Dán sứ veneer loại nào tốt nhất? Giá bao nhiêu 1 răng?

Quản trị viên
13/03/2026
Trịnh Minh Đức

Tư Vấn Chuyên Môn

BS. Trịnh Minh Đức

Bác sĩ

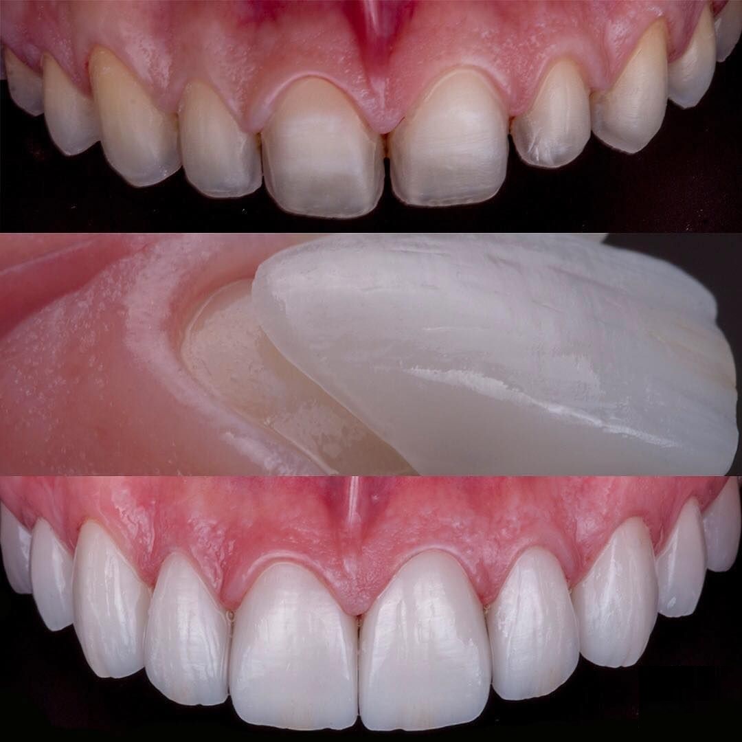
Giữa "ma trận" giá cả và chủng loại, việc chọn dán sứ veneer loại nào tốt nhất không hề dễ dàng. Quý khách đừng để giá cả làm nhiễu thông tin! Hãy cùng bóc tách ưu nhược điểm của từng loại để biết nên dán sứ veneer loại nào. 

Dán sứ veneer có mấy loại? 

Trên thị trường hiện nay có rất nhiều loại mặt dán sứ với các tên gọi “mỹ miều” và mức giá chênh lệch nhau. Thêm vào đó, mỗi nha khoa lại đưa ra một thông tin khác nhau nên dễ khiến cho khách hàng hoang mang, không biết “dán sứ veneer loại nào tốt nhất. Hiểu được tâm lý này, Lạc Việt Intech đã tổng hợp thông tin về 3 loại mặt dán sứ veneer chất lượng nhất để giới thiệu tới quý khách hàng. 

Dán sứ veneer có mấy loại là thắc mắc của rất nhiều khách hàng 

Để giúp bạn thoát khỏi "ma trận" tên gọi và hiểu rõ giá trị thực của từng dòng sứ, dưới đây là bảng so sánh chi tiết 3 loại mặt dán sứ Veneer dẫn đầu thị trường hiện nay về cả độ bền lẫn thẩm mỹ.

Tiêu chí Mặt dán sứ Emax Press Mặt dán sứ Lisi Press Mặt dán sứ Zirconia
Chất liệu Sứ thủy tinh Lithium Disilicate Sứ thủy tinh siêu mỏng Sứ Zirconium Oxide cao cấp
Độ dày 0.3mm - 0.5mm Siêu mỏng (0.2mm - 0.4mm) 0.5mm - 0.6mm (Dày hơn)
Độ chịu lực ~400 - 500 MPa ~400 - 450 MPa 600 - 900 MPa
Độ thẩm mỹ Rất cao, độ trong mờ tự nhiên Xuất sắc, hiệu ứng ngọc trai, trong suốt Trung bình, độ đục cao hơn, hơi trắng bệch
Khả năng che màu Khá tốt Tốt (phù hợp răng ít xỉn màu) Tốt nhất (che được răng nhiễm Tetracycline nặng)
Độ bền 15 - 20 năm 15 - 20 năm 10 - 15 năm (Dễ bong hơn sứ thủy tinh)
Giá tham khảo 10.000.000 - 12.000.000 VNĐ 12.000.000 - 14.000.000 VNĐ 7.900.000 - 9.000.000 VNĐ

Thông tin chi tiết về từng loại sứ cụ thể như sau: 

Mặt dán sứ Emax Press 

Mặt dán sứ Emax Press được mệnh danh là "tiêu chuẩn vàng" trong dán sứ Veneer vì giải quyết được bài toán khó nhất trong là sự cân bằng hoàn hảo giữa thẩm mỹ tự nhiên và, tính tương thích sinh học và độ bền cơ học. 

