Tư Vấn Chuyên Môn
BS. Đinh Anh Hoàng
Bác sĩ
Trong nha khoa hiện đại, triết lý xâm lấn tối thiểu chính là kim chỉ nam trong mọi hành động. Tuy nhiên, việc hiểu đúng về khái niệm "mài" (prep) và "không mài" (non-prep) là rất quan trọng.
Dán sứ không mài là gì?
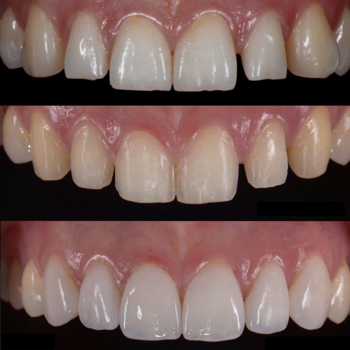
Với thắc mắc "dán sứ veneer có mài răng không" của đa số khách hàng, bác sĩ giải đáp như sau: Tất cả các trường hợp phục hình thẩm mỹ bằng phương pháp dán sứ veneer đều phải sửa soạn bề mặt men răng. Do đó, khái niệm "không mài" nếu như được hiểu theo hướng không tác động vào men răng ban đầu thì sẽ chưa hoàn toàn chính xác. Lượng men răng cần sửa soạn phổ biến từ 0.3 - 0.5mm tùy vào từng tình trạng răng. Có một số trường hợp đặc biệt khách hàng chỉ cần sửa soạn từ 0.1 - 0.2mm. Đây chính là phương pháp mà nhiều nơi quảng cáo là "dán sứ không mài".
Có thể thấy rằng, thực chất, không có phương pháp nào gọi là dán sứ không mài. Trước khi tiến hành phục hình răng sứ thẩm mỹ, bác sĩ bắt buộc phải sửa soạn mô răng để tăng khả năng bám dính của mặt dán hoặc mão răng sứ, đảm bảo răng sứ bền chắc và không bong vỡ.
Để trả lời khách quan cho câu hỏi dán sứ veneer có mài răng không, chúng ta cần hiểu rằng việc sửa soạn trước khi dán sứ thực chất là một quy trình "tinh chỉnh sinh học" nhằm đạt được sự hòa hợp tuyệt đối giữa răng thật, nướu và sứ.
Dán sứ mài răng bao nhiêu mm?
Các mục tiêu cụ thể bao gồm:
- Thiết lập đường hoàn tất chuẩn xác, đảm bảo điểm tiếp giáp giữa sứ và men răng phẳng mượt trên cùng một mặt phẳng.
- Xác định hướng lắp phục hình, giúp miếng sứ có thể "trượt" vào vị trí một cách dễ dàng và sát khít hoàn toàn. Hướng lắp chuẩn giúp loại bỏ các khe hở siêu vi, ngăn ngừa bong vỡ hoặc ngấm vi kẽ.
- Kiểm soát thể tích và quản lý độ dày, ngăn ngăn ngừa kích ứng niêm mạc. Sửa soạn đúng độ dày tương ứng với lớp sứ cũng giúp răng giữ nguyên hình thể giải phẫu chuẩn, tránh tình trạng răng trông thô, to hoặc bị hô sau khi dán.
- Tạo ra các vi hốc lưu (micro porosities) sâu và đều hơn, giúp chất gắn xâm nhập sâu, tạo ra lực liên kết hóa học và cơ học bền vững nhất (>25MPa).
Bản chất của việc sửa soạn răng trong dán sứ Veneer là thủ thuật bảo tồn có mục đích. Bác sĩ không mài răng để phá hủy, mà mài để tạo ra một "nền tảng tiếp nhận" hoàn hảo, giúp phục hình tồn tại lâu dài trong môi trường miệng khắc nghiệt.
Như đã phân tích ở trên, những trường hợp dán sứ không mài thực chất vẫn cần sửa soạn khoảng 0.1 - 0.2mm.
Dán sứ không mài chỉ phù hợp các răng có nhược điểm không đáng kể
Các trường hợp chỉ định dán sứ siêu mỏng 0.1mm - 0.2mm thường bao gồm:
- Răng hình chêm hoặc răng nhỏ: lớp sứ siêu mỏng đóng vai trò "đắp thêm" thể tích để tạo hình thể răng chuẩn mà không cần can thiệp vào cấu trúc men sẵn có.
- Đóng khe thưa, tận dụng khoảng không gian giữa các răng để giúp cung răng khít sát tự nhiên.
- Răng bị mòn mặt ngoài nhẹ do acid hoặc chải răng sai cách, dán sứ veneer giúp tái tạo lớp màng bảo vệ và phục hồi độ bóng mô răng.
- Cung răng lùi về phía lưỡi, cần tăng độ dày mặt ngoài để đưa răng về đúng cung cười thẩm mỹ.
