Tư Vấn Chuyên Môn
BS. Nguyễn Gia Bảo
Bác sĩ
Đằng sau những quảng cáo hào nhoáng về một hàm răng trắng đều chỉ sau 2 lần hẹn có thể là những góc khuất mà không phải ai cũng sẵn sàng chia sẻ. Thực tế, dán sứ veneer không hề xấu và có thể mang lại hiệu quả tích cực.
Vì sao vẫn có những tác hại của dán sứ veneer?
Nhưng khoảng cách giữa một tác phẩm nghệ thuật nha khoa và một biến chứng lâm sàng đôi khi chỉ nằm ở 0.1mm sai lệch do đôi tay bác sĩ hoặc do các nguyên nhân sau đây:
- Dán sứ veneer sai chỉ định;
- Bác sĩ thực hiện không đúng kỹ thuật;
- Sử dụng mặt sứ kém chất lượng;
- Chăm sóc và vệ sinh tại nhà không đúng cách.
Nha khoa Lạc Việt Intech sẽ giúp bạn bóc tách sự thật về các tác hại của dán sứ Veneer thường gặp nhất. Hiểu rõ những rủi ro này không phải để sợ hãi, mà để quý khách hàng có cái nhìn toàn diện, lựa chọn đúng phương pháp và đúng chuyên gia để thực hiện dán sứ veneer bền đẹp, không biến chứng.
Xem thêm: Laminate Veneer sinh học là gì? Vì Sao Bền Đẹp Và Ít Biến Chứng
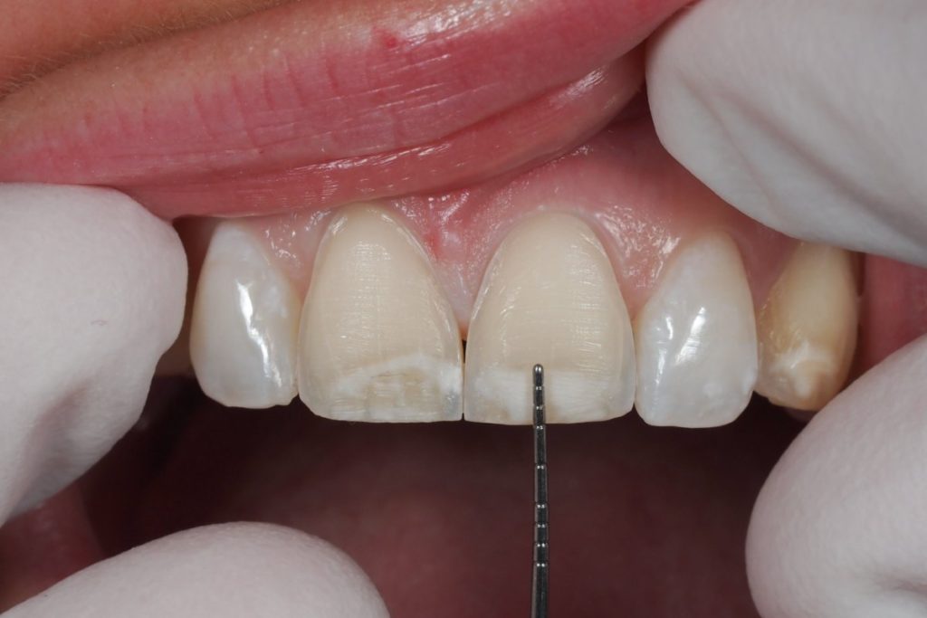
Tại sao khi ta làm mặt dán sứ veneer dù can thiệp tối thiểu nhưng sau khi dán khách hàng vẫn bị ê buốt kéo dài? Có 3 nguyên nhân gây ê buốt trong và sau dán sứ mà khách hàng cần lưu ý như sau:
Khi sửa soạn răng để dán sứ veneer, bác sĩ chỉ được mài 0.3 - 0.5mm. Để làm được điều này thì bác sĩ phải khéo tay và nếu làm đúng thì không cần tiêm tê.
Men răng chỉ được mài một lớp rất mỏng, có thể không cần gây tê nếu làm đúng kỹ thuật
Ngược lại, nếu mài quá tiêu chuẩn này dẫn đến lộ ngà, nguy cơ kích ứng tủy là hiện hữu. Đồng thời, đây cũng là bước “mở đường” cho vi khuẩn xâm nhập vào tủy răng qua các ống ngà hở.
Do đó, tay nghề của bác sĩ điều trị sẽ là yếu tố quyết định giới hạn sinh tồn của chiếc răng thật sau phục hình. Một bác sĩ giỏi không chỉ sở hữu đôi tay khéo léo để kiểm soát mũi khoan ở độ sâu vi thể mà còn phải có tư duy bảo tồn nghiêm ngặt.
Các bác sĩ tại Lạc Việt Intech đã phải từ chối không ít yêu cầu dán sứ từ khách hàng. Lý do là răng quá khấp khểnh hoặc sai lệch khớp cắn nghiêm trọng. Nếu cố chấp mài răng thì sẽ phải mài lượng lớn mô răng, có thể xâm vào ngà răng hoặc nghiêm trọng hơn là phải điều trị tủy.
Để tối ưu hóa độ bám dính, bác sĩ cần xói mòn (Etching) bằng Acid Phosphoric 35% và thổi cát. Nếu lớp men bị mài mòn quá mức hoặc mất hoàn toàn, các ống ngà sẽ bị lộ ra. Khi đó, tác động từ hơi, nhiệt và hóa chất trong quá trình dán sẽ truyền trực tiếp qua ống ngà gây kích thích tủy răng mạnh mẽ.
Ê buốt là tác hại của dán sứ veneer sai kỹ thuật. Về mặt lâm sàng, nếu bác sĩ tuân thủ đúng chỉ định và làm chủ kỹ thuật, bệnh nhân hoàn toàn không có cảm giác ê buốt sau khi dán sứ.
Ê buốt là tác hại của dán sứ veneer sai kỹ thuật
Tuy nhiên, nếu lớp men bị mài quá mức dẫn đến lộ ngà, nguy cơ ê buốt kéo dài sẽ xuất hiện do hai nguyên nhân cốt lõi sau:
- Kích ứng Acid Phosphoric trong ống ngà: Trong quá trình xói mòn để tạo độ bám dính, nếu ngà răng bị lộ, một lượng nhỏ acid có thể xâm nhập vào các ống ngà. Nếu không loại bỏ sạch hoàn toàn dư lượng này, tủy răng sẽ bị kích ứng gây ê buốt. Tình trạng này là tạm thời và sẽ biến mất sau 2 - 4 tuần khi cơ thể tự trung hòa hết lượng acid.
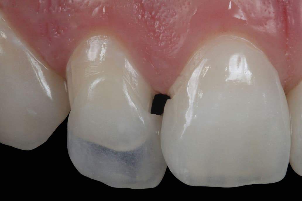
- Hở đường hoàn tất: biến chứng cơ học nghiêm trọng khi mặt sứ không khít sát với răng thật. Lúc này, lớp ngà không được che phủ kín tiếp xúc trực tiếp với môi trường miệng. Khách hàng sẽ cảm thấy ê buốt mỗi khi có kích thích nhiệt (nóng/lạnh) hoặc hóa học (chua/ngọt). Khác với kích ứng acid, biến chứng này không thể tự khỏi mà bắt buộc phải tháo bỏ mặt sứ cũ để phục hình lại một cách chính xác.
Sự thoải mái, không ê buốt sau điều trị chính là tiêu chuẩn vàng để khẳng định một ca dán sứ Veneer được thực hiện đúng chỉ định và chuẩn kỹ thuật. Nếu bị ê buốt, khách hàng cần thông báo ngay cho bác sĩ để xác định nguyên nhân và khắc phục kịp thời.
Nếu ê buốt là phép thử tức thì cho tay nghề bác sĩ, thì sự ổn định của nướu và tổ chức nha chu chính là chứng thực rõ nhất cho giá trị bền vững của một ca dán sứ. Độ bền của mặt dán và sức khỏe của nha chu sẽ phụ thuộc cả vào kỹ thuật của bác sĩ và sự chăm sóc tại nhà của khách hàng.
