90% khách hàng hối hận vì làm răng sứ - Sự thật kinh hoàng phía sau nụ cười trăm triệu 

Quản trị viên
06/04/2026
Hoàng Duy Hùng

Tư Vấn Chuyên Môn

BS. Hoàng Duy Hùng

Bác sĩ

Dừng lại trước khi mài răng! 90% người dùng hối hận vì làm răng sứ do làm răng sứ khi chưa tìm hiểu kỹ. Bài viết này bóc trần những chiêu trò truyền thông và cách “giải cứu” hàm răng trước khi quá muộn

Cú sốc sau nụ cười "vạn người mê"

“Đẹp chuẩn sao, trắng sáng cấp tốc sau 48 giờ, bảo hành trọn đời, …” là những lời quảng cáo có cánh về bọc răng sứ. Tuy nhiên, đằng sau những nụ cười trăm triệu là "án tù" cho sức khỏe khi trụ răng thật bên trong mục nát vì bị mài giũa vô tội vạ. Đó chính là lý do ngày càng có nhiều các hội nhóm “hối hận vì làm răng sứ” ra đời. 

Sự thật bên trong những nụ cười "vạn người mê"

Đằng sau hàm răng trắng muốt là những ổ viêm loét, bốc mùi và cơn đau buốt đến mất ngủ.  Tất cả đều nhắc nhở chúng ta về một hàm răng đang âm thầm bị hủy hoại.

Khách hàng đang có ý định làm răng sứ cần phải hiểu rằng, làm đẹp là nhu cầu chính đáng, nhưng làm đẹp mà thiếu kiến thức thì cực kỳ nguy hiểm. Răng sứ chỉ thực sự là món quà nếu được đặt đúng chỗ, đúng kỹ thuật. Ngược lại, nếu đặt niềm tin mù quáng vào những cơ sở giá rẻ, cái giá phải trả không chỉ là tiền bạc mà là sự hối hận muộn màng trên những mảnh vụn của chính hàm răng thật. Đã đến lúc chúng ta cần tỉnh táo trước khi quá muộn!

Nguyên nhân 90% khách hàng hối hận vì làm răng sứ

Nhiều người bước chân vào nha khoa với giấc mơ về một vẻ đẹp hoàn hảo, nhưng thực tế nghiệt ngã đã biến niềm kỳ vọng ấy thành nỗi hối hận muộn màng ngay khi những hệ lụy đầu tiên xuất hiện. 

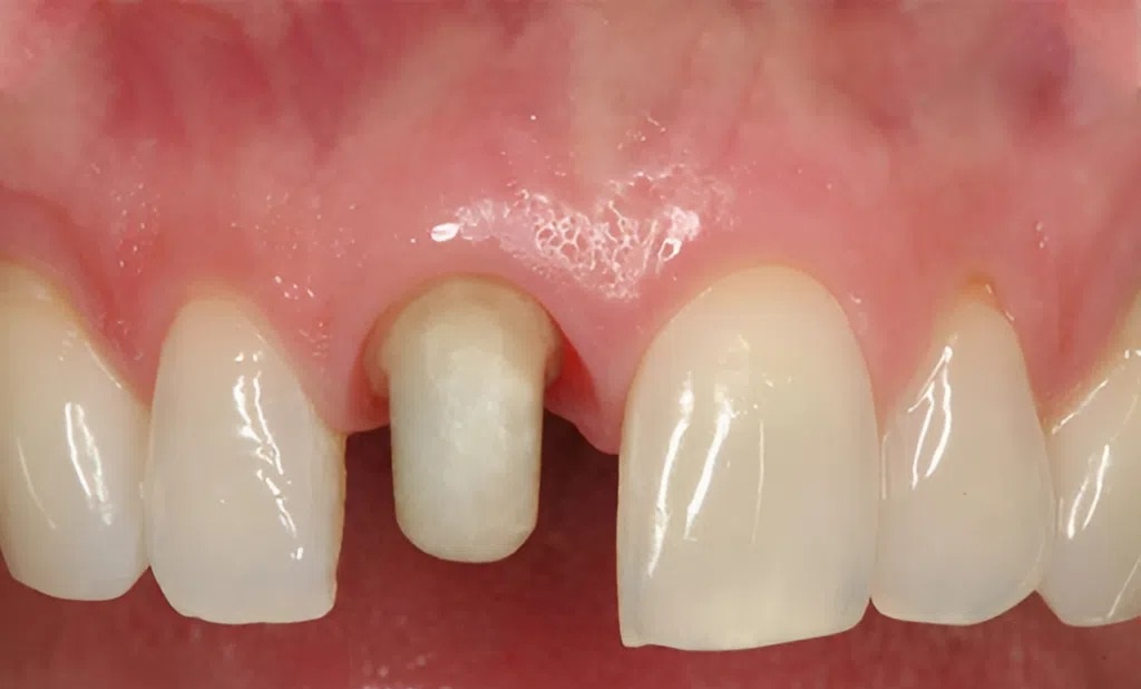
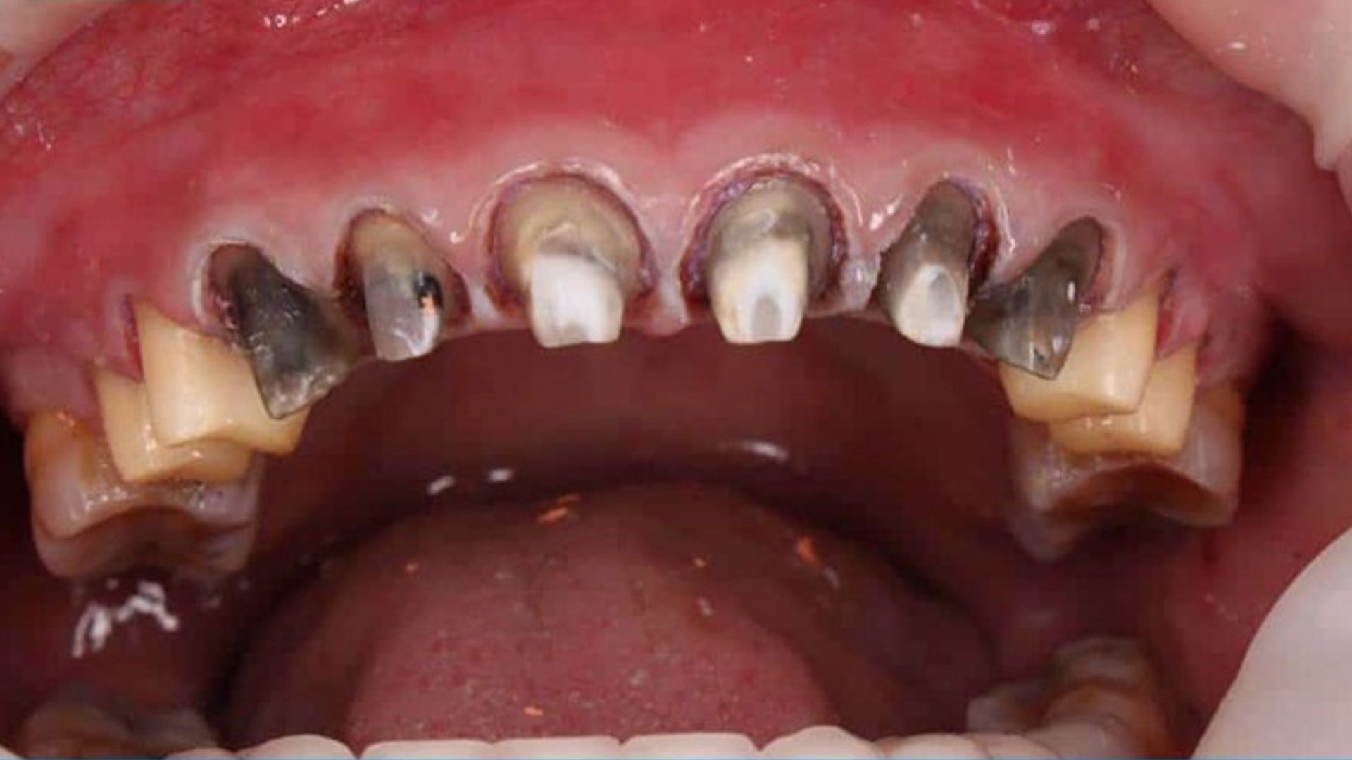
Răng thật bị mài nhỏ và nhọn như răng “cá mập”

Để lắp được mão sứ, bác sĩ sẽ mài đi một phần mô răng thật. Kích thước mài răng được quy định cụ thể như sau:

- Răng cửa và răng nanh: cổ răng mài từ 0,6mm - 1mm, thân răng mài từ 1mm - 1.5mm và cạnh cắn mài từ 1.2mm - 2mm.

- Răng hàm: cổ răng mài khoảng 0,8 - 1mm, thân răng mài từ 1.5mm - 2mm và mặt nhai mài từ 1.5mm - 2mm. 

Quá trình mài cùi răng đòi hỏi sự chuẩn xác tuyệt đối trên cả 5 mặt răng theo một tỷ lệ vàng nghiêm ngặt. Việc tạo hình phải đảm bảo độ dốc đứng và góc thoát hợp lý, tạo điểm tựa vững chắc để mão sứ bọc vào đạt độ sát khít hoàn hảo, tăng cường khả năng bám giữ và ngăn ngừa tình trạng lỏng lẻo hay rơi rụng sau này. 

Nếu bác sĩ mài răng đúng kỹ thuật thì sẽ hạn chế được các nguy cơ biến chứng

Nếu đảm bảo được các yêu cầu này, việc mài răng để bọc sứ không quá đáng ngại. Nhưng nếu bác sĩ không đảm bảo đúng kỹ thuật, mài quá nhiều mô răng thì khách hàng sẽ phải đối mặt với những cơn ê buốt kéo dài, thậm chí là viêm tủy, chết tủy. Đặc biệt, nhiều nha khoa không uy tín chỉ định “diệt tủy vô tội vạ” khiến răng giòn và có thể gãy bất cứ lúc nào.

Ê buốt, đau nhức răng trong thời gian dài 

Ê buốt là hệ quả của việc xâm phạm khoảng sinh học khiến các ống ngà lộ ra và nhạy cảm với các tác nhân khác. Khoảng 20% khách hàng cảm thấy ê buốt nhẹ trong 24 - 48 giờ đầu tiên. Đây là phản ứng tự nhiên của mô răng với chất gắn. Tuy nhiên, nếu tình trạng này kéo dài trên 1 tuần thì đó là dấu hiệu cảnh báo sai sót kỹ thuật cần được can thiệp y khoa ngay lập tức. 

Nếu răng bị ê buốt kéo dài thì khách hàng phải tới ngay nha khoa để bác sĩ kiểm tra và xử lý

Khách hàng cũng có thể gặp tình trạng này do 2 nguyên nhân: 

- Sai lệch khớp cắn - chiếm khoảng 30% các trường hợp đau nhức sau sứ. Nếu mão sứ được chế tác cao hơn răng thật dù chỉ 0.1 mm, lực nhai sẽ dồn cục bộ vào trụ răng này, gây áp lực lên dây chằng quanh răng và dẫn đến cảm giác ê buốt mỗi khi ăn nhai.

- Sử dụng vật liệu gắn không đảm bảo chất lượng, sử dụng axit xói mòn quá lâu có thể gây kích ứng hóa học. 

- Thao tác sai kỹ thuật khiến đường hoàn tất bị hở dù chỉ vài micromet, vi khuẩn và thực phẩm sẽ lọt vào, gây sâu răng tái phát và ê buốt buốt kinh niên.

Vì thế, việc bác sĩ mài răng đúng chỉ định, đúng kỹ thuật là yếu tố then chốt giúp ngăn ngừa nguy cơ ê buốt. Khách hàng nên lựa chọn các nha khoa uy tín để được bác sĩ có chuyên môn cao trực tiếp thăm khám và điều trị. 

Viêm lợi, lợi chuyển màu thâm đen, mất thẩm mỹ 

Viêm lợi và đổi màu nướu sau khi dán sứ cũng bắt nguồn từ vi phạm khoảng sinh học. Biến chứng này không thể tự hồi phục nếu không có sự can thiệp chuyên sâu như phẫu thuật làm dài thân răng hoặc tái tạo phục hình để giải phóng áp lực lên khoảng sinh học.

Bọc răng sứ bị viêm lợi là vấn đề nhiều người gặp phải nhất 

Khi bác sĩ đặt đường hoàn tất của mặt dán sứ quá sâu, cơ thể sẽ kích hoạt phản ứng viêm mãn tính để cố gắng tái thiết lập không gian sinh học vốn có. Quá trình viêm khiến các mao quản giãn nở, gây ứ trệ tuần hoàn tại chỗ. Máu thiếu oxy tích tụ trong các tiểu tĩnh mạch khiến nướu chuyển từ màu hồng khỏe mạnh sang sắc đỏ sẫm hoặc thâm tím. 

Sự đổi màu nướu này còn liên quan đến hiện tượng thoát quản của các tế bào hồng cầu và sự lắng đọng sắc tố trong mô liên kết dưới tác động của vi khuẩn kỵ khí tại các kẽ hở đường viền. Nếu khoảng hở tại đường hoàn tất vượt quá ngưỡng 120µm, nguy cơ viêm nướu và tụt lợi sẽ tăng lên đáng kể do sự tích tụ mảng bám không thể làm sạch bằng phương pháp thông thường. 

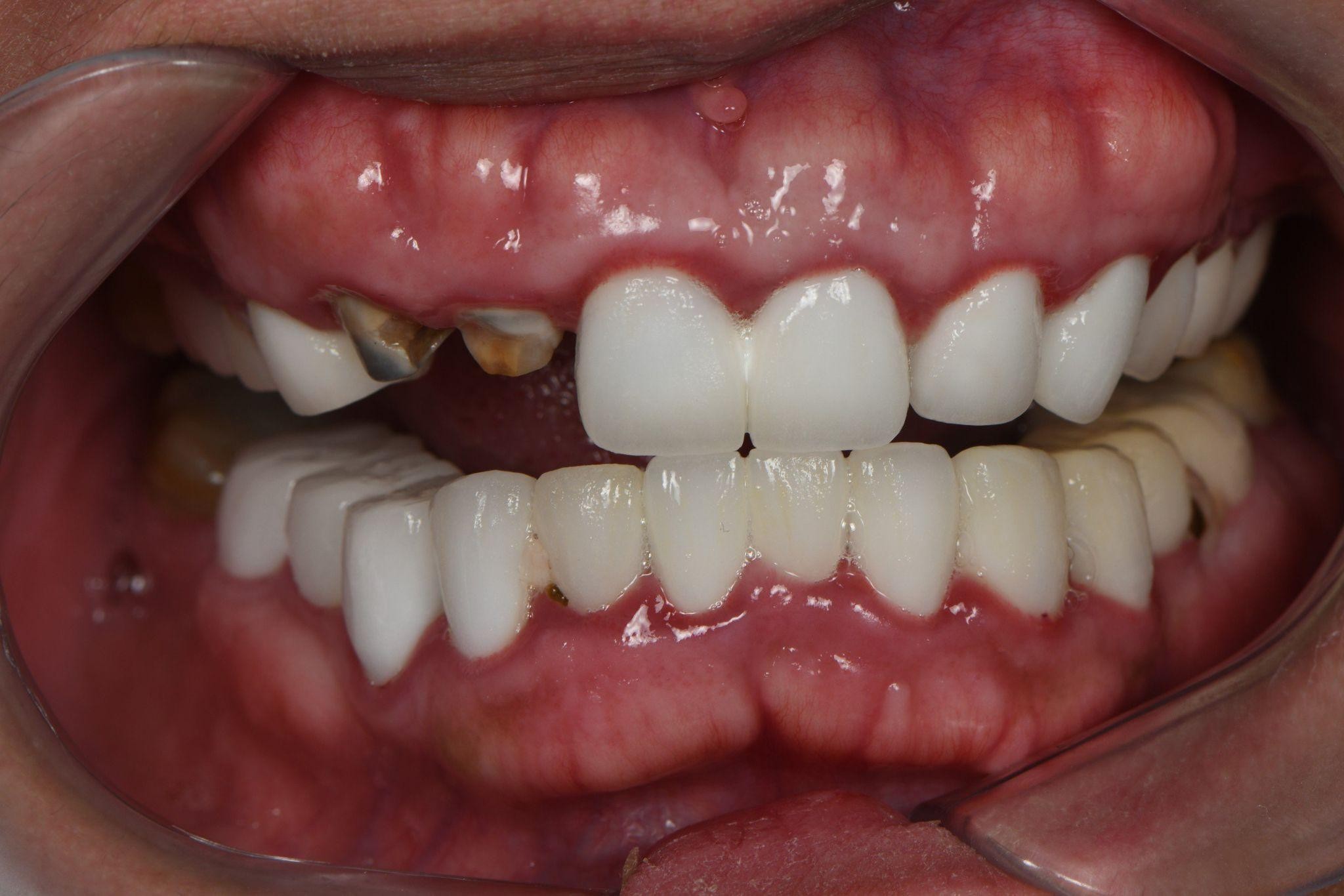
Nướu cũng có thể thâm đen do sử dụng răng sứ lõi kim loại hoặc răng sứ kém chất lượng. Hiện tượng này trong y khoa gọi là sự nhiễm sắc nướu do kim loại, và theo các thống kê lâm sàng, có tới hơn 60% trường hợp sử dụng sứ kim loại gặp phải tình trạng đen viền nướu sau 3 đến 5 năm sử dụng.

Hôi miệng sau khi làm răng sứ

Hôi miệng sau khi làm răng sứ thực chất là hệ quả của quá trình phân hủy hữu cơ do vi khuẩn kỵ khí tích tụ tại các "điểm mù" kỹ thuật. Nguyên nhân phổ biến nhất là sự hiện diện của các khoảng hở tại đường hoàn tất hoặc phục hình dư rìa. 

Hở đường hoàn tất trên nướu hoặc dưới nướu đều có thể gây hôi miệng

Khi răng sứ không khít sát tuyệt đối với cùi răng thật, các vụn thức ăn và dịch tiết nướu sẽ lọt vào khe hở này. Với kích thước vi khuẩn chỉ khoảng 1 - 10µm, chúng dễ dàng xâm nhập và thiết lập các ổ vi khuẩn mà bàn chải hay chỉ nha khoa thông thường không thể tiếp cận. Tại đây, vi khuẩn giải phóng các hợp chất lưu huỳnh dễ bay hơi, tạo ra mùi hôi đặc trưng. Nhiều người thường mô tả đây là mùi kim loại hoặc mùi thực phẩm phân hủy.

Thêm vào đó, việc thiết kế hình thể răng sứ không đúng hình thể giải phẫu sẽ làm mất đi cơ chế tự làm sạch tự nhiên của mô lợi, gây ra tình trạng giắt thức ăn mãn tính. Để giải quyết triệt để, bác sĩ cần sử dụng chỉ báo hoặc X-quang cánh chọc để kiểm tra độ khít sát và tiến hành thay thế phục hình nếu phát hiện lỗi cơ học tại đường viền.

Vẻ đẹp "giả trân" và sự hụt hẫng về thẩm mỹ

Sự hối hận vì làm răng sứ đôi khi đến từ chính mục đích ban đầu: làm răng sứ để răng trắng và đẹp hơn. Không ít người phải nhận về một hàm răng trắng sáng quá mức so với tông da, hình dáng răng to thô, không phù hợp với cấu trúc gương mặt, tạo cảm giác "như lắp răng giả". 

Răng sứ có màu trắng đục mất thẩm mỹ

Đặc biệt, các loại sứ rẻ tiền chứa kim loại sẽ nhanh chóng bị oxy hóa, để lại viền đen mất thẩm mỹ ngay nướu chỉ sau một thời gian ngắn sử dụng. Khi sự hào nhoáng ban đầu qua đi, họ nhận ra nụ cười của mình đã mất đi vẻ tự nhiên vốn có, thay vào đó là sự cứng nhắc và gượng gạo.

Mất cảm giác ăn nhai tự nhiên

Nếu làm răng sứ đúng chỉ định, đúng kỹ thuật, sử dụng vật liệu cao cấp thì khách hàng hoàn toàn có thể ăn nhai thoải mái. Tuy nhiên, nếu làm răng sứ sai chỉ định hoặc sai kỹ thuật thì việc ăn uống có thể trở thành “ác mộng”. 

Một hàm răng sứ dù đắt tiền đến đâu cũng chỉ là vật liệu nhân tạo, hoàn toàn không có các dây thần kinh cảm biến như răng thật. Khách hàng thường cảm thấy hụt hẫng khi không còn cảm nhận rõ độ nóng, lạnh, hay độ giòn, dai của món ăn. Việc ăn uống trở nên kém thú vị, thậm chí phải kiêng khem đủ thứ vì sợ mẻ sứ, rơi mão răng. Sự bất tiện trong sinh hoạt hàng ngày này khiến nhiều người cảm thấy bị gò bó, không còn được tận hưởng cuộc sống một cách trọn vẹn.

Vòng xoáy tốn kém và hệ lụy tài chính lâu dài

Làm răng sứ không phải là kết thúc, mà thường là khởi đầu cho một chu kỳ bảo trì tốn kém. Nếu được làm răng sứ tại nha khoa uy tín, kết hợp với chăm sóc tốt, răng sứ có thể bền tới 15 - 20 năm hoặc lâu hơn mới cần phải làm lại. Trong thời gian đó, khách hàng chỉ cần kiểm tra định kỳ và tuân thủ các chỉ định của bác sĩ. 

Khách hàng làm răng sứ nên xác định sẽ tốn kém về chi phí 

Nhưng khách hàng cũng cần phải xác định rằng sẽ cần phải thay thế răng sứ trong tương lai. Chưa kể, nhiều người làm răng sứ tại các cơ sở không uy tín, phải làm đi làm lại nhiều lần hoặc khắc phục các biến chứng viêm lợi, viêm tủy, thậm chí là cấy ghép implant để thay thế cho các cùi răng hư hỏng nặng. Cái giá để duy trì nụ cười này có thể trở thành một gánh nặng tài chính trong tương lai. 

Giải pháp từ Nha khoa Lạc Việt Intech 

Để ngăn ngừa các biến chứng và giúp khách hàng không hối hận vì làm răng sứ, Nha khoa Lạc Việt Intech áp dụng quy trình kiểm soát chất lượng nghiêm ngặt, tập trung vào 4 trụ cột chính nhằm đảm bảo tính bền vững và an toàn cho bệnh nhân.

Khám chi tiết, lên kế hoạch điều trị chính xác 

Trước khi tiến hành bất cứ thao tác điều trị nào, khách hàng cũng sẽ được chụp phim x-quang, scan mẫu hàm và thăm khám lâm sàng cùng bác sĩ. Đây là "màng lọc" quan trọng nhất để loại bỏ rủi ro. Nếu nền tảng nha chu không đảm bảo, sai lệch khớp cắn hoặc không gian cho phục hình, bác sĩ sẵn sàng từ chối thực hiện dán sứ để bảo vệ sức khỏe lâu dài cho khách hàng.                          
Khách hàng được bác sĩ khám và tầm soát các vấn đề về răng miệng trước khi 

Sau đó, khách hàng được lên kế hoạch điều trị chính xác trên phần mềm DSD để đảm bảo dáng răng và màu sắc hài hòa với tổng thể khuôn mặt, màu da và các giác quan khác. Nếu khách hàng đồng ý với kế hoạch điều trị, bác sĩ sẽ tiến hành các bước tiếp theo để có mẫu mockup cho khách hàng xem trước kết quả. 

Bác sĩ giỏi trực tiếp điều trị, thao tác đúng kỹ thuật 

Yếu tố bác sĩ giỏi và thao tác chuẩn kỹ thuật được xem là điều kiện tiên quyết để triệt tiêu biến chứng. Tất cả các bác sĩ phụ trách phục hình thẩm mỹ tại Lạc Việt Intech đều tốt nghiệp bác sĩ răng hàm mặt tại các trường đại học y danh tiếng trong và ngoài nước, được đào tạo chuyên sâu về phục hình thẩm mỹ và có chứng chỉ hành nghề đúng theo tiêu chuẩn của Bộ Y tế. Do đó, các bác sĩ sẽ có đầy đủ kiến thức và kinh nghiệm để đảm bảo an toàn, chính xác trong quá trình điều trị. 

Thực tế lâm sàng cho thấy, tỷ lệ thành công của các ca dán sứ phụ thuộc đến 70% vào kỹ năng lâm sàng của bác sĩ, đảm bảo phục hình không chỉ đẹp mà còn tương hợp hoàn hảo với hệ thống sinh học của cơ thể. 

Khách hàng làm răng sứ tại Lạc Việt Intech được các bác sĩ giỏi trực tiếp thăm khám và điều trị

Với các ca gặp biến chứng do bọc răng sứ hỏng ở các cơ sở nha khoa khác, bác sĩ cũng sẽ có những chỉ định phù hợp. Trước tiên, các vấn đề như viêm lợi, viêm nha chu sẽ được xử lý triệt để. Sau đó, bác sĩ sẽ kiểm tra tình trạng mô răng còn lại. Nếu mô răng còn khỏe và ổn định, bác sĩ sẽ thiết kế mão sứ/mặt dán sứ mới và phục hình lại. Nếu mô răng bị hư hỏng nặng và không thể tiếp tục bọc/dán, bác sĩ sẽ chỉ định nhổ bỏ và thay thế bằng răng implant. 

Sử dụng vật liệu chính hãng, công nghệ hiện đại 

Để khách hàng không hối hận vì làm răng sứ, Lạc Việt Intech sử dụng 100% sứ toàn phần chính hãng, chất lượng cao (như Emax, Lisi), có tính tương hợp sinh học cao và trơ trong môi trường miệng. Điều này loại bỏ nguy cơ oxy hóa gây đen viền nướu vốn thường gặp ở sứ kim loại. Hiệu quả vật liệu được tối ưu hóa bằng công nghệ CAD/CAM kỹ thuật số. 

Lạc Việt Intech sử dụng vật liệu chính hãng, công nghệ hiện đại 

Thay vì lấy dấu thủ công, hệ thống scan 3D, 5D ghi lại hình thể cùi răng chính xác tuyệt đối, giúp máy phay chế tác răng sứ có độ khít sát cực cao. Điều này góp phần triệt tiêu các "bẫy" vi khuẩn, từ đó phòng ngừa tình trạng hôi miệng và viêm lợi. 

Chính sách chăm sóc toàn diện, bảo hành dài hạn 

Trước, trong và sau khi điều trị, khách hàng đều được chụp phim và thăm khám miễn phí. Sau khi phục hình răng sứ, khách hàng cũng được nha khoa tặng bộ dụng cụ chăm sóc răng miệng chuyên dụng để  vệ sinh tại nhà thuận tiện hơn. Những khách hàng tuân thủ lịch tái khám và chăm sóc răng miệng đúng cách có tỷ lệ duy trì độ bóng của sứ và sức khỏe nướu đạt 99.5% sau 5 năm.

Chế độ bảo hành dài hạn tại Lạc Việt Intech cũng là cam kết cho chất lượng của răng sứ. Không chỉ bảo hành về độ bền vật liệu, chính sách này còn bao hàm sự đảm bảo về sức khỏe mô mềm xung quanh răng. Với sự đồng hành sát sao từ đội ngũ bác sĩ, mọi biến động nhỏ của nướu hay khớp cắn đều được xử lý kịp thời, giúp kéo dài tuổi thọ phục hình, loại bỏ nỗi lo về các biến chứng muộn sau khi làm răng sứ. 

Lạc Việt Intech cam kết bảo hành dài hạn, đồng hành cùng khách hàng 

Sứ mệnh của Lạc Việt Intech là mang lại giá trị thực cho nụ cười, nơi cái đẹp luôn song hành cùng sự an toàn và hiệu quả bền vững. Bằng việc tuân thủ nghiêm ngặt các tiêu chuẩn về kỹ thuật, ứng dụng công nghệ hiện đại và lựa chọn vật liệu cao cấp, các bác sĩ sẽ giúp khách hàng sở hữu hàm răng chắc khỏe, tự nhiên như răng thật. Đầu tư đúng chỗ ngay từ đầu chính là cách duy nhất để quý khách hàng tự tin với quyết định của mình, thay vì phải gánh chịu những biến chứng đau đớn và cảm giác hối hận vì làm răng sứ tại những cơ sở kém chất lượng.

Chia sẻ

Tin cùng chủ đề

Đối tác của Nha khoa lạc việt intech

dentsplysirona
Ecligner
Straunman
Straunman
Invisalign
Swiss Dental Care
test1
Osstem Implant
Hotline Chat ngay Messenger Liên hệ Zalo