Tư Vấn Chuyên Môn
BS. Hoàng Vũ Hiệp
Bác sĩ
Trước khi đi vào chi tiết, chúng ta cần hiểu, thế nào là một chiếc răng implant tốt? và làm sao để đạt được điều đó?
Trong quá trình hình nghề, chúng tôi nhận ra rằng, có khá nhiều bệnh nhân cho rằng, một chiếc răng implant tốt là khi nó tích hợp xương tốt. Thực tế không phải như vậy, một chiếc răng implant được gọi là tốt khi nó phải hội tụ cùng lúc cả 5 tiêu chí: ăn nhai tốt, thẩm mỹ đẹp, an toàn, bền vững và thuận tiện khi sử dụng.
Để đạt được cả 5 tiêu chí của một chiếc răng implant tốt kể trên, bắt buộc một phòng khám nha khoa phải sở hữu đầy đủ cả 4 yếu tố sau:
Như vậy, khi cô chú/anh chị đi tìm một phòng khám để trồng răng implant, hãy nhớ rằng một nha khoa trồng răng implant tốt nhất phải hội tụ đủ ít nhất 4 yếu tố kể trên.
Được thành lập và phát triển hơn 20 năm, và là hệ thống nha khoa chuyên sâu về trồng răng implant, Lạc Việt Intech xây dựng một hệ thống nha khoa lấy khách hàng làm trung tâm, tập trung giá trị An toàn sức khỏe lên trên hết, sở hữu những công nghệ điều trị tiên tiến nhằm mục tiêu mang lại một kết quả sau cùng an toàn, bền vững, ăn nhai tốt, thẩm mỹ đẹp, can thiệp điều trị nhẹ nhàng ít đau nhất, và ít rủi ro trong vấn đề đi lại nhất cho bệnh nhân.
Giải pháp trồng răng implant cá nhân hóa nhờ tích hợp 4 công nghệ trồng răng implant tiên tiến, từ đó giúp cô chú/anh chị có một chiếc răng implant thẩm mỹ, bền vững, ăn nhai tốt, an toàn và thuận tiện khi sử dụng:
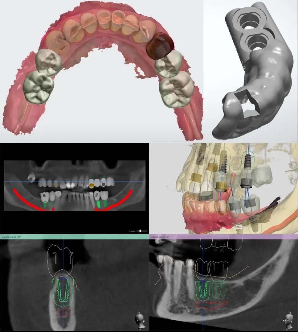
Một trong những yếu tố vô cùng quan trọng quyết định tới chất lượng cũng như sự an toàn trong cấy ghép implant, chính là việc đặt trụ chính xác trong xương hàm theo 3 chiều không gian, nó là tiền đề tạo ra một nền móng vững chắc cho răng implant trong tương lai, đồng thời đảm bảo quá trình phẫu thuật không làm tổn thương các cấu trúc giải phẫu quan trọng và nguy hiểm trong xương hàm.

Hình: Hình ảnh minh họa tổn thương thần kinh răng dưới do đặt trụ không chính xác

Hình ảnh X Quang tổn thương thần kinh răng dưới do đặt trụ không chính xác
Hiện nay, có 2 công nghệ phổ biến được áp dụng để đảm bảo quá trình đặt trụ chính xác là phẫu thuật đặt implant bằng máng hướng dẫn phẫu thuật bằng guideline và phẫu thuật đặt trụ chính xác bằng robot định vị X Guide.
Tại Lạc Việt Intech, tất cả các bệnh nhân phẫu thuật implant đều được đặt trụ bằng công nghệ máng hướng dẫn phẫu thuật. Trong những trường hợp phức tạp có cấu trúc giải phẫu đặc biệt nguy hiểm và phức tạp, chúng tôi có công nghệ đặt trụ bằng định vị X Guide, là công nghệ đặt trụ tiên tiến nhất hiện nay.

