Tư Vấn Chuyên Môn
BS. Phạm Nguyễn Mai Anh
Bác sĩ
Trong chỉnh nha, nếu chỉ nhìn ở bề mặt, người ta rất dễ nghĩ rằng kết quả phụ thuộc vào loại mắc cài hay khay niềng được sử dụng, nhưng trên thực tế, khí cụ chỉ là phương tiện thực hiện, còn kết quả lại phụ thuộc vào việc ca điều trị được định hướng đến một tiêu chuẩn nào ngay từ đầu. X-Matrix được xây dựng trên một cách tiếp cận khác, không bắt đầu từ việc lựa chọn công cụ mà bắt đầu từ việc xác định rõ trạng thái kết thúc điều trị, tức là răng sẽ nằm ở đâu trong xương, khớp cắn sẽ đạt dạng nào, khuôn mặt sẽ thay đổi ra sao và quan trọng hơn là kết quả đó có duy trì được hay không. Khi trạng thái đích này được xác lập, toàn bộ quá trình điều trị trở thành một hệ thống kiểm soát liên tục, trong đó mọi dịch chuyển đều có mục tiêu, có giới hạn và có khả năng dự đoán trước, thay vì phụ thuộc vào điều chỉnh trong quá trình làm.
Từ góc nhìn chuyên môn, một kết quả chỉnh nha chỉ được coi là hoàn chỉnh khi đồng thời đạt bốn tiêu chuẩn gồm thẩm mỹ, chức năng, ổn định và an toàn, nhưng điều quan trọng là mỗi tiêu chuẩn này cần được hiểu ở mức cơ chế sinh học chứ không phải ở mức cảm quan bên ngoài, bởi nếu chỉ dừng lại ở việc “nhìn đẹp”, rất nhiều sai lệch bên trong vẫn có thể tồn tại mà không được nhận diện.
Trong chỉnh nha, thẩm mỹ thường bị hiểu đơn giản là răng thẳng, đều và trắng hơn, nhưng trên thực tế, cảm nhận “đẹp” của một khuôn mặt không đến từ răng riêng lẻ mà đến từ sự hài hòa tổng thể giữa răng, môi, cằm và cấu trúc xương mặt. Một hàm răng có thể rất đều nhưng nếu tương quan với môi và mặt nghiêng không phù hợp thì khuôn mặt vẫn có thể trông kém cân đối, thậm chí mất tự nhiên.



Điều này xuất phát từ việc răng không tồn tại độc lập, mà là một phần của hệ thống mô mềm và cấu trúc mặt. Khi vị trí răng thay đổi, môi sẽ thay đổi theo, từ đó ảnh hưởng đến độ nhô của môi, độ gập của góc mũi – môi và đường nét mặt nghiêng. Vì vậy, cùng một mức độ dịch chuyển răng, nhưng nếu không đặt trong bối cảnh khuôn mặt, kết quả có thể rất khác nhau, có trường hợp cải thiện rõ rệt nhưng cũng có trường hợp làm khuôn mặt mất cân đối.
Trong tiếp cận X-Matrix, thẩm mỹ không được đánh giá trên cung răng mà được đánh giá trên toàn bộ khuôn mặt, nghĩa là trước khi quyết định dịch chuyển răng, cần xác định rõ khuôn mặt lý tưởng của bệnh nhân nên đạt trạng thái nào, bao gồm sự cân đối giữa môi trên – môi dưới, độ nhô của môi so với mặt nghiêng và cách răng hiển thị khi cười. Từ mục tiêu đó, vị trí răng sau cùng mới được thiết lập như một yếu tố phục vụ cho sự hài hòa tổng thể, thay vì là đích điều trị độc lập.
Nói cách khác, trong X-Matrix, thẩm mỹ không phải là việc làm cho răng “đẹp hơn”, mà là quá trình điều chỉnh vị trí răng để khuôn mặt đạt trạng thái cân đối và tự nhiên hơn, trong đó răng đóng vai trò là một thành phần trong tổng thể chứ không phải là trung tâm duy nhất của thẩm mỹ.



