Tư Vấn Chuyên Môn
BS. Đinh Anh Hoàng
Bác sĩ
Với đặc thù thời gian lưu trú ngắn, việt kiều về nước làm răng cần đánh giá kỹ lưỡng ngay từ đầu để tránh rủi ro và tối ưu kết quả điều trị. Dưới đây là 6 tiêu chí quan trọng giúp bạn lựa chọn đúng và đảm bảo ca Implant an toàn, bền vững, thẩm mỹ lâu dài.
Không phải mọi nha khoa tại Việt Nam đều có cùng một tiêu chuẩn. Bên cạnh những trung tâm chuyên sâu Implant với quy trình chuẩn hóa, vẫn tồn tại các cơ sở nhỏ lẻ, vận hành chưa đầy đủ tiêu chuẩn y khoa. Sự chênh lệch này khiến việc thẩm định độ tin cậy của phòng khám trở thành bước then chốt, quyết định trực tiếp đến độ an toàn, độ bền và khả năng ăn nhai lâu dài sau điều trị.
Khi tìm hiểu nha khoa để về nước làm răng, cô chú/anh chị cần bám sát 4 trụ cột sau:
Đây là yếu tố tiên quyết, không có vùng xám. Một nha khoa đạt chuẩn bắt buộc phải có giấy phép hoạt động hợp pháp do cơ quan y tế cấp. Quan trọng hơn, danh mục kỹ thuật được phê duyệt phải bao gồm phẫu thuật cấy ghép Implant.
Cô chú/anh chị hoàn toàn có thể chủ động tra cứu thông tin này trên các cổng thông tin chính thống để xác minh mức độ minh bạch của cơ sở.

Tìm hiểu năng lực chuyên môn của bác sĩ giúp yên tâm hơn trong quá trình điều trị.
Đừng chỉ nhìn vào thương hiệu phòng khám, hãy tập trung vào người trực tiếp điều trị cho cô chú/anh chị. Một bác sĩ chuyên sâu về cấy ghép Implant cần đảm bảo:
Việc yêu cầu xem hồ sơ năng lực không phải là “khó tính”, mà là một tiêu chuẩn an toàn tối thiểu. Một nha khoa minh bạch luôn sẵn sàng trả lời rõ ràng về người điều trị. Ngược lại, sự mập mờ chính là dấu hiệu chúng ta cần cảnh giác.
Bên cạnh yếu tố con người, cơ sở vật chất và hệ thống trang thiết bị đóng vai trò then chốt trong việc kiểm soát rủi ro. Những trung tâm dẫn đầu hiện nay bắt buộc phải trang bị máy chụp phim CT Cone Beam 3D để khảo sát cấu trúc xương hàm chi tiết, kết hợp cùng hệ thống scan dấu răng kỹ thuật số giúp tăng độ chính xác.
Đặc biệt, khu vực phẫu thuật phải đảm bảo quy trình vô trùng nghiêm ngặt theo tiêu chuẩn kiểm soát nhiễm khuẩn của Bộ Y tế để ngăn ngừa hoàn toàn các biến chứng hậu phẫu, lây nhiễm chéo.
Sự khác biệt cốt lõi giữa một ca Implant “làm xong” và một ca Implant “làm đúng” nằm ở công nghệ. Bởi Implant không đơn thuần là đặt một trụ vào xương, mà là một chuỗi các bước đòi hỏi độ chính xác gần như tuyệt đối, sai số nhỏ ở giai đoạn đầu có thể kéo theo hệ quả lớn ở kết quả cuối cùng.

