Tư Vấn Chuyên Môn
BS. Đinh Anh Hoàng
Bác sĩ
Dán sứ veneer đòi hỏi sự chính xác tuyệt đối trong tất cả các thao tác của bác sĩ và sự tỉ mỉ, tinh xảo trong chế tác mặt dán sứ. Do đó, thời gian hoàn thiện một ca dán sứ veneer có thể lâu hơn một chút.

Dán sứ veneer mất bao lâu sẽ được quyết định bởi nhiều yếu tố
Ngoài ra, các yếu tố sau đây cũng góp phần quyết định thời gian dán sứ veneer mất bao lâu:
Các yếu tố sau đây được coi là thuận lợi cho quá trình dán sứ veneer:
- Răng đều, hình thể bình thường, khớp cắn ổn định.
- Nướu khỏe, hồng hào, không viêm nướu, không viêm nha chu hoặc các bệnh lý răng miệng khá.
- Không có các thói quen xấu như mút ngón tay, nghiến răng.
Với các trường hợp này, quá trình dán sứ chỉ mất 3 - 5 ngày để hoàn thiện, không phát sinh thêm thời gian hoặc chi phí.
Tuy nhiên, nếu nha chu hoặc nướu bị viêm, chỉ số chảy máu khi thăm khám cao thì bác sĩ không thể lấy dấu chính xác. Khách hàng cần phải điều trị dứt điểm các tình trạng viêm này trước khi tiến hành dán sứ veneer. Quy trình điều trị viêm nướu mất từ 7 - 14 ngày để mô nướu tái cấu trúc và đạt độ săn chắc (collagen hóa).
Nếu khách hàng có thân răng ngắn, cần can thiệp làm dài thân răng thì sẽ mất nhiều thời gian hơn nữa. Quá trình lành thương của mào xương ổ răng và nướu sau phẫu thuật cần ít nhất 6 - 12 tuần trước khi dán sứ vĩnh viễn để tránh tình trạng tụt nướu sau này.
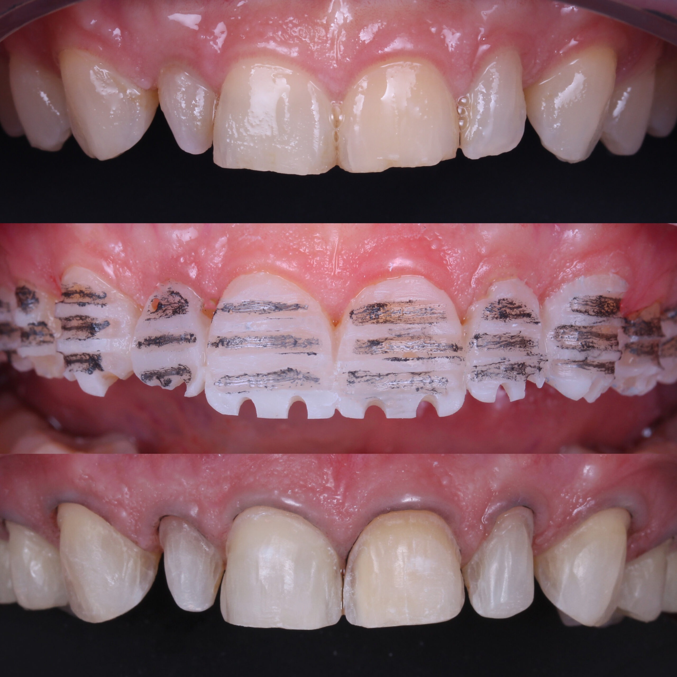
Việc mài tỉ mỉ và chính xác để giữ lại lớp men mỏng yêu cầu thời gian thao tác trên ghế nha khoa kéo dài khoảng 20 phút/răng. Bù lại, bác sĩ làm tốt ở bước này sẽ rút ngắn thời gian điều chỉnh khớp cắn về sau.
Việc mài một lớp men răng cực mỏng đòi hỏi bác sĩ có chuyên môn và tỉ mỉ trong từng thao tác nên sẽ mất thời gian hơn
Với những răng lệch lạc, thời gian mài chỉnh để tạo trục song song cho các miếng dán có thể tăng gấp đôi so với răng thẳng hàng. Thao tác sửa soạn răng này cũng ảnh hưởng đến độ bền kết nối và thời gian thử răng.
Thời gian tại phòng Labo phụ thuộc vào công nghệ mà khách hàng lựa chọn, với mỗi công nghệ chế tác sẽ có thời gian khác nhau:
|
Công nghệ |
Thời gian |
Đặc điểm kỹ thuật |
|
CAD/CAM Milling |
24 - 48 giờ |
Cắt từ khối sứ nguyên khối (Lithium Disilicate). Độ chính xác cao, sai số viền nướu < 50µm. |
|
Sứ ép |
3 - 5 ngày |
Độ khít sát cao nhưng quy trình thủ công tốn thời gian hơn. |
|
Đắp sứ thủ công |
5 - 10 ngày |
Kỹ thuật viên đắp sứ thủ công để tạo độ trong mờ tự nhiên tối đa. Đòi hỏi thời gian nướng sứ nhiều lần trong lò. |
Tất cả các yếu tố trên đều liên quan trực tiếp tới thời gian dán sứ veneer mất bao lâu để hoàn thiện. Do đó, khách hàng nên tới khám trực tiếp tại các nha khoa để được bác sĩ tư vấn cụ thể về tình trạng và lộ trình điều trị.