Trong thực hành lâm sàng, nếu khách hàng có nền răng nhiễm màu Tetracycline độ 3 - 4 hoặc nhiễm Fluor nặng nhưng vẫn yêu cầu dán sứ veneer có mài răng không đáng kể, bác sĩ phải đối mặt với hai rủi ro lớn là không khắc phục được khuyết điểm về màu sắc và răng dễ bong vỡ sau thời gian ngắn.
Độ bền của phục hình lúc này phụ thuộc 100% vào sự toàn vẹn của lớp men bên dưới. Nếu bề mặt men bị tổn thương hoặc không được sửa soạn đúng cách để loại bỏ lớp men không lăng trụ, tỉ lệ bong sút sau 1-2 năm là rất cao.
Do đó, "không mài" chỉ là sự thật khi tình trạng răng gốc của khách hàng đáp ứng đầy đủ các tiêu chuẩn về khoảng không gian và màu sắc.
Dưới đây là quy trình dán răng sứ veneer với 7 bước chuẩn y khoa tại Lạc Việt Intech. Hiểu rõ quy trình này sẽ giúp bạn giải mã lý do vì sao một ca phục hình Veneer tinh xảo, bền vững lại cần sự đầu tư về thời gian và tâm sức của bác sĩ, thay vì chạy theo các phương pháp "cấp tốc".
Đây là giai đoạn "xây móng", quyết định độ bền của mặt dán sứ. Bác sĩ sẽ đánh giá toàn diện sức khỏe nướu, men răng, các bệnh lý sâu răng ngầm, tình trạng nghiến răng hoặc sai lệch khớp cắn. Với những khách hàng đang gặp vấn đề về nha chu hoặc viêm lợi, bác sĩ sẽ ưu tiên điều trị dứt điểm trước khi thực hiện thẩm mỹ để tránh tình trạng tụt nướu hay hở viền sứ về sau.
Với các trường hợp sai lệch nghiêm trọng về khớp cắn, bác sĩ có thể chỉ định khách hàng chỉnh nha trước khi dán sứ. Việc chỉnh nha sẽ diễn ra trong ít nhất là 9 tháng. Sau khi khớp cắn ổn định thì mới có thể tiến hành các bước tiếp theo.
Thiết kế răng sứ trên phần mềm DSD (Digital Smile Design) đóng vai trò là "bản vẽ kiến trúc" định hướng toàn bộ kế hoạch điều trị.
Quy trình bắt đầu bằng việc xác lập các đường tham chiếu nhân trắc học như trục mặt, đường nối hai đồng tử và cung cười để đảm bảo sự cân đối tuyệt đối giữa răng và môi. Bác sĩ thực hiện cá nhân hóa hình thể răng dựa trên tỷ lệ vàng. Đồng thời, bác sĩ cũng điều chỉnh các góc thoát và độ lộ rìa cắn phù hợp với thần thái riêng của khách hàng.
Thiết kế răng sứ với DSD chính là "bản vẽ kiến trúc" định hướng toàn bộ kế hoạch điều trị.
Điểm mấu chốt kỹ thuật của DSD là khả năng chồng hình đồ họa lên ảnh quét 3D thực tế, cho phép bác sĩ phân tích chính xác khoảng không gian phục hình để trả lời câu hỏi dán sứ veneer có mài răng không. Nếu thiết kế nụ cười mới nằm ngoài cung răng hiện tại, phần mềm sẽ chỉ định dán sứ siêu mỏng 0.1 - 0.2mm. Ngược lại, nếu răng bị hô hoặc chen chúc nhẹ, DSD sẽ tính toán chính xác tọa độ và độ dày mô răng cần sửa soạn để đạt thẩm mỹ mà vẫn bảo tồn tối đa men răng.
Dữ liệu này sau đó được sử dụng để in mẫu Wax-up, giúp quy trình chế tác tại Labo đạt độ chính xác 100% so với bản vẽ, loại bỏ hoàn toàn sai số thủ công và đảm bảo kết quả phục hình bền vững.
Tại Lạc Việt Intech, chúng tôi thấu hiểu nỗi lo của khách hàng về một nụ cười lạ lẫm sau khi thực hiện. Chính vì vậy, bước đeo thử Mock-up ra đời để bạn được trực tiếp 'ngắm và chạm' nụ cười tương lai của mình. Bạn có thể thoải mái cười nói, phát âm hay soi gương để xem dáng răng mới có thực sự phản ánh đúng thần thái mình mong muốn hay không. Quá trình này giúp gạt bỏ mọi rủi ro về mặt cảm tính, mang lại sự an tâm tuyệt đối vì bạn đã biết trước kết quả hoàn hảo trước khi bác sĩ can thiệp thật.