Mặt dán sứ Emax Press được mệnh danh là "tiêu chuẩn vàng" trong dán sứ Veneer

Emax Press có các ưu điểm sau: 

- Là sứ cao cấp nên có tính tương thích sinh học cao, an toàn, không kích ứng, không đen viền nướu. 

- Độ trong mờ: Có nhiều cấp độ từ đục đến siêu trong, giúp bác sĩ mô phỏng được độ rìa cắn mảnh mai và sự sống động của răng thật.

- Hiệu ứng tắc kè hoa: Miếng dán sứ Emax Press có khả năng hòa nhập màu sắc với cùi răng thật bên dưới, giúp nụ cười trông tự nhiên, không bị giả hay bị "trắng bệch".

- Dù mỏng như kính áp tròng (chỉ từ 0.3mm - 0.5mm) nhưng độ bền uốn của Emax vẫn đạt khoảng 400 - 500 MPa, cao hơn nhiều so với các loại sứ thủy tinh truyền thống (thường chỉ khoảng 100-150 MPa). 

- Có thể bị xói mòn bởi acid, tạo ra các lỗ vi thể li ti trên bề mặt. Khi kết hợp với chất gắn chuyên dụng, nó tạo ra một mối liên kết hóa học cực kỳ bền vững giữa mặt sứ và men răng, tạo thành một khối thống nhất. 

Mặt dán veneer Emax đã được tin dùng hơn 20 năm nay và có kho dữ liệu khách hàng khổng lồ. Tỉ lệ tồn tại của sứ Emax Press lên tới 95% sau 10 năm. Đây cũng là bảo chứng vàng cho chất lượng của mặt dán sứ này.  

Mặt dán sứ Lisi 

Sứ thủy tinh LiSi (GC Initial LiSi Press) là đối thủ trực tiếp và đáng gờm nhất của "tiêu chuẩn vàng" Emax. LiSi được tối ưu hóa cho các mặt dán siêu mỏng (Ultra-thin) nhờ cấu trúc tinh thể dày đặc hơn Emax, cho phép mài mỏng xuống còn 0.2mm mà không bị nứt vỡ khi chế tác. Nhược điểm là mặt dán Lisi Press yêu cầu dáng răng đều, màu răng không được quá sậm màu. Nhìn chung, mặt dán sứ này khá kén người dùng.

Mặt dán sứ LiSi được tối ưu hóa cho các mặt dán siêu mỏng (Ultra-thin)

Khác với các dòng sứ truyền thống, GC sử dụng công nghệ vi hóa mật độ cao. Các tinh thể Lithium Disilicate trong LiSi được chế tác ở kích thước siêu nhỏ (micro-crystals) và phân bổ đồng đều tuyệt đối trong ma trận thủy tinh. Độ bền uống của Lisi đạt trên 500 MPa, cao hơn so với mức trung bình 400 - 450 MPa của các dòng sứ cùng loại. 

LiSi nổi tiếng với tông màu "ấm" và khả năng phát huỳnh quang tự nhiên. Khi vào môi trường ánh sáng thay đổi, răng sứ LiSi vẫn phát sáng nhẹ nhàng giống hệt răng thật. Mặt dán veneer này được thiết kế để có cấu trúc hạt mịn, giúp giảm thiểu ma sát, hạn chế tác động xấu lên răng tự nhiên so với các dòng sứ có tinh thể lớn. 

Do quy trình chế tác phức tạp và giá phôi sứ nhập khẩu cao, giá thành một đơn vị răng sứ LiSi thường nằm trong phân khúc cao cấp (từ 12 - 14 triệu/răng). Đây cũng là một đáp án cho câu hỏi “dán sứ veneer loại nào tốt nhất”. 

Mặt dán sứ Zirconia

Zirconia vốn là "thép trắng" trong nha khoa. Hiện nay đã có các dòng Zirconia đa tầng (7-9 lớp màu) dùng cho Veneer.

Khác với sứ thủy tinh (Emax hay LiSi) dựa trên nền silica, Zirconia là một loại gốm đa tinh thể không pha thủy tinh. Ánh sáng khi đi qua Zirconia bị tán xạ nhiều hơn, tạo cảm giác hơi "lì" và đục nhẹ. Nếu so sánh dưới ánh sáng cường độ cao, Veneer Zirconia nhìn sẽ "giả" hơn so với LiSi hay Emax.