Chọn nha khoa trồng răng implant tốt nhất giúp đặt implant chính xác theo 3 chiều không gian.
>>> Xem thêm:
Phẫu thuật trồng răng implant bằng định vị Xguide.
Đối với răng implant, tổ chức quanh răng và mô lợi quanh implant đóng vai trò rất quan trọng quyết định tới tính thẩm mỹ và độ vững ổn lâu dài của chiếc răng này, tuy nhiên việc tái lập lại các tổ chức này luôn là một thách tức rất lớn khi phẫu thuật cấy ghép implant.
Tại Lạc Việt Intech, thay vì trụ lành thương “đại trà” (thường dạng tròn, kích thước tiêu chuẩn), chúng tôi sử dụng trụ lành thương cá nhân hóa (Customized Healing), được thiết kế cả nhân hóa cho từng răng, từng người, “vừa khít” mô lợi của từng bệnh nhân, giúp định hình cổ răng và đường viền lợi đẹp hơn, tạo tiền đề tái lập khoảng sinh học quanh răng implant tốt hơn.

Hình: Một trường hợp tạo hình lợi bằng customized healing

Hình: So sánh tạo hình mô lợi bằng customized healing và healing thường.
>>> Xem thêm: Trụ lành thương là gì?
Trụ phục hình giải phẫu cá nhân hóa, từ chuyên ngành gọi là Customized Abutment, là loại trụ phục hình trên răng implant được sản xuất cá nhân hóa, theo hình thể giải phẫu răng – lợi của từng bệnh nhân, từ đó mang lại sự phù hợp tối đa về mặt thẩm mỹ, chức năng và sinh học của răng implant, giúp răng implant thẩm mỹ hơn, ăn nhai tốt hơn và bền vững hơn.
Tại Lạc Việt Intech, chúng tôi sử dụng trụ phục hình cá nhân hóa cho mọi trường hợp trồng răng implant đơn lẻ, từ đó mang lại cho bạn một chiếc răng implant thẩm mỹ hơn, bền vững hơn, ăn nhai tốt hơn.

Hình: So sánh trụ phục hình cá nhân hóa và Abutment Stock

Hình: Một trường hợp sử dụng Customized Abutment Zirconia để trồng răng implant
>>> Xem thêm: Trụ phục hình giải phẫu cá nhân hóa là gì?
Nếu như trụ implant (Fixture) đại diện cho chân răng, trụ phục hình đại diện cho thân răng thì răng sứ trên implant chính là phần đại diện cho men răng của chúng ta, quyết định hoàn toàn tới thẩm mỹ trắng (phần màu sắc và hình thể của một chiếc răng) và khả năng nghiền cắt thức ăn. Chính việc phải hoạt động liên tục và đóng vai trò thẩm mỹ liên tục đòi hỏi một chiếc răng sứ trên implant không đơn thuần chỉ là thẩm mỹ và còn cần phải vững ổn và bền bỉ.
Tại nha khoa Lạc Việt Intech, chúng tôi sử dụng răng toàn sứ thuộc phân lớp zirconia đa lớp (Multilayer), là loại răng sứ phù hợp nhất cho implant, với tính thẩm mỹ, độ kháng mòn, độ cứng biền thiên và độ uốn cong giống đúc răng thật, từ đó mang lại cho bạn một chiếc răng implant có tính thẩm mỹ cao, khả năng nghiền cắt thức ăn tốt, không gây hại răng đối và ít trục trặc khi sử dụng.