Khớp cắn thường bị hiểu đơn giản là việc các răng chạm vào nhau, nhưng về mặt sinh học, nó là một hệ thống phân phối lực nhai, trong đó mỗi tiếp xúc giữa các múi răng đều đóng vai trò định hướng lực đi theo trục răng và phân bố đều trên toàn bộ cung hàm. Khi khớp cắn không đạt chuẩn, lực nhai sẽ bị lệch, dẫn đến tình trạng một số răng chịu tải quá mức trong khi các răng khác không tham gia đầy đủ vào chức năng, và về lâu dài, điều này có thể gây mòn răng, quá tải khớp thái dương hàm hoặc tạo ra những thay đổi chức năng không mong muốn.
Điểm đáng chú ý là những sai lệch về khớp cắn thường không biểu hiện ngay sau khi tháo niềng mà xuất hiện muộn sau một thời gian sử dụng, khiến nhiều người lầm tưởng rằng kết quả ban đầu là tốt. Trong X-Matrix, khớp cắn không phải là yếu tố được chỉnh sửa ở giai đoạn cuối mà được thiết lập ngay từ đầu thông qua việc xác định tương quan răng hàm, răng nanh, kiểm soát overjet và overbite, đồng thời mô phỏng tiếp xúc khớp cắn trong suốt quá trình dịch chuyển răng, giúp đảm bảo rằng khi kết thúc điều trị, hệ thống nhai đã ở trạng thái cân bằng và ổn định.


Tái phát sau niềng răng thường được giải thích đơn giản là do cơ địa hoặc do không đeo hàm duy trì đầy đủ, nhưng trên thực tế, yếu tố quyết định lại nằm ở vị trí răng sau điều trị có nằm trong vùng cân bằng lực sinh lý hay không. Răng luôn chịu tác động đồng thời của lực môi, lực má và lực lưỡi, và chỉ khi vị trí của răng cân bằng với các lực này thì nó mới có thể duy trì ổn định lâu dài.
Nếu răng được đặt ở vị trí vượt ra ngoài vùng cân bằng, hệ thống sẽ có xu hướng tự điều chỉnh trở lại trạng thái cũ, bất kể có sử dụng hàm duy trì hay không. Trong X-Matrix, yếu tố ổn định được kiểm soát bằng cách thiết kế vị trí răng dựa trên cung xương thật, kiểm soát trục răng và hạn chế các dịch chuyển vượt quá khả năng thích nghi của mô, từ đó đảm bảo rằng kết quả đạt được không chỉ tồn tại tại thời điểm tháo niềng mà còn duy trì được theo thời gian.



Răng di chuyển trong xương thông qua quá trình tiêu và tái tạo xương, nhưng quá trình này luôn có giới hạn phụ thuộc vào độ dày xương ổ răng, mật độ xương và vị trí chân răng ban đầu, và khi vượt qua giới hạn này, xương không thể tái tạo kịp dẫn đến các biến chứng như tiêu chân răng, tụt lợi hoặc răng di chuyển ra khỏi xương. Điều quan trọng cần hiểu là những biến chứng này không phải do niềng răng tự thân gây ra mà là hệ quả của một kế hoạch điều trị không tôn trọng giới hạn sinh học.
Trong X-Matrix, an toàn được đảm bảo bằng việc phân tích CBCT để xác định chính xác biên xương, đánh giá vị trí chân răng trước điều trị và mô phỏng toàn bộ đường đi của chân răng trong quá trình dịch chuyển, từ đó đảm bảo rằng mọi di chuyển đều nằm trong giới hạn có thể kiểm soát và không tạo ra tổn thương cho mô nâng đỡ.

