Dán sứ Veneer có bị hôi miệng không? Review thực tế và cách phòng ngừa hiệu quả 

Quản trị viên
13/03/2026
Nguyễn Gia Bảo

Tư Vấn Chuyên Môn

BS. Nguyễn Gia Bảo

Bác sĩ

Bên cạnh các nỗi lo về bong vỡ thì “dán sứ veneer có bị hôi miệng không” cũng là điều mà khách hàng rất quan tâm. Vậy dán sứ veneer có hôi miệng không? Nguyên nhân thuộc về bác sĩ hay khách hàng?

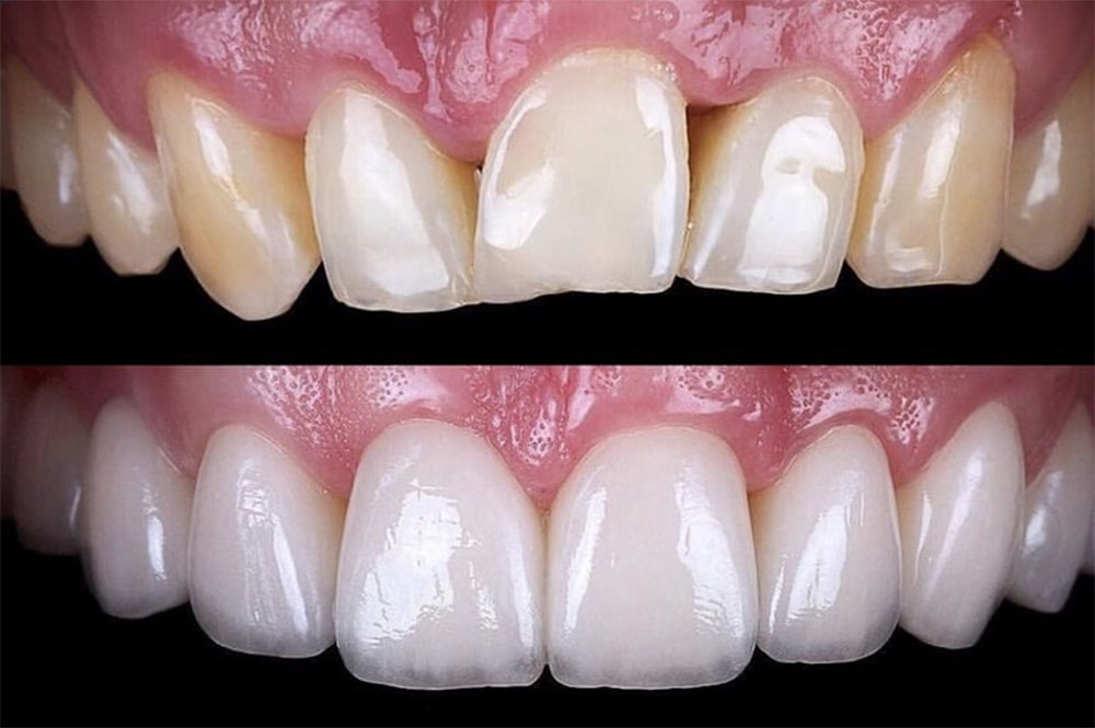
Sự thật: Dán sứ Veneer có bị hôi miệng không?

Về bản chất, dán sứ Veneer hoàn toàn không gây hôi miệng. Đây là kỹ thuật sử dụng mặt sứ siêu mỏng dán lên bề mặt răng thật bằng chất gắn chuyên dụng, vốn là vật liệu sinh học trơ, không bị biến chất hay ám mùi trong môi trường khoang miệng.

Dán sứ veneer có bị hôi miệng không? 

Các dòng sứ thủy tinh cao cấp như Laminate Veneer Lisi, Laminate Veneer Emax tại Lạc Việt Intech có chỉ số hấp thụ nước xấp xỉ bằng 0, giúp bề mặt phục hình trơn láng, kháng mảng bám và không bị biến đổi tính chất hóa học trong môi trường acid của khoang miệng. 

Vì vậy, nếu khách hàng bị hôi miệng thì đó là một "biến chứng kỹ thuật", không phải "biến chứng vật liệu".