Quy trình phục hình Veneer sứ là một chuỗi các thao tác vi phẫu đòi hỏi sự chính xác tuyệt đối về mặt cơ học và sự tương thích hoàn hảo về mặt sinh học. Việc nắm rõ khung thời gian chi tiết cho từng bước lâm sàng không chỉ giúp khách hàng chủ động sắp xếp công việc mà còn là cơ sở để đánh giá một ca điều trị đạt chuẩn y khoa quốc tế.
Bước
Quy trình
Công việc chi tiết
Tiêu chuẩn
Thời gian
Phụ trách
1
Khám & chẩn đoán tổng quát
- Khám răng, nướu, khớp cắn
- Tầm soát bệnh lý
- Chụp X-quangĐánh giá đầy đủ nền sinh học răng - nướu - khớp cắn
30 - 45 phút
Bác sĩ
2
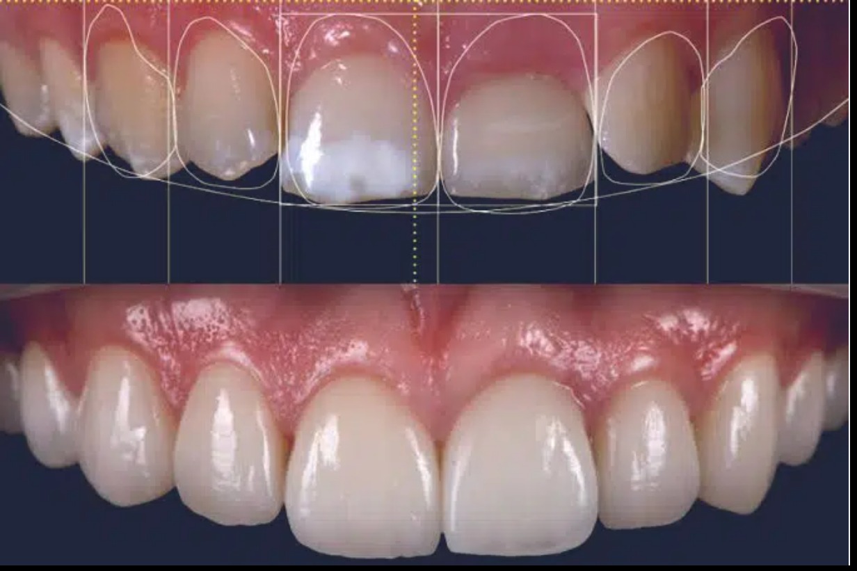
Thiết kế nụ cười DSD & mock-up
- Phân tích gương mặt, đường cười
- Thiết kế DSD cá nhân hóa
- Mock-up để khách hàng xem trướcNụ cười được thiết kế và duyệt trước khi chế tác
45 - 60 phút
Bác sĩ + KTV Labo
3
Thiết kế mock-up
Đeo thử và trải nghiệm
4
Sửa soạn mài răng
- Mài tối thiểu hoặc không mài (nếu đủ điều kiện)
- Scan răng, viền nướu, khớp cắn- Răng được sửa soạn đúng kỹ thuật
- Dữ liệu chính xác30 - 60 phút
Bác sĩ
5
Labo chế tác veneer
- Chế tác veneer Lithium Disilicate
- Công nghệ Press/CAD-CAM
- Hoàn thiện màu & textureVeneer đạt chuẩn thẩm mỹ và sinh học
3 - 10 ngày
KTV Labo
6
Đeo thử và chỉnh form
- Thử veneer, chỉnh form và khớp cắn
- Dán bằng chất gắn chuyên dụngVeneer liên kết bền vững với răng thật
60 - 90 phút
KTV Labo
7
Hoàn thiện và theo dõi sau điều trị
- Đánh bóng, kiểm tra ăn nhai
- Hướng dẫn chăm sóc và tái khámRăng ổn định, thẩm mỹ và bền lâu
Theo lịch hẹn
Bác sĩ, CSKH
Một ca dán sứ Veneer thành công đòi hỏi khoảng 3 đến 5 giờ/buổi làm việc trực tiếp trên ghế nha khoa. Khách hàng cũng cần ít nhất hai lần hẹn để đảm bảo các phản ứng sinh hóa của vật liệu đạt trạng thái ổn định nhất. Sự tuân thủ nghiêm ngặt về thời gian trong từng bước thao tác chính là "chìa khóa vàng" giúp duy trì tuổi thọ phục hình lên đến hàng chục năm và bảo vệ toàn vẹn sức khỏe răng thật.