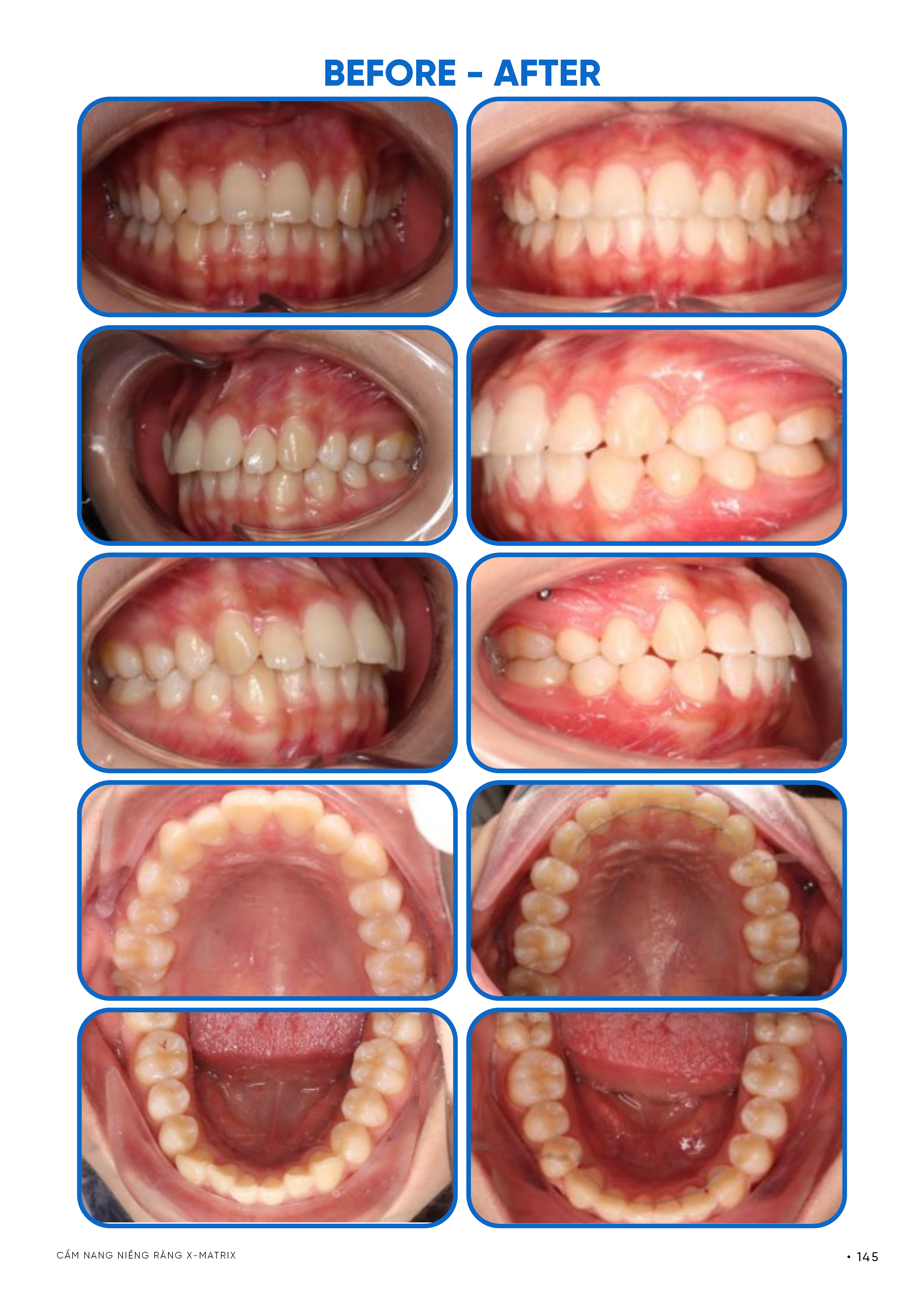
Tại Lạc Việt Intech, một ca niềng răng không được kết thúc dựa trên cảm quan “đã đẹp”, mà phải được đánh giá theo một hệ tiêu chuẩn cụ thể. Các tiêu chuẩn này nhằm kiểm định xem kết quả đạt được có đúng về sinh học, chức năng và khả năng duy trì hay chưa.
Tiêu chuẩn thẩm mỹ được xác định dựa trên sự hài hòa tổng thể khuôn mặt, trong đó vị trí răng phải phù hợp với tương quan môi – cằm và mặt nghiêng. Kết quả không chỉ được đánh giá khi cười mà còn ở trạng thái nghỉ, đảm bảo môi khép tự nhiên và biểu cảm khuôn mặt không bị thay đổi theo hướng mất cân đối.