Hãy tìm hiểu xem nha khoa có các công nghệ, máy móc áp dụng nào trong điều trị.
Hãy tìm hiểu xem nha khoa đó có:
Nếu thiếu công nghệ, bác sĩ buộc phải dựa nhiều vào kinh nghiệm. Nhưng trong Implant, nơi sai số tính bằng milimet thì kinh nghiệm thôi là chưa đủ.
Tóm lại, nha khoa uy tín không đến từ những lời quảng cáo hào nhoáng mà nằm ở sự rõ ràng trong hồ sơ pháp lý, năng lực thực thụ của bác sĩ và hệ thống công nghệ bổ trợ. Nếu một cơ sở mập mờ về danh tính người điều trị hoặc thiếu hụt các trang thiết bị chẩn đoán hình ảnh chuyên sâu, đó chính là dấu hiệu cảnh báo để cô chú/anh chị cân nhắc lại lựa chọn của mình.
Đối với Việt kiều về nước làm răng, quỹ thời gian lưu trú thường hạn chế, vì vậy kế hoạch điều trị cần được xây dựng rõ ràng và chính xác ngay từ đầu. Implant không phải là “đặt trụ là xong”, mà là một lộ trình điều trị tổng thể, trong đó bước phẫu thuật chỉ là một phần của toàn bộ quá trình.
Cần nhìn nhận thực tế: Implant dù hiện đại vẫn luôn tồn tại rủi ro như bất kỳ can thiệp y khoa nào. Vì vậy, điều quan trọng không phải là né tránh, mà là chủ động nhận diện và kiểm soát rủi ro một cách bài bản.
Một kế hoạch điều trị đúng không phải là bản cam kết “100% không biến chứng” bởi đó là điều không thực tế trong y khoa. Và theo Ths. Bs Thái Khắc Vinh – Chuyên gia cấy ghép Implant tại nha khoa Lạc Việt Intech, một kế hoạch chuẩn mực cần thể hiện rõ 3 năng lực cốt lõi:
Bác sĩ cần phải lên được kế hoạch điều trị chính xác và xây dựng các phương án phòng ngừa, dự báo được rủi ro.
>>> Xem thêm: Quy trình Việt kiều về Việt Nam trồng răng: 2 phương án tiết kiệm thời gian & chi phí.
Nói cách khác, điều trị Implant không phải là “làm cho xong”, mà là quản trị một quy trình có kiểm soát chặt chẽ. Và để đánh giá một kế hoạch có thực sự bài bản hay không, cô chú/anh chị cần chủ động đặt ra những câu hỏi trực diện với bác sĩ:
Một kế hoạch điều trị chuyên nghiệp không dừng ở lời tư vấn. Nó phải được trình bày bằng dữ liệu cụ thể: hình ảnh CT 3D, mô phỏng vị trí đặt trụ, lộ trình điều trị rõ ràng và các mốc theo dõi sau phẫu thuật.
Hãy nhớ: Trong Implant, mục tiêu không chỉ là loại bỏ hoàn toàn rủi ro, mà là nhận diện đúng, kiểm soát tốt và luôn sẵn sàng cho mọi kịch bản có thể xảy ra.
Trong phẫu thuật Implant hiện đại, công nghệ không còn là “lợi thế cạnh tranh”, mà là nền tảng bắt buộc để đảm bảo độ chính xác và kiểm soát rủi ro.
Bởi Implant là một kỹ thuật mà mọi sai số đều mang tính tích lũy, lệch một bước ở giai đoạn đặt trụ có thể kéo theo hàng loạt hệ quả ở phục hình và chức năng ăn nhai về sau.
Một số công nghệ trồng răng implant mới và hiện đại hiện nay cô chú/anh chị nên biết và tìm hiểu kỹ về nó như:
Đây là nhóm công nghệ đóng vai trò trực tiếp trong bước phẫu thuật đặt trụ implant. Hiện có 3 công nghệ đặt trụ chính xác cô chú/anh chị cần đặc biệt quan tâm là:

Nhờ máng hướng dẫn phẫu thuật, implant đảm bảo đặt đúng vị trí theo 3 chiều không gian.
Nhờ các công nghệ này, trụ Implant được đặt đúng vị trí – đúng độ sâu – đúng trục, đồng bộ hoàn toàn với kế hoạch điều trị 3D ban đầu. Ngược lại, nếu thiếu sự hỗ trợ của công nghệ, việc đặt trụ sẽ phụ thuộc nhiều vào kinh nghiệm và cảm giác của bác sĩ. Và trong Implant, điều đó đồng nghĩa với rủi ro:
Một trụ Implant đặt sai vị trí gần như không có “cơ hội sửa chữa hoàn hảo”, mọi điều chỉnh sau đó chỉ là khắc phục, không phải tối ưu. Vì vậy, đầu tư vào công nghệ đặt trụ chính xác ngay từ đầu chính là cách đảm bảo an toàn sinh học, tính thẩm mỹ và độ bền lâu dài cho toàn bộ ca điều trị.
>>> Xem thêm: Công nghệ trồng răng implant mới nhất
Trong Implant hiện đại, xu hướng không còn là “làm được”, mà là làm ít tổn thương nhất có thể. Đây chính là điểm khác biệt giữa một ca phẫu thuật nặng nề và một trải nghiệm điều trị nhẹ nhàng, hồi phục nhanh.
Những công nghệ xâm lấn tối thiểu trong trồng răng implant cô chú/anh chị nên biết như:

Máy phẫu thuật từ tính sử dụng cho các trường hợp xương xốp, tránh phải khoan cắt xương.
Những công nghệ này không làm thay đổi bản chất của ca Implant, nhưng thay đổi hoàn toàn chất lượng trải nghiệm và tốc độ hồi phục:
Như vậy có thể thấy, công nghệ không phải là yếu tố “phụ trợ” để làm đẹp quy trình, mà là một phần của tiêu chuẩn an toàn trong điều trị Implant.
Thiếu công nghệ đồng nghĩa với việc cô chú/anh chị đang phải đánh đổi bằng chính trải nghiệm và kết quả của mình.
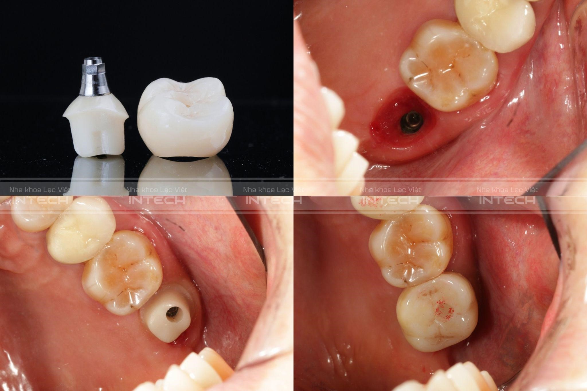
Nếu công nghệ quyết định mức độ an toàn của ca phẫu thuật, thì vật liệu chính là yếu tố quyết định tuổi thọ của răng Implant trong suốt 10–20 năm, thậm chí lâu hơn.
Một hệ thống Implant hoàn chỉnh không chỉ là “một chiếc trụ”, mà gồm 3 thành phần liên kết chặt chẽ với nhau:

Hệ thống Implant hoàn chỉnh không chỉ có trụ mà còn có trụ phục hình và răng sứ.
Chỉ cần một trong ba thành phần này không đạt chuẩn, toàn bộ hệ thống có thể bị ảnh hưởng về độ bền và tính ổn định lâu dài.
Điều cô chú/anh chị cần làm không phải là “nghe tư vấn cho đủ”, mà là đặt câu hỏi đúng trọng tâm:

Việt kiều về Việt Nam làm răng hãy tìm hiểu xem liệu trụ phục hình của mình có phải cá nhân hóa hay không?
Bởi thực tế, nếu vật liệu không rõ nguồn gốc hoặc không đạt tiêu chuẩn, các biến chứng thường không xuất hiện ngay lập tức, mà âm thầm bộc lộ sau 3–5 năm:
Và khi những vấn đề này xảy ra, chi phí và mức độ can thiệp để xử lý thường cao hơn rất nhiều so với đầu tư đúng ngay từ đầu. Tuy nhiên, một nha khoa uy tín sẽ không chỉ nói về chất lượng mà phải chứng minh được bằng giấy tờ rõ ràng, minh bạch về nguồn gốc vật liệu.
Việt Nam có lợi thế lớn về chi phí Implant so với Mỹ, Úc hay châu Âu. Tuy nhiên, điều cô chú/anh chị cần quan tâm khi về nước làm răng không chỉ là “giá rẻ hơn bao nhiêu”, mà là đang trả tiền cho những gì.
Trong Implant, một con số báo giá nếu đứng riêng lẻ gần như không có nhiều ý nghĩa. Giá trị thực nằm ở cấu trúc phía sau con số đó, đã bao gồm đầy đủ hay chỉ là một phần của toàn bộ quá trình điều trị.
Vì vậy, thay vì hỏi “bao nhiêu tiền một trụ”, hãy đi thẳng vào những câu hỏi cốt lõi:

Việt kiều về nước làm răng đừng chỉ quan tâm đến trụ, hãy hỏi chi phí có trọn gói không, các can thiệp bắt buộc...
Đây không phải là những chi tiết nhỏ, mà là những yếu tố quyết định có kiểm soát được chi phí hay không.
Thực tế, không ít trường hợp Việt kiều về Việt Nam làm răng bắt đầu với một mức giá khá “dễ tiếp cận”, nhưng trong quá trình điều trị lại phát sinh thêm chi phí do tách nhỏ từng hạng mục hoặc tính riêng theo từng giai đoạn. Khi đó, tổng chi phí cuối cùng có thể cao hơn đáng kể so với dự tính ban đầu, và rơi vào thế bị động.
Cách đơn giản nhất để tránh tình huống này là yêu cầu một bảng báo giá chi tiết bằng văn bản ngay từ đầu.
Trong đó cần thể hiện rõ:
Một nha khoa chuyên nghiệp sẽ không chỉ đưa ra con số, mà sẽ giúp cô chú/anh chị hiểu rõ toàn bộ bức tranh tài chính trước khi bắt đầu điều trị.
Hãy nhớ, minh bạch về chi phí không chỉ là vấn đề tài chính, mà còn là dấu hiệu của một quy trình điều trị rõ ràng và đáng tin cậy.
Với Việt kiều về nước làm răng, Implant không kết thúc khi rời khỏi phòng phẫu thuật mà thực sự bắt đầu ở giai đoạn theo dõi dài hạn. Vì vậy, chế độ bảo hành và khả năng đồng hành sau điều trị là yếu tố không thể bỏ qua.
Cô chú/anh chị cần làm rõ ngay từ đầu:
Những câu hỏi này không mang tính “dự phòng xa”, mà là cách chúng ta đảm bảo mình không bị bỏ lại sau điều trị.
Implant là một quá trình dài hạn, có thể kéo dài hàng chục năm. Vì vậy, một nha khoa chuyên nghiệp không chỉ tập trung vào kết quả trước mắt, mà còn phải xây dựng được hệ thống đồng hành lâu dài:
Nha khoa Việt Nam đã có những bước tiến rất dài trong lĩnh vực Implant. Trình độ chuyên môn ngày càng tiệm cận tiêu chuẩn quốc tế, trong khi chi phí vẫn ở mức hợp lý hơn đáng kể.
Vì vậy, lựa chọn trồng răng Implant tại Việt Nam hoàn toàn có thể là một quyết định thông minh cả về kinh tế lẫn chuyên môn.
Tuy nhiên, cần nhìn nhận rõ:
Để đưa ra quyết định đúng, cô chú/anh chị cần đi qua đầy đủ các bước đánh giá từ pháp lý, đến bác sĩ, công nghệ, vật liệu sử dụng, chính sách minh bạch và bảo hành. Và việc lựa chọn đúng ngay từ đầu, Việt Nam hoàn toàn có thể mang lại cho chúng ta một kết quả Implant an toàn – bền vững – thẩm mỹ – ăn nhai ổn định lâu dài.
Có một thực tế: Việt kiều không chỉ “về nước làm răng vì rẻ” — họ chọn đúng nơi có thể kiểm soát rủi ro và đảm bảo kết quả lâu dài. Và đó là lý do Nha khoa Lạc Việt Intech thường nằm trong danh sách ưu tiên.
Dưới đây là những lý do cốt lõi:
Bác sĩ tốt nghiệp các trường đại học Y danh tiếng, có chứng chỉ hành nghềm chứng chỉ cấy ghép implant. Đồng thời, họ cũng là người trực tiếp thăm khám và điều trị, xử lý các ca mất răng từ ca đơn giản đến phức tạp.

Nha khoa Lạc Việt Intech khẳng định uy tín nhờ công nghệ đặt trụ hiện đại, áp dụng thường quy máng hướng dẫn tăng độ chính xác.
100% ca Implant được thực hiện bằng máng hướng dẫn phẫu thuật hoặc định vị X-Guide, giúp đặt trụ đúng vị trí – đúng góc – đúng độ sâu, hạn chế tối đa sai lệch trong quá trình điều trị.
Không dừng lại ở độ chính xác, Lạc Việt Intech còn chú trọng yếu tố bảo tồn, ít xâm lấn trong phẫu thuật. Với các trường hợp phức tạp như nâng xoang hoặc xương loãng, nha khoa ứng dụng công nghệ phẫu thuật từ tính hoặc siêu âm cao tần nhằm hạn chế sang chấn, giảm đau sau phẫu thuật và thúc đẩy quá trình lành thương.

Sử dụng phục hình cá nhân hóa thay vì truyền thống tại Lạc Việt Intech, giúp răng thẩm mỹ hơn.
Với mất răng đơn lẻ, nha khoa Lạc Việt Intech áp dụng đồng bộ healing, trụ phục hình và răng sứ cá nhân hóa, được thiết kế riêng theo từng cấu trúc nướu và khớp cắn của mỗi khách hàng. Tuyệt đối không sử dụng abutment stock đại trà, nhằm loại bỏ nguy cơ sai lệch hình thể nướu, hạn chế vi kẽ và đảm bảo kết quả đạt được cả về thẩm mỹ lẫn độ bền lâu dài.
Với các trường hợp mất răng toàn hàm, hệ thống Multi Unit được sử dụng nhằm tối ưu độ ổn định của toàn bộ phục hình, đồng thời giảm tải lực lên từng trụ Implant, từ đó gia tăng độ bền vững cho toàn hệ thống.

Vật liệu sử dụng đảm bảo 100% chính hãng, có đầy đủ CO, CQ.
Toàn bộ vật liệu Implant được sử dụng đều có nguồn gốc rõ ràng, nhập khẩu chính ngạch, đầy đủ CO, CQ và đạt các tiêu chuẩn chất lượng quốc tế. Mỗi sản phẩm đều được kiểm soát nghiêm ngặt trước khi đưa vào điều trị.
Đặc biệt, khách hàng được trực tiếp kiểm tra thông tin, đối chiếu nguồn gốc và ký xác nhận trên vỏ hộp vật liệu trước khi sử dụng, đảm bảo tính minh bạch tuyệt đối và sự an tâm trong suốt quá trình điều trị.
Mọi trường hợp điều trị đều được bảo hành bằng văn bản, với chính sách minh bạch và cụ thể ngay từ đầu. Khách hàng được theo dõi định kỳ nhằm kiểm soát tình trạng Implant và duy trì kết quả ổn định theo thời gian.
Trong suốt quá trình bảo hành, bảo trì và bảo dưỡng, nha khoa cam kết không phát sinh bất kỳ chi phí nào. Đồng thời, hệ thống chủ động gọi nhắc lịch tái khám và kiểm tra định kỳ, giúp khách hàng duy trì tình trạng răng miệng tốt nhất mà không lo bỏ sót các mốc quan trọng.
Việt kiều về nước làm răng sẽ là lựa chọn đúng nếu cô chú/anh chị đánh giá đủ – chọn đúng – hiểu rõ ngay từ đầu. Với hệ thống điều trị chuẩn hóa từ bác sĩ, công nghệ đến vật liệu và chính sách bảo hành, Nha khoa Lạc Việt Intech đáp ứng đầy đủ tiêu chí của một nha khoa uy tín, mang lại ca Implant an toàn, bền vững và thẩm mỹ lâu dài, ăn nhai tốt và thuận tiện sử dụng.
Thông tin liên hệ:
Tin cùng chủ đề
Câu hỏi liên quan
Tin tức nổi bật
28/04/2026
Đăng ký tư vấn
Đối tác của Nha khoa lạc việt intech