Với kinh nghiệm đồng hành cùng hàng triệu khách hàng trong hành trình 20 năm kiến tạo nụ cười, Lạc Việt Intech hứa hẹn sẽ mang tới cho quý khách hàng những trải nghiệm xứng tầm nhất khi dán sứ veneer tại đây.
100% bác sĩ tại Lạc Việt Intech tốt nghiệp Đại học Y Hà Nội và các trường đại học Y danh tiếng trong và ngoài nước. Các bác sĩ phụ trách dịch vụ dán sứ veneer đều từng tham gia các khóa đào tạo chuyên sâu về phục hình răng sứ tại Mỹ, Hàn Quốc, châu Âu.
Khách hàng dán sứ veneer tại Lạc Việt Intech sẽ được các bác sĩ giỏi trực tiếp thăm khám và điều trị
Không dừng lại ở kỹ thuật thuần túy, đội ngũ bác sĩ tại Lạc Việt Intech còn đề cao triết lý "xâm lấn tối thiểu, hiệu quả tối đa" nhằm bảo tồn tối ưu mô răng thật cho khách hàng. Với nhãn quan thẩm mỹ tinh tế, các bác sĩ sẽ thiết kế dáng răng và lựa chọn sắc độ sứ dựa trên đặc điểm nhân trắc học của từng khuôn mặt, đảm bảo nụ cười sau phục hình không chỉ trắng sáng mà còn có vẻ đẹp tự nhiên, sống động.
Sự kết hợp giữa đôi bàn tay khéo léo của người thầy thuốc và công nghệ chẩn đoán hình ảnh 3D tiên tiến giúp kiểm soát chính xác độ sát khít của mặt dán, từ đó loại bỏ hoàn toàn rủi ro ê buốt hay viêm lợi, mang lại sự an tâm tuyệt đối cho khách hàng trong suốt quá trình sử dụng.
Lạc Việt Intech sở hữu Labo riêng với các ưu điểm vượt trội so với làm việc cùng 1 bên thứ ba. Điều này cũng góp phần quan trọng quyết định dán răng sứ veneer mất bao lâu:
- Rút ngắn tối đa thời gian chế tác.
- Kiểm soát tốt được nguồn nguyên liệu, đảm bảo thành phẩm đúng chuẩn theo chỉ định y khoa.
- Tiết kiệm thời gian di chuyển nếu cần phải sửa chữa, điều chỉnh.
- Răng sứ có độ chính xác cao vì bác sĩ có thể làm việc trực tiếp với kỹ thuật viên labo.
- Loại bỏ các khâu trung gian giúp nha khoa kiểm soát giá thành tốt hơn.
Lạc Việt Intech luôn tiên phong ứng dụng các công nghệ tiên tiến nhất vào quá trình điều trị
Ngoài ra, Lạc Việt Intech cũng ứng dụng các công nghệ hiện đại trong việc lên kế hoạch điều trị và chế tác răng sứ:
- Công nghệ Digital Smile Design (DSD) thiết kế nụ cười cá nhân hóa dựa trên đặc điểm khuôn mặt từng khách hàng.
- Phần mềm thiết kế (CAD) và sản xuất (CAM) răng sứ tự động với độ chính xác tuyệt đối đến từng micron.
- Thiết bị hỗ trợ như kính hiển vi nha khoa, máng dẫn đường cũng được trang bị để hỗ trợ bác sĩ thực hiện chính xác các thao tác.
Sự kết hợp hoàn hảo giữa hệ thống Labo chuyên biệt và công nghệ hiện đại không chỉ khẳng định vị thế dẫn đầu của Lạc Việt Intech, mà còn là lời cam kết mang đến một nụ cười hoàn mỹ, an toàn và cá nhân hóa sâu sắc cho từng khách hàng.
Tại Lạc Việt Intech, sự minh bạch được coi là giá trị cốt lõi để xây dựng niềm tin tuyệt đối với khách hàng. Nha khoa công khai toàn bộ profile và chứng chỉ hành nghề của đội ngũ bác sĩ, cam kết 100% bác sĩ có bằng cấp chính quy và dày dặn kinh nghiệm thực tiễn.
Mọi thông tin về chi phí điều trị, nguồn gốc vật liệu sứ và quy trình thực hiện đều được niêm yết rõ ràng, đảm bảo không phát sinh chi phí ngoài dự kiến. Đặc biệt, khách hàng luôn được ký hợp đồng cam kết hiệu quả bằng văn bản có giá trị pháp lý, cho phép xem trước kết quả điều trị qua công nghệ 3D, giúp bạn hoàn toàn an tâm và chủ động trong suốt hành trình kiến tạo nụ cười.
Như vậy, dán sứ Veneer mất bao lâu còn tùy thuộc vào nhiều yếu tố, nhưng thời gian trung bình ngắn hơn rất nhiều so với các phương pháp thẩm mỹ và phục hình khác. Quý khách hàng hãy liên hệ ngay hotline 0866380033 để nhận ưu đãi hấp dẫn.
Tin cùng chủ đề
Câu hỏi liên quan
Tin tức nổi bật
28/04/2026
Đăng ký tư vấn
Đối tác của Nha khoa lạc việt intech