>>> Xem chi tiết giải pháp trồng răng implant cá nhân hóa tại ĐÂY
Tóm lại: Bằng việc sở hữu giải pháp trồng răng implant cá nhân hóa, Lạc Việt Intech là một trong những hệ thống nha khoa trồng răng implant tốt nhất đáng cân nhắc.
Một hiểu lầm phổ biến của bệnh nhân là “trụ hãng nào tốt nhất?”. Trên thực tế, ngay cả khi bạn chọn trụ rất tốt, kỹ thuật đặt trụ vẫn là yếu tố quyết định lớn nhất: có quan điểm chuyên môn cho rằng chất lượng trụ chỉ chiếm một phần, còn phần lớn phụ thuộc kỹ thuật và kế hoạch đặt trụ.
Điều này đặc biệt quan trọng với bệnh nhân vì:
Tại Lạc Việt Intech, định vị “chuyên sâu” được thể hiện bằng cách bác sĩ tập trung vào:
Là một nha khoa trồng răng implant, nha khoa Lạc Việt Intech sở hữu đội ngũ bác sĩ chuyên sâu và chuyên biệt về trồng răng implant, có nhiều năm kinh nghiệm, đã từng điều trị thành công nhiều ca bệnh khó, tu nghiệp chuyên sâu về implant nha khoa trong và ngoài nước.
>>> Mời xem thêm đội ngũ chuyên gia của chúng tôi tại ĐÂY.
Bạn cần nhớ rằng, yếu tố chất lượng vật liệu là yếu tố không thể thiếu nếu bạn muốn có một chiếc răng implant thực sự tốt. Một bác sĩ dù dỏi, một công nghệ điều trị dù tiên tiến nếu sử dụng loại vật liệu kém chất lượng đều dẫn tới thất bại hoặc tai biến nặng nề.
Một răng Implant thực tế gồm 3 phần:
Và một nha khoa trồng răng Implant uy tín phải đảm bảo vật liệu là chính hãng, đạt chất lượng với nguồn gốc xuất xứ rõ rang, giấy tờ nhập khẫu minh bạch, mọi quy trình điều trị phải đảm bảo được minh bạch và bạn có khả năng tham gia, kiểm soát quy trình đó.
Tại Lạc Việt Intech, chúng tôi cam kết 100% vật liệu sử dụng là chính hãng, nhập khẩu chính ngạch, bạn sẽ được kiểm tra tính minh bạch và nguồn gốc của vật liệu, để đảm bảo rằng vật liệu chúng tôi đưa vào cơ thể bạn là đạt tiêu chuẩn cao cấp.
Xem thêm tiêu chú và nguyên tắc chọn trụ Implant được chia sẻ bởi Ths. Bs Thái Khắc Vinh:
Là một trung tâm nha khoa trồng răng Implant chuyên sâu, ngoài các công nghệ trong giải pháp trồng răng cá nhân hóa, chúng tôi sở hữu nhiều công nghệ và thiết bị tiên tiến khác, hướng tới mục tiêu An toàn, hạn chế thất bại, hạn chế sưng, đau, chảy máu, giảm thời gian đi lại cho bệnh nhân, cụ thể:
X-Guide là hệ thống robot định vị động (dynamic navigation) hỗ trợ bác sĩ đặt trụ Implant với độ chính xác cao theo kế hoạch 3D đã lập trước đó. Thay vì “ước lượng” bằng kinh nghiệm thuần túy, X-Guide cho phép theo dõi vị trí – góc – độ sâu mũi khoan theo thời gian thực, hiển thị trực tiếp trên màn hình khi phẫu thuật.
Nhờ vậy, trụ Implant được đặt đúng vị trí giải phẫu, hạn chế lệch trục, giảm nguy cơ xâm lấn cấu trúc quan trọng (xoang hàm, ống thần kinh), đồng thời tối ưu nền tảng cho phục hình thẩm mỹ và ăn nhai bền vững.
Công nghệ này đặc biệt hữu ích trong các ca khó: tiêu xương nhiều, vùng răng cửa yêu cầu thẩm mỹ cao hoặc phục hình toàn hàm. X-Guide giúp nâng chuẩn điều trị Implant theo hướng an toàn hơn – chính xác hơn – ít xâm lấn hơn.
Công nghệ phẫu thuật từ tính là kỹ thuật sử dụng xung lực từ trường kiểm soát để tác động chính xác lên mô xương trong quá trình đặt trụ Implant. Thay vì dùng lực gõ cơ học truyền thống, hệ thống từ tính tạo ra các vi xung ngắn, tập trung, giúp tách – nén – tạo hình xương một cách nhẹ nhàng và kiểm soát tốt hơn.

