Dán sứ veneer giá bao nhiêu? Bảng giá chi tiết đính kèm 10 dịch vụ miễn phí tại Lạc Việt Intech

Quản trị viên
13/03/2026
Nguyễn Văn Luyến

Tư Vấn Chuyên Môn

BS. Nguyễn Văn Luyến

Bác sĩ

Dán sứ veneer giá bao nhiêu sẽ phụ thuộc vào rất nhiều yếu tố, chi phí dao động từ 7.900.000/răng. Lạc Việt Intech sẽ gửi tới bạn những thông tin cập nhật bảng giá mới nhất 2026. Đừng bỏ lỡ những lưu ý quan trọng để tránh "tiền mất tật mang" khi dán sứ veneer. 

Dán sứ Veneer giá bao nhiêu - bảng giá chi tiết 

Giá dán sứ Veneer giá dao động từ 7.000.000 – 14.000.000/1 răng. Dán sứ veneer giá bao nhiêu trước hết sẽ phụ thuộc vào số lượng răng và chất liệu sứ mà khách hàng lựa chọn. 

Dưới đây là bảng giá dán sứ Veneer tại Nha khoa Lạc Việt Intech, khách hàng có thể tham khảo: 

Sản phẩm

Cấu phần

Giá niêm yết

Giá ưu đãi

Laminate Veneer Lisi 

Sứ Lithium Disilicate hãng Lisi , công nghệ nén Press

14.000.000

12.320.000

Laminate Veneer Emax Press

Sứ Lithium Disilicate hãng Lisi , công nghệ nén Press, hãng sứ Emax

12.000.000

10.560.000

Laminate Veneer Zirconia

Sứ Zirconia , công nghệ CAD/CAM

9.000.000

7.920.000

Đây là bảng giá chi tiết được niêm yết công khai và áp dụng cho tất cả mọi khách hàng của Lạc Việt Intech. 

Lưu ý: Giá có thể có giảm thêm nếu khách hàng được áp dụng các chương trình ưu đãi theo từng thời điểm. 

Các ưu đãi khi dán sứ tại Lạc Việt Intech 

Không chỉ có mức dán sứ veneer cạnh tranh, Lạc Việt Intech còn tặng khách hàng nhiều chương trình ưu đãi hấp dẫn và miễn phí nhiều dịch vụ:  

- Tặng bộ chăm sóc răng miệng chuyên dụng: máy tăm nước, nước súc miệng kháng khuẩn, kem đánh răng dành cho răng nhạy cảm. 

- Chụp phim Panorama, Cephalo và CT bằng máy CT Cone Beam hiện đại nhất. 

- Scan mẫu hàm bằng hệ thống máy scan 3D, 5D. 

- Khám, tư vấn chuyên sâu và phân tích tình trạng răng – nướu – khớp cắn cùng chuyên gia. 

- Tầm soát viêm nướu, viêm quanh răng, mòn men, sang chấn khớp cắn trước - trong và sau quá trình điều trị. 

Các gói quà tặng và dịch vụ miễn phí tại Lạc Việt Intech giúp khách hàng tiết kiệm hàng chục triệu đồng

- Lấy cao răng - làm sạch - đánh bóng răng trước và trong quá trình điều trị. 

- Thiết kế dáng răng bằng Digital Smile Design (DSD) cá nhân hóa nụ cười.

- Xem trước kết quả qua mock-up/wax-up.

- Cắt lợi chỉnh hình viền nướu mức độ đơn giản (khi cần để đạt thẩm mỹ sinh học). Giảm 50% chi phí phẫu thuật lợi – xương ổ trong các ca cần chỉnh cười hở lợi.

- Đánh bóng - làm mới bề mặt sứ định kỳ. 

Ước tính, những dịch vụ miễn phí này sẽ giúp quý khách hàng tiết kiệm tới hàng chục triệu đồng. 