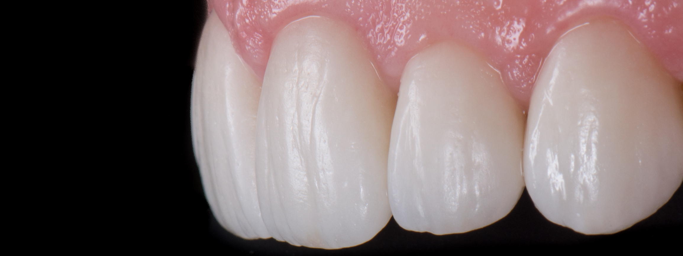
Phản hồi của khách hàng dán sứ veneer tại Lạc Việt Intech 

Khách hàng Thùy Trang (32 tuổi): "Trước khi dán sứ Veneer tại Lạc Việt Intech, mình lo nhất là khoản mài răng và sợ bị hôi miệng. Nhưng thật sự kết quả làm mình bất ngờ! Răng dán xong cực kỳ mỏng nhẹ, màu sắc trắng trong tự nhiên đúng ý mình. Vì mặt sứ sát khít hoàn toàn với răng thật nên không hề có tình trạng đọng thức ăn, hơi thở vẫn thơm tho, sạch sẽ."

Khách hàng dán sứ veneer tại Lạc Việt Intech đều hài lòng về chất lượng dịch vụ của nha khoa 

Khách hàng Thu Thủy (39 tuổi: "Ấn tượng đầu tiên là đội ngũ bác sĩ rất tỉ mỉ, tư vấn kỹ về khớp cắn để đảm bảo ăn nhai tự nhiên. Điểm cộng lớn nhất là sau 3 tháng sử dụng, tôi không hề cảm thấy cộm hay bị viêm lợi. Vấn đề vệ sinh răng miệng cũng rất dễ dàng, không hề bị hôi hay khó chịu do bác sĩ xử lý bề mặt rất mịn và khít."

Khách hàng Nguyễn Thị Hương (41 tuổi): "Dịch vụ tại Lạc Việt Intech rất chuyên nghiệp. Mình làm Veneer ở đây được nửa năm rồi, răng vẫn trắng sáng và chắc chắn. Thích nhất là làm xong không bị hôi miệng hay chảy máu chân răng như các phương pháp cũ."

Nguyên nhân dán sứ veneer bị hôi miệng

Mặc dù dán sứ veneer không gây hôi miệng nhưng vẫn có những người bị hôi miệng sau khi dán sứ veneer do những nguyên nhân chủ quan và khách quan. Những ai đang băn khoăn “dán sứ veneer có hôi miệng không” thì nên tìm hiểu kỹ để có thể chủ động phòng tránh. 

Nguyên nhân từ phía bác sĩ thực hiện dán sứ 

Theo các nghiên cứu về phục hình, khoảng hở viền lý tưởng phải nhỏ hơn 120µm. Nếu bác sĩ mài răng không chuẩn hoặc lấy dấu sai thì sẽ tạo ra "bậc thang" tại đường hoàn tất. Đây sẽ là nơi tích tụ thức ăn và hình thành mảng bám.

Bác sĩ phải đảm bảo các tiêu chuẩn về đường hoàn tất để ngăn ngừa hôi miệng sau khi dán sứ veneer

Vi khuẩn kỵ khí như Porphyromonas gingivalis tại các kẽ hở này sẽ phân hủy protein, giải phóng các hợp chất lưu huỳnh dễ bay hơi như H2S và CH_3SH, gây ra mùi hôi đặc trưng.

Nguyên nhân từ việc chăm sóc răng miệng của khách hàng 

Cơ chế cốt lõi của hôi miệng do vệ sinh kém là sự phân hủy protein từ thức ăn thừa và tế bào biểu mô bong tróc bị kẹt lại tại kẽ răng và đường viền Veneer.

Mặc dù bề mặt sứ Veneer có độ bóng cao và kháng bám dính, nhưng đường hoàn tất lại là một "bẫy" cơ học nhạy cảm. Nếu không vệ sinh đúng cách để lấy sạch mảng bám thức ăn, lớp màng biofilm sẽ hình thành và bám và đường hoàn tất. 

Các vi khuẩn tiên phong (Streptococci) bám vào, tạo tiền đề cho vi khuẩn kỵ khí Gram âm khu trú. Nếu không bị loại bỏ cơ học (bằng bàn chải/chỉ nha khoa), mảng bám này trở nên dày đặc, tạo môi trường yếm khí lý tưởng cho các chủng vi khuẩn gây mùi.