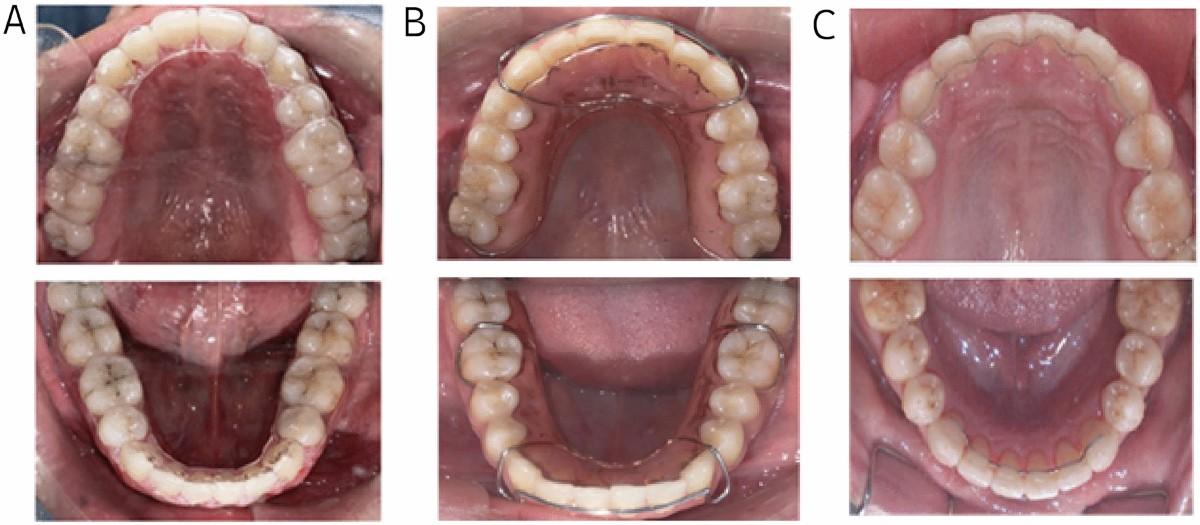
Tiêu chuẩn chức năng yêu cầu khớp cắn đạt trạng thái ổn định, với tiếp xúc răng chính xác và phân bố lực nhai cân bằng. Không tồn tại điểm chạm sớm gây lệch hàm, và chuyển động đóng – mở hàm diễn ra tự nhiên, không có dấu hiệu bù trừ chức năng.
Tiêu chuẩn ổn định được đánh giá dựa trên vị trí răng trong vùng cân bằng lực sinh lý. Răng sau điều trị không chỉ giữ được nhờ khí cụ duy trì mà phải có khả năng tự ổn định trong môi trường lực của môi, má và lưỡi, hạn chế tối đa nguy cơ tái phát.
Tiêu chuẩn sinh học (an toàn) yêu cầu chân răng nằm hoàn toàn trong giới hạn xương ổ, không có dấu hiệu tiêu chân răng hoặc tổn thương mô nâng đỡ. Đây là tiêu chí bắt buộc và được kiểm tra bằng phim X-quang, nhằm đảm bảo rằng kết quả đạt được không đánh đổi bằng tổn thương mô.
Tiêu chuẩn kiểm soát điều trị thể hiện qua mức độ trùng khớp giữa kế hoạch và kết quả thực tế. Trong hệ thống X-Matrix, kết quả đã được mô phỏng trước, vì vậy sai lệch càng nhỏ thì mức độ kiểm soát càng cao, đồng thời phản ánh tính chính xác của toàn bộ quá trình điều trị.
X-Matrix không phải là một kỹ thuật niềng răng riêng biệt, mà là một cách xác định lại tiêu chuẩn của một ca điều trị đúng. Khi tiêu chuẩn được đặt đúng, toàn bộ quá trình điều trị sẽ được kiểm soát theo tiêu chuẩn đó.
Một ca niềng răng chỉ thực sự hoàn tất khi đạt đồng thời thẩm mỹ, chức năng, ổn định và an toàn. Nếu thiếu một trong các yếu tố này, kết quả vẫn chưa thể coi là hoàn chỉnh.
Tin cùng chủ đề
28/04/2026
Câu hỏi liên quan
Tin tức nổi bật
28/04/2026
Đăng ký tư vấn
Đối tác của Nha khoa lạc việt intech