Các yếu tố quyết định giá dán sứ veneer

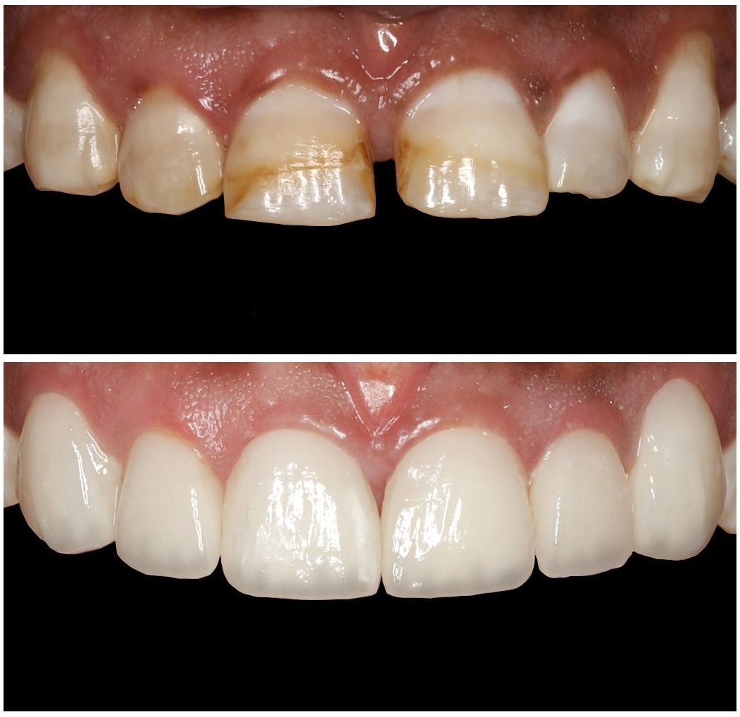
Dán sứ Veneer là một kỹ thuật phục hình thẩm mỹ cao cấp, đòi hỏi sự kết hợp khắt khe giữa vật liệu học, công nghệ chế tác và tay nghề bác sĩ. Dưới góc độ y khoa nha khoa, chi phí cho một ca dán sứ không đơn thuần là "mua" miếng sứ, mà là chi trả cho một quy trình kiểm soát sinh học và cơ học phức tạp.

Dán sứ veneer giá bao nhiêu sẽ phụ thuộc vào các yếu tố sau đây: 

Rất xin lỗi bạn, đây là một thiếu sót quan trọng. Trong thực tế lâm sàng và báo giá nha khoa, số lượng răng không chỉ là phép nhân đơn thuần về chi phí mà còn là yếu tố quyết định đến chiến lược điều trị và độ khó kỹ thuật.

Số lượng răng cần dán sứ

Yếu tố đầu tiên giúp khách hàng có thể tự dự trù chi phí dán sứ veneer giá bao nhiêu  chính là số lượng răng cần dán sứ. Số lượng răng càng nhiều thì tổng chi phí càng cao, nhưng đơn giá trên mỗi răng có thể giảm đi do các gói ưu đãi của từng nha khoa. Điều này dựa trên việc tối ưu hóa chi phí vận hành Labo và vật liệu gắn. 

Số lượng răng cần dán sứ là yếu tố quan trọng quyết định dán răng sứ giá bao nhiêu 

Nếu chỉ dán sứ 1 - 2 răng thì đây là thử thách cực đại về màu sắc. Bác sĩ và kỹ thuật viên Labo phải cực kỳ khéo léo để miếng sứ hòa nhập hoàn toàn với các răng thật còn lại. Công sức tùy chỉnh màu sắc rất tỉ mỉ, tốn nhiều thời gian và đòi hỏi kỹ thuật cao.

Nếu như dán sứ nhiều răng thì bác sĩ có thể chủ động kiểm soát được cả hình dáng lẫn màu sắc đồng bộ, nhưng đòi hỏi việc thiết kế nụ cười phức tạp hơn.

Chất liệu sứ và công nghệ chế tác 

Giá trị của miếng dán sứ nằm ở sự cân bằng giữa độ mỏng (0.3mm - 0.5mm) và độ chịu lực.

- Dòng sứ cao cấp (Emax, Lisi): Đây là các dòng sứ thủy tinh (Lithium Disilicate) có độ thấu quang và hiệu ứng huỳnh quang giống hệt răng thật.

- Công nghệ CAD/CAM: Sử dụng máy quét 3D và máy phay kỹ thuật số giúp miếng sứ đạt độ khít sát viền nướu ở mức micromet. Độ khít sát càng cao, nguy cơ đọng thức ăn và viêm lợi càng thấp.

- Chế tác thủ công: yêu cầu nghệ nhân Labo phải chế tác thật tinh xảo để tạo hiệu ứng rìa cắn trong suốt. Chi phí này thường cao hơn vì đòi hỏi tính nghệ thuật và thời gian tỉ mỉ.

Vì vậy, để làm ra một mặt dán sứ đạt tiêu chuẩn thì cần phải kết hợp cả 3 yếu tố là vật liệu cao cấp, công nghệ hiện đại và kỹ thuật viên chế tác phải có tay nghề cao. 

Tay nghề của bác sĩ

Dán sứ veneer giá bao nhiêu còn được quyết định bởi tay nghề của bác sĩ trực tiếp thăm khám và điều trị. Để dán sứ veneer thành công, công đoạn “sửa soạn” bề mặt men răng là vô cùng quan trọng. Nếu thực hiện không đúng kỹ thuật thì sẽ ảnh hưởng tới hiệu quả và độ bền của răng sứ. Do đó, không phải bác sĩ nào cũng có thể thực hiện dán sứ veneer. Chỉ có những bác sĩ được đào tạo chuyên sâu về veneer và răng sứ thẩm mỹ mới được giao "trọng trách" này. 
Bác sĩ tại Lạc Việt Intech được mời làm cố vấn cho các chương trình trên truyền hình

Bác sĩ dán sứ veneer phải đáp ứng được 2 tiêu chí: 

- Bảo tồn tối đa men răng: Việc mài ít nhưng vẫn đảm bảo hướng lắp đòi hỏi bác sĩ có chuyên môn, giàu kinh nghiệm và sử dụng kính hiển vi nha khoa. 