Ngoài ra, khách hàng cũng có thể bị hôi miệng do các bệnh lý răng miệng và bệnh lý toàn thân, ví dụ như trào ngược dạ dày, sâu răng, viêm lợi, … Chế độ ăn uống không lạnh mạnh, ăn các thực phẩm có mùi đặc trưng như hành, tỏi, măng, … cũng có thể khiến hơi thở có mùi khó chịu. 

Nguyên nhân từ việc nha khoa sử dụng vật liệu kém chất lượng

Mặc dù không phổ biến nhưng đây vẫn có thể là rủi ro và khách hàng gặp phải nếu như điều trị tại các trung tâm nha khoa không uy tín. 

Tại các hệ thống nha khoa dẫn đầu như Lạc Việt Intech, mặt dán sứ được chế tác hoàn toàn từ vật liệu sứ cao cấp hệ tinh thể. Sự ưu tiên về chất lượng cốt lõi này chính là lời cam kết vững chắc nhất cho sức khỏe và thẩm mỹ nụ cười của mọi khách hàng.

Mặt dán sứ veneer cao cấp ngăn ngừa nguy cơ hôi miệng 

Sự khác biệt lớn nhất giữa sứ cao cấp và sứ rẻ tiền nằm ở cấu trúc vi thể và công nghệ thiêu kết. Sứ cao cấp (E.max, Lisi, Feldspathic được sản xuất với cấu trúc tinh thể đồng nhất, độ đặc khít cao và có các thông số lý tưởng để ngăn chặn sự bám dính của vi khuẩn. Trái lại, sứ kém chất lượng thường có cấu trúc rỗng cao do kỹ thuật thiêu kết kém hoặc pha tạp chất. Kết quả là tạo ra các "hố" vi thể cho vi khuẩn kỵ khí trú ngụ và làm tăng nguy cơ hôi miệng nếu như khách hàng không vệ sinh đúng cách. 

Cách ngăn ngừa hôi miệng khi dán răng sứ

Sau khi đã giải đáp được thắc mắc “dán sứ Veneer có bị hôi miệng không”, khách hàng nên tìm hiểu thêm các cách hạn chế hôi miệng. Thông tin cụ thể như sau:

Chọn nha khoa uy tín, có bác sĩ giỏi ngay từ đầu

Tại Lạc Việt Intech, quy trình dán sứ được thực hiện bởi 100% các bác sĩ nha khoa giỏi, được đào tạo chuyên sâu về dán sứ veneer. Một bác sĩ giỏi sẽ kiểm soát đường hoàn tất ở mức vi thể, triệt tiêu hoàn toàn các "bẫy" thức ăn và mảng bám. Ngược lại, bác sĩ có tay nghề kém thường để lại các gờ nấc hoặc dư thừa chất gắn, tạo điều kiện cho vi khuẩn kỵ khí trú ngụ và phân hủy protein, gây hôi miệng chỉ sau một thời gian ngắn sử dụng.

Hơn thế nữa, các nha khoa uy tín như Lạc Việt Intech ưu tiên sử dụng các dòng sứ thủy tinh cao cấp (như E.max hay Lisi) có độ tương hợp sinh học đạt chuẩn. Những vật liệu này có bề mặt siêu nhẵn, giúp ngăn chặn sự hình thành màng sinh học hiệu quả hơn hẳn các dòng sứ rẻ tiền. 

Nha khoa Lạc Việt Intech là cơ sở uy tín, quy tụ nhiều bác sĩ giỏi

Sự kết hợp giữa vật liệu chất lượng cao và kỹ thuật mài răng bảo tồn, không xâm phạm khoảng sinh học của bác sĩ giỏi giúp mô nướu luôn khỏe mạnh, không bị viêm nề hay tăng tiết dịch rỉ viêm – một nguồn "nhiên liệu" chính gây mùi hôi. Do đó, đầu tư vào một địa chỉ uy tín chính là giải pháp bền vững để sở hữu nụ cười không chỉ đẹp về thẩm mỹ mà còn sạch khỏe về bệnh lý.

Điều trị triệt để bệnh lý răng miệng (nếu có)

Điều trị bệnh lý răng miệng như viêm nha chu, viêm lợi, sâu răng, … là bước bắt buộc trước khi dán sứ veneer tại Lạc Việt Intech. Điều này giúp đảm bảo hiệu quả dán sứ veneer tối ưu nhất và ngăn ngừa các vấn đề bong vỡ, hôi miệng. 