Nhờ cơ chế này, phẫu thuật trở nên ít sang chấn hơn, giảm sưng đau sau mổ, đồng thời hỗ trợ tăng độ ổn định ban đầu của trụ Implant – yếu tố quan trọng quyết định khả năng tích hợp xương lâu dài. Công nghệ đặc biệt hữu ích trong các trường hợp xương mềm, nâng xoang kín hoặc cần bảo tồn tối đa cấu trúc giải phẫu.
Phẫu thuật từ tính hướng đến mục tiêu điều trị Implant an toàn – chính xác – phục hồi nhanh, giúp bệnh nhân yên tâm hơn trong suốt quá trình điều trị.
Công nghệ phẫu thuật siêu âm cao tần (Piezosurgery) sử dụng vi rung siêu âm để cắt và tạo hình xương một cách chọn lọc. Sóng siêu âm tác động chính xác lên mô cứng (xương) nhưng hầu như không làm tổn thương mô mềm như mạch máu, thần kinh hay màng xoang, nhờ đó tăng độ an toàn trong các ca Implant phức tạp.
So với dụng cụ cơ học truyền thống, siêu âm cao tần giúp đường cắt mịn, kiểm soát tốt lực tác động, giảm chảy máu và giảm sưng đau sau mổ. Đặc biệt trong các thủ thuật như nâng xoang, ghép xương hoặc xử lý vùng xương mỏng sát cấu trúc giải phẫu quan trọng, công nghệ này hỗ trợ bác sĩ thao tác chính xác và ít xâm lấn hơn.
Mục tiêu của phẫu thuật siêu âm cao tần là hướng tới cấy ghép Implant an toàn – tinh tế – phục hồi nhanh, nâng cao trải nghiệm điều trị cho bệnh nhân.