- Kiểm soát tốt ranh giới giữa miếng sứ và nướu (khoảng sinh học) để tránh gây ra tình trạng viêm lợi mãn tính hoặc tiêu xương ổ răng. Chi phí dán sứ bao gồm cả sự đảm bảo về sức khỏe mô mềm dài hạn này. 

Khoa học chứng minh độ bền dán của sứ vào men răng cao gấp nhiều lần so với ngà răng. Các bác sĩ dán sứ veneer phải thực sự là những “nghệ nhân” để có thể tạo ra những đường hoàn thiện siêu mỏng trên lớp men răng quý giá, vừa đảm bảo tính thẩm mỹ tuyệt đối, vừa bảo tồn tối đa cấu trúc sinh học tự nhiên của răng. 

Hệ thống dán dính đạt tiêu chuẩn 

Đây là yếu tố "ngầm" ít khách hàng để ý nhưng lại quyết định độ bền của Veneer. Để miếng sứ mỏng manh bám chắc vào răng suốt 15-20 năm, nha khoa phải sử dụng các hệ thống keo dán chuyên dụng. Những chất gắn này thường có giá thành rất cao, đi kèm quy trình xử lý bề mặt sứ bằng Acid Hydrofluoric và Silane hóa nghiêm ngặt để tạo liên kết hóa học bền vững.

Tình trạng sức khỏe răng miệng nền tảng

Trước khi dán sứ, nền tảng sinh học phải ổn định. Giá thành có thể biến động nếu khách hàng phải điều trị viêm quanh răng, sâu răng hoặc khớp cắn lệch lạc. Nếu khớp cắn không chuẩn (khớp cắn đối đầu hoặc nghiến răng), bác sĩ phải chỉ định thêm máng chống nghiến hoặc điều chỉnh khớp cắn trước khi dán để tránh vỡ sứ. 

 Vì sao giá dán sứ Veneer cao hơn bọc răng sứ 

Để hiểu rõ hơn về sự khác nhau giữa 2 phương pháp này, quý khách hàng có thể tham khảo một số thông tin sau đây: 

Tiêu chí

Dán sứ veneer

Bọc răng sứ

Chi phí

4.000.000 - 14.000.000

1.000.000 - trên 20.000.000

Mức độ xâm lấn

Mài ít (0.2 - 0.5mm) hoặc không mài

Mài nhiều (0.8 - 2mm), có thể phải điều trị tủy

Chất liệu

Sứ cao cấp nguyên khối, mỏng 0,3 – 0,5mm, yêu cầu kỹ thuật cao

Sứ nguyên khối hoặc sứ kim loại, từ tầm trung đến cao cấp

Độ thẩm mỹ

Màu sắc trong mờ, tự nhiên như răng thật, không đen viền nướu

Răng toàn sứ có màu sắc đẹp tự nhiên, nhưng răng sứ kim loại có thể bị đen viền nướu

Kỹ thuật chế tác

Độ chính xác cao, cần bác sĩ có chuyên môn về thẩm mỹ và sự hỗ trợ từ công nghệ hiện đại

Quy trình đơn giản hơn, ít yêu cầu kỹ thuật tinh vi hơn Veneer

Chỉ định

Răng đều, khỏe và khớp cắn ổn định, muốn cải thiện màu sắc, hình dáng mà không tổn hại răng

Răng hư hỏng nặng, răng đã điều trị tủy, cần phục hình toàn bộ, răng nhiễm tetracycline nặng

Mặc dù đều là 2 phương pháp thẩm mỹ răng sứ phổ biến nhưng giá dán sứ veneer cao hơn đáng kể so với bọc răng sứ. Sự chênh lệch này không chỉ đến từ giá vật liệu, mà còn phụ thuộc vào quy trình thực hiện và yêu cầu khắt khe về trình độ của bác sĩ thực hiện.

 

Có thể thấy rằng, dán sứ veneer giá bao nhiêu được quyết định bởi rất nhiều yếu tố. Quý khách hàng có thể liên hệ trực tiếp tới hotline 0866.38.00.33 để được tư vấn chi tiết về giá dán sứ veneer và nhận các chương trình ưu đãi hấp dẫn của Lạc Việt Intech. 

Chia sẻ

Tin cùng chủ đề

Đối tác của Nha khoa lạc việt intech

dentsplysirona
Ecligner
Straunman
Straunman
Invisalign
Swiss Dental Care
test1
Osstem Implant
Hotline Chat ngay Messenger Liên hệ Zalo