100% khách hàng tại Lạc Việt Intech đều được kiểm tra sức khỏe răng miệng tổng quát trước khi thực hiện bất cứ dịch vụ nào. Nha khoa cũng có các chuyên khoa với bác sĩ phụ trách nhiều lĩnh vực chuyên sâu, thuận tiện cho việc thăm khám và điều trị liên chuyên khoa. 

Chọn mặt dán sứ chất lượng

Tại Lạc Việt Intech, sự an tâm của khách hàng được xây dựng trên nền tảng của sự minh bạch và chất lượng vật liệu thượng hạng. Hệ thống cam kết chỉ sử dụng các dòng sứ cao cấp, chính hãng như E.max, Lisi, được nhập khẩu trực tiếp từ những tập đoàn nha khoa danh tiếng trên thế giới. 

Điểm khác biệt cốt lõi nằm ở quyền lợi kiểm chứng: Khách hàng hoàn toàn có quyền yêu cầu nha khoa cung cấp đầy đủ thông tin về nguồn gốc, xuất xứ và thẻ bảo hành chính hãng của vật liệu trước khi tiến hành phục hình.

Loại mặt dán sứ mà quý khách hàng lựa chọn sẽ quyết định độ bền của răng sứ 

Để bảo vệ quyền lợi tối ưu cho người bệnh, tất cả các điều khoản về chất lượng vật liệu. Nha khoa cam kết bồi thường nếu phát hiện sai phạm đều được ghi rõ trong hợp đồng điều trị có giá trị pháp lý. Việc sử dụng sứ tinh khiết với độ tương hợp sinh học tuyệt đối không chỉ mang lại thẩm mỹ tự nhiên mà còn triệt tiêu nguy cơ hôi miệng do kích ứng mô nướu hay bề mặt nhám của sứ kém chất lượng. 

Với quy trình quản trị chất lượng nghiêm ngặt, Lạc Việt Intech khẳng định vị thế dẫn đầu trong việc mang lại nụ cười không chỉ bền đẹp mà còn an toàn tuyệt đối cho sức khỏe răng miệng lâu dài. 

Chăm sóc răng sau khi dán sứ đúng cách 

Để tránh hôi miệng sau khi dán sứ, khách hàng cần tuân thủ các chỉ định của bác sĩ về việc vệ sinh và chăm sóc răng miệng tại nhà:

- Chải răng sạch sẽ và đúng cách sau các bữa ăn chính khoảng 30 phút.

- Sử dụng bàn chải lông mềm và kem đánh răng dành cho răng nhạy cảm. 

- Sử dụng thêm chỉ nha khoa và tăm nước để làm sạch các kẽ răng hiệu quả hơn. 

- Thường xuyên súc miệng bằng nước muối sinh lý để làm sạch khoang miệng. Nếu như súc miệng bằng các dung dịch chuyên dụng khác thì cần phải tìm hiểu kỹ thông tin của sản phẩm. 

- Ăn uống lành mạnh, bổ sung nhiều chất xơ từ rau xanh và trái cây tươi. 

- Hạn chế cắn và nhai các thực phẩm quá dai, quá cứng. 

- Khám răng định kỳ 3 - 6 tháng/lần hoặc theo lịch hẹn của bác sĩ. 

Tại Lạc Việt Intech, sau khi hoàn tất dán sứ, bác sĩ hoặc nhân viên y tế sẽ hướng dẫn chi tiết về quy trình chăm sóc răng miệng tại nhà. Nha khoa cũng gửi tặng khách hàng 1 bộ dụng cụ vệ sinh răng miệng chuyên dụng, bao gồm cả máy tăm nước để hỗ trợ làm sạch răng hiệu quả. 

 

Hy vọng quý khách hàng đã có câu trả lời cho thắc mắc “dán sứ Veneer có bị hôi miệng không”. Ngay khi có ý định phục hình răng bằng phương pháp dán sứ veneer, khách hàng nên đến địa chỉ nha khoa uy tín, có đội ngũ bác sĩ giỏi như Lạc Việt Intech để kiểm tra, tư vấn kế hoạch điều trị phù hợp. 

Chia sẻ

Tin cùng chủ đề

Đối tác của Nha khoa lạc việt intech

dentsplysirona
Ecligner
Straunman
Straunman
Invisalign
Swiss Dental Care
test1
Osstem Implant
Hotline Chat ngay Messenger Liên hệ Zalo