Công nghệ gia cố bề mặt Implant Plasma là kỹ thuật xử lý bề mặt trụ bằng năng lượng plasma nhằm làm sạch, hoạt hóa và tối ưu cấu trúc vi mô trước khi cấy ghép. Plasma giúp tăng năng lượng bề mặt, cải thiện độ ưa nước (hydrophilicity), từ đó tạo điều kiện thuận lợi cho tế bào xương bám dính và phát triển.
Nhờ quá trình hoạt hóa này, trụ Implant có khả năng tích hợp xương nhanh và ổn định hơn, đặc biệt quan trọng trong những trường hợp xương chất lượng kém hoặc cần rút ngắn thời gian lành thương. Bề mặt được xử lý plasma cũng góp phần giảm nguy cơ nhiễm khuẩn bề mặt và nâng cao độ bền sinh học lâu dài.
Công nghệ Plasma hướng đến mục tiêu cấy ghép Implant an toàn hơn – bền vững hơn – tối ưu khả năng tích hợp xương, giúp tăng tỷ lệ thành công và sự ổn định theo thời gian.
Anycheck là thiết bị hỗ trợ bác sĩ định lượng độ ổn định và mức độ tích hợp xương của trụ Implant một cách khách quan, thay vì chỉ đánh giá bằng cảm giác lâm sàng. Thiết bị hoạt động dựa trên cơ chế đo dao động vi mô của trụ trong xương, từ đó đưa ra chỉ số giúp theo dõi quá trình lành thương.
Nhờ công nghệ này, bác sĩ có thể xác định thời điểm gắn răng sứ phù hợp, hạn chế nguy cơ phục hình quá sớm khi trụ chưa tích hợp đủ, hoặc chờ quá lâu làm kéo dài thời gian điều trị. Anycheck đặc biệt hữu ích trong các ca xương yếu, người cao tuổi hoặc trường hợp cần tải lực sớm.
Công nghệ định lượng tích hợp xương giúp quá trình cấy ghép Implant trở nên khoa học – an toàn – có cơ sở số liệu rõ ràng, nâng cao độ tin cậy và tối ưu kết quả điều trị lâu dài.
Máy chụp phim CTCB (Cone Beam CT) là thiết bị chẩn đoán hình ảnh 3D chuyên dụng trong nha khoa, cho phép bác sĩ quan sát rõ cấu trúc xương hàm, vị trí dây thần kinh, xoang hàm và mật độ xương trước khi cấy ghép Implant. Hình ảnh ba chiều giúp lập kế hoạch điều trị chính xác, giảm rủi ro và hạn chế biến chứng.
Kết hợp với đó, hệ thống Scanning và mã hóa dữ liệu kỹ thuật số ghi nhận toàn bộ cấu trúc răng – lợi – khớp cắn dưới dạng dữ liệu 3D. Dữ liệu được lưu trữ và mã hóa, giúp bác sĩ thiết kế phục hình chính xác, cá nhân hóa cho từng bệnh nhân và dễ dàng theo dõi lâu dài.
Sự kết hợp giữa CTCB và Scanning tạo nên quy trình điều trị Implant khoa học – chính xác – minh bạch dữ liệu, nâng cao độ an toàn và tính bền vững của kết quả.
Khi lựa chọn một phòng khám nha khoa để trồng răng implant tại Việt Nam bạn hãy nhớ rằng không chỉ đơn thuẩn là “làm xong hôm nay”, mà là:
Tại Lạc Việt Intech, chúng tôi cam kết hỗ trợ và bảo hành lâu dài, ngay lập tức, bằng hình thức thay mới 100% chứ không sửa chữa, chắp vá khi có trục trặc xẩy ra.
>>> Xem chi tiết: Bảng giá trồng răng Implant và chính sách bảo hành tại Lạc Việt Intech.
Chúng tôi không phải là một thương hiệu nha khoa giá rẻ, thứ chúng tôi theo đuổi là sự an toàn, một kết quả tốt, bền vững và tuyệt đối minh bạch. Chúng tôi mong muốn mang lại cho bạn một kết quả bền vững suốt đời.
Tại Lạc Việt Intech, chúng tôi cam kết và đề cao tính minh bạch, ngay cả trong vấn đề giá cả, chúng tôi cam kết sẽ không phát sinh chi phí trong suốt quá trình điều trị và cả trong quá trình bảo hành, chăm sóc sau điều trị, dù là chi phí nhỏ nhất.
>>> Xem thêm: Những cam kết của Lạc Việt Intech.
Trước khi quyết định lựa chọn nha khoa trồng răng implant tốt nhất, cô chú/anh chị có thể dùng checklist sau (và áp dụng để so sánh nhiều phòng khám):
Nếu một phòng khám trả lời tốt 9 câu hỏi này, bạn đang rất gần với lựa chọn đúng một địa chỉ nha khoa trồng răng implant tốt nhất?
Tóm lại: Lạc Việt Intech có phải “nha khoa trồng răng Implant tốt nhất” cho bạn không?
Nếu cô chú/anh chị đang tìm kiếm một nha khoa trồng răng implant giá rẻ, chúng tôi KHÔNG phải là lựa chọn của nhưng nếu đang tìm kiếm một nha khoa tốt: ít rủi ro nhất – bền nhất – đẹp nhất – rõ ràng nhất – có trách nhiệm nhất, nha khoa Lạc Việt Intech là một thương hiệu rất đáng để bạn cân nhắc.
Tin cùng chủ đề
Câu hỏi liên quan
Tin tức nổi bật
28/04/2026
Đăng ký tư vấn
Đối tác của Nha khoa lạc việt intech