Ánh sáng khi đi qua Zirconia bị tán xạ nhiều hơn, tạo cảm giác hơi "lì" và đục nhẹ.

Độ bền uốn là "vũ khí" mạnh nhất của Zirconia. Trong khi sứ thủy tinh dừng lại ở mức 400-500 MPa, Zirconia thế hệ mới có độ bền cực cao, khoảng 600 - 900 MPa.

Với cấu trúc tinh thể đa diện dày đặc, Zirconia có độ đục cao hơn sứ thủy tinh. Đặc tính này giúp mặt dán sứ Zirconia che phủ tốt hơn trong trường hợp răng bị xỉn màu nặng. 

Tuy nhiên, lực dán của Zirconia thường kém ổn định theo thời gian so với sứ thủy tinh. Tỷ lệ bong mặt dán Zirconia trong dài hạn (trên 10 năm) thường cao hơn nếu quy trình dán không được đảm bảo và kiểm soát khắt khe.

Dán sứ veneer loại nào tốt nhất hiện nay? 

Có thể thấy, mỗi loại mặt dán sứ sẽ có những thông số và đặc tính riêng để phù hợp với từng tình trạng của khách hàng. Do đó, việc dán sứ veneer loại nào tốt nhất sẽ phụ thuộc vào một số yếu tố sau đây: 

- Mức độ bảo tồn răng thật: Nếu không muốn mài răng thì khách hàng có thể chọn các dòng sứ thủy tinh cao cấp như LiSi hoặc Emax. 

- Tình trạng răng ban đầu: Với những răng bị xỉn màu nặng hơn thì nên cân nhắc chọn mặt dán sứ có độ che phủ tốt, răng đã đều và không quá sậm màu thì nên chọn mặt dán sứ mỏng và có màu sắc tự nhiên. 

- Khả năng tài chính: Mỗi loại mặt dán đều nằm trong phân khúc giá thành khác nhau. Khách hàng nên cân nhắc lựa chọn mặt dán sứ phù hợp để khắc phục các nhược điểm của răng mà không tạo nên áp lực tài chính. 

- Tính thẩm mỹ: Mặt dán sứ thủy tinh như LiSi hay Emax có màu sắc tự nhiên hơn so với Zirconia. 

Nếu xác định được các yếu tố trên, chúng ta sẽ lựa chọn được dán sứ veneer loại nào tốt nhất cho từng trường hợp. 

Dán sứ veneer giá bao nhiêu? Bảng giá chi tiết

Chi phí dán sứ Veneer giá dao động từ 8.000.000 – 14.000.000/1 răng. Duy nhất trong tháng 3/2026, khách hàng dán sứ veneer sẽ được giảm 45% chi phí dán răng sứ veneer, chỉ còn từ 4.050.000/răng. 

Lưu ý: Chương trình này chỉ áp dụng trong tháng 3/2026. Sau thời gian này, ưu đãi có thể thay đổi. Quý khách hàng hãy liên hệ tới hotline 0866.38.00.33 để biết nhận ưu đãi.  

Sản phẩm

Cấu phần

Niêm yết

Ưu đãi

Duy nhất trong tháng 3/2026

Laminate Veneer Lisi 

Sứ Lithium Disilicate hãng Lisi , công nghệ nén Press

14.000.000

12.320.000

6.300.000

Laminate Veneer Emax Press

Sứ Lithium Disilicate hãng Lisi , công nghệ nén Press, hãng sứ Emax

12.000.000

10.560.000

5.400.000

Laminate Veneer Zirconia

Sứ Zirconia , công nghệ CAD/CAM

9.000.000

7.920.000

4.050.000

Bảng giá này được niêm yết công khai và áp dụng cho tất cả mọi khách hàng của Lạc Việt Intech. Giá có thể có giảm thêm nếu khách hàng được áp dụng các chương trình ưu đãi theo từng thời điểm. 

Bên cạnh yếu tố vật liệu, tay nghề của bác sĩ cũng cần được chú trọng. Khách hàng nên lựa chọn dán sứ tại các nha khoa uy tín như Lạc Việt Intech để được bác sĩ giỏi trực tiếp thăm khám và điều trị. 

Để biết dán sứ veneer loại nào tốt nhất, quý khách hàng hãy tới nha khoa Lạc Việt Intech để được thăm khám và tư vấn miễn phí cùng chuyên gia.

 

Chia sẻ

Tin cùng chủ đề

Đối tác của Nha khoa lạc việt intech

dentsplysirona
Ecligner
Straunman
Straunman
Invisalign
Swiss Dental Care
test1
Osstem Implant
Hotline Chat ngay Messenger Liên hệ Zalo