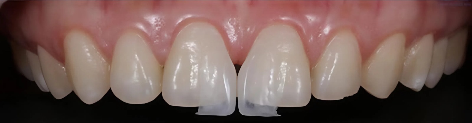
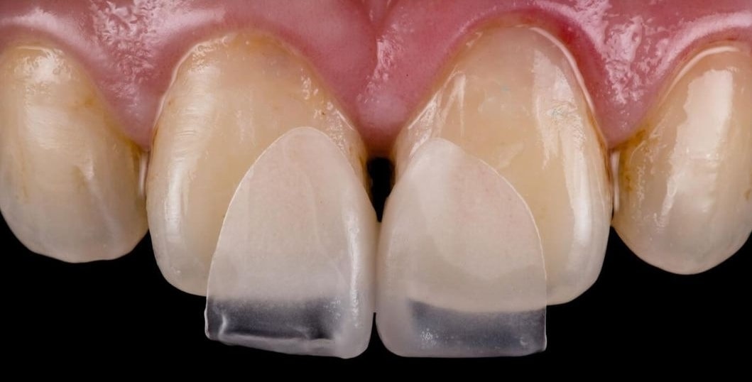
Đối với những hàm răng có men tốt và màu sắc ổn định, bác sĩ có thể thực hiện dán sứ Veneer sau khi chỉ xử lý cực mỏng trên bề mặt. Nhiều khách hàng thường thắc mắc liệu dán sứ veneer có mài răng không, thì thực tế việc sửa soạn men răng là cần thiết nhưng ở mức độ siêu bảo tồn nhằm tạo không gian cho lớp sứ đạt độ mỏng, khít sát và tối ưu khả năng truyền sáng tự nhiên.

Bác sĩ chỉ mài một lớp rất mỏng từ 0.3 tới 0.5mm
Nguyên tắc “vàng” là chỉ tác động trong phạm vi lớp men, tuyệt đối bảo tồn ngà răng để đảm bảo lực liên kết bền vững nhất cho mặt dán. Để đảm bảo được điều này, bác sĩ phải có chuyên môn và giàu kinh nghiệm.
Dữ liệu răng được thu thập bằng máy Scan cầm tay hiện đại, đảm bảo độ chính xác đến từng micromet. Tại Labo, các kỹ thuật viên sẽ sử dụng vật liệu sứ cao cấp như Lithium Disilicate kết hợp công nghệ CAD/CAM để tạo ra những miếng Veneer siêu mỏng, có độ trong mờ và hiệu ứng rìa cắn như răng thật.
Bác sĩ tiến hành kiểm tra độ khít sát và màu sắc dưới ánh sáng tự nhiên. Khi khách hàng hoàn toàn hài lòng, mặt sứ sẽ được cố định bằng hệ thống keo resin chuyên dụng trong môi trường kiểm soát ẩm nghiêm ngặt, tạo nên mối liên kết bền vững như một phần của cơ thể.
Sau khi dán, bác sĩ sẽ kiểm tra lại lực nhai để đảm bảo sự thoải mái nhất. Các buổi tái khám định kỳ là "chìa khóa" để theo dõi sức khỏe mô nướu và duy trì tuổi thọ lâu dài cho nụ cười mới.
Giá dán sứ Veneer dao động từ 7.000.000 – 14.000.000/1 răng. Đây là mức chi phí phổ biến tại hầu hết các nha khoa uy tín hiện nay. Tổng chi phí sẽ phụ thuộc vào số lượng răng và chất liệu sứ mà khách hàng lựa chọn.
Sản phẩm Cấu phần Giá niêm yết Giá ưu đãi Laminate Veneer Lisi Sứ Lithium Disilicate hãng Lisi , công nghệ nén Press 14.000.000 11.700.000 Laminate Veneer Emax Press Sứ Lithium Disilicate hãng Lisi , công nghệ nén Press, hãng sứ Emax 12.000.000 9.500.000 Laminate Veneer Zirconia Sứ Zirconia , công nghệ CAD/CAM 9.000.000 7.500.000
Đây là bảng giá chi tiết được niêm yết công khai và áp dụng cho tất cả mọi khách hàng của Lạc Việt Intech.
Lưu ý: Giá có thể có giảm thêm nếu khách hàng được áp dụng các chương trình ưu đãi theo từng thời điểm.
Trên đây là lời giải đáp cho thắc mắc dán sứ veneer có mài răng không. QHy vọng những chia sẻ trên đã giúp bạn thấu hiểu giá trị của dán sứ Veneer. Đây không chỉ là một kỹ thuật thẩm mỹ, mà là nghệ thuật bảo tồn nụ cười. Nếu các cô chú/anh chị muốn được giải đáp thêm thông tin về các dịch vụ tại Lạc Việt Intech, hãy liên hệ ngay qua hotline của nha khoa hoặc để lại bình luận bên dưới bài viết này.
Tin cùng chủ đề
Đối tác của Nha khoa lạc việt intech