc hội chứng suy giảm miễn dịch làm thay đổi đáng kể khả năng phản ứng của cơ thể với lực chỉnh nha. Ở bệnh nhân tiểu đường, lượng đường trong máu cao làm giảm khả năng tưới máu đến các mô quanh răg. Nếu xuất hiện các vết thương hở hoặc nhổ răng thì sẽ rất lâu lành và dễ nhiễm trùng. Điều này không chỉ gây đau đớn mà còn làm gián đoạn quá trình tái tạo xương cần thiết để răng di chuyển ổn định.

 Người mắc các bệnh lý toàn thân chỉ nên niềng răng khi các chỉ số sức khỏe đã được kiểm soát 

Trước khi tiến hành niềng răng cho nhóm khách hàng này, bác sĩ cần yêu cầu kết quả xét nghiệm máu và sự tư vấn từ bác sĩ nội khoa. Chỉ khi các chỉ số đường huyết được kiểm soát, quá trình chỉnh nha mới có thể thực hiện. 

Trong suốt thời gian điều trị, bác sĩ chỉnh nha cũng cần theo dõi sát sao hơn, ưu tiên sử dụng các loại khí cụ ít gây kích ứng niêm mạc và rút ngắn khoảng thời gian giữa các lần tái khám để kịp thời xử lý các dấu hiệu viêm nhiễm.

Người không kiểm soát được hành vi hoặc không tự giác 

Niềng răng là một cuộc chạy đua marathon kéo dài từ 18 đến 24 tháng. Khách hàng cần kiên trì, hợp tác tuyệt đối trong việc vệ sinh răng miệng và tái khám đúng hẹn. Nếu không, việc chỉnh nha sẽ rơi vào trạng thái "mất kiểm soát". 

Khách hàng niềng răng cần kiên trì, hợp tác tuyệt đối trong việc vệ sinh răng miệng và tái khám đúng hẹn

Với trẻ em quá nhỏ, ý thức bảo vệ khí cụ chưa hình thành rõ rệt, dẫn đến việc thường xuyên làm bong mắc cài hoặc ăn nhai đồ cứng gây sai lệch lực kéo. Đối với những người đang chịu áp lực tâm lý hoặc trầm cảm, việc phải đối mặt với những cơn đau tức âm ỉ và quy trình vệ sinh khắt khe mỗi ngày có thể trở thành một gánh nặng quá sức, dễ dẫn đến tâm lý bỏ cuộc giữa chừng. 

Nếu không thể cam kết đồng hành cùng bác sĩ, việc tạm hoãn để chờ đợi thời điểm thích hợp chính là quyết định sáng suốt nhất để bảo vệ cả sức khỏe và tâm lý của người bệnh.

Giải pháp của cho những người không nên niềng răng 

Tại Lạc Việt Inrtech, bác sĩ luôn đưa ra giải pháp cho tất cả các vấn đề của khách hàng. Để làm được điều đó, bác sĩ sẽ phải thăm khám rất chi tiết ở buổi đầu tiên với các bước: 

- Chụp đủ 3 loại phim X-quang, scan dấu răng, tích hợp dữ liệu vào phần mềm trí tuệ nhân tạo để khảo sát tình trạng xương hàm, phân tích các chỉ số sai lệch xương và răng. 

- Thăm khám trực tiếp trên miệng để kiểm tra tình trạng răng và mô mềm, khớp cắn, khớp thái dương hàm. 

- Khai thác tiền sử bệnh lý và lắng nghe nguyện vọng của khách hàng. 

Từ đó, bác sĩ sẽ đã sơ bộ sàng lọc và phân loại được khách hàng thành 3 nhóm: có thể điều trị, chưa thể điều trị và không thể điều trị. 

Với nhóm khách hàng chưa thể điều trị ngay 

Đây là nhóm khách hàng vẫn có cơ hội sở hữu nụ cười đẹp nhưng cần tạm hoãn để điều trị dứt điểm các vấn đề hiện tại. Việc ưu tiên xử lý các bệnh lý nền như viêm nha chu, sâu răng hay viêm lợi không chỉ giúp tạo nền tảng vững chắc cho quá trình thẩm mỹ mà còn đảm bảo kết quả bền vững, tránh những biến chứng không đáng có về sau.

Khách hàng sẽ được điều trị các vấn đề về sức khỏe toàn thân và răng miệng trước khi niềng răng 

Bác sĩ sẽ lập lộ trình "chuẩn bị" cụ thể:

- Điều trị bệnh lý răng miệng: Với khách hàng bị viêm nha chu, sâu răng hoặc viêm tủy, bác sĩ sẽ chỉ định điều trị triệt để các ổ viêm nhiễm. Chỉ khi nướu khỏe và răng ổn định, quá trình gắn mắc cài mới được bắt đầu.

- Chỉnh nha tăng trưởng: Với trẻ dưới 10 tuổi, bác sĩ sẽ theo dõi định kỳ và chỉ định dùng các khí cụ tiền chỉnh nha để định hướng xương hàm phát triển, thay vì vội vàng gắn mắc cài cố định.

- Trị liệu tâm lý và sắp xếp thời gian: Với khách hàng đang gặp áp lực tâm lý hoặc quá bận rộn, bác sĩ sẽ tư vấn lùi thời điểm niềng răng cho đến khi khách hàng sẵn sàng về tinh thần và có thể cam kết lịch tái khám định kỳ.

Các bác sĩ sẽ chỉ định phương án điều trị dựa trên tình trạng sức khỏe của khách hàng. tổng thể sức khỏe của khách hàng. Việc từ chối khách hàng đúng lúc đôi khi còn quan trọng hơn việc đồng ý điều trị bằng mọi giá.

Với nhóm khách hàng không thể niềng răng 

Đối với nhóm khách hàng mắc các bệnh lý nền nghiêm trọng hoặc cấu trúc xương không cho phép, bác sĩ sẽ kiên quyết từ chối điều trị chỉnh nha để bảo vệ an toàn tính mạng và sức khỏe lâu dài. Thay vào đó, bác sĩ sẽ chỉ định các giải pháp thay thế.

Khách hàng có thể chọn thẩm mỹ răng sứ hoặc các phương pháp khác thay cho niềng răng 

Khách hàng có thể cân nhắc chọn một trong số các phương pháp sau: 

- Bọc răng sứ thẩm mỹ hoặc dán sứ Veneer: Áp dụng cho trường hợp sai lệch nhẹ nhưng nền xương yếu hoặc khách hàng mắc bệnh tiểu đường, máu khó đông không thể chịu đựng quá trình di chuyển răng lâu dài.

- Phẫu thuật hàm: Chỉ định cho nhóm khách hàng bị hô, móm, lệch mặt do cấu trúc xương hàm quá nặng. Lúc này, niềng răng không thể khắc phục được, phẫu thuật là con đường duy nhất để thay đổi diện mạo. Lạc Việt Intech không trực tiếp đảm nhận các ca phẫu thuật nhưng có thể giới thiệu cho khách hàng các bác sĩ phẫu thuật hàm mặt giỏi nhất. 

- Trồng răng Implant: Dành cho người mất răng lâu năm dẫn đến tiêu xương hàm nặng, không đủ điều kiện để kéo răng các răng khác thay thế cho rang bị mất.

Để biết mình có thuộc một trong số những người không thể niềng răng hay không, quý khách hàng hãy tới gặp trực tiếp các bác sĩ tại Lạc Việt Intech. Nha khoa cam kết miễn phí 100% chi phí thăm khám ban đầu cho tất cả mọi khách hàng. 

Chia sẻ

Tin cùng chủ đề

Đối tác của Nha khoa lạc việt intech

dentsplysirona
Ecligner
Straunman
Straunman
Invisalign
Swiss Dental Care
test1
Osstem Implant
Hotline Chat ngay Messenger Liên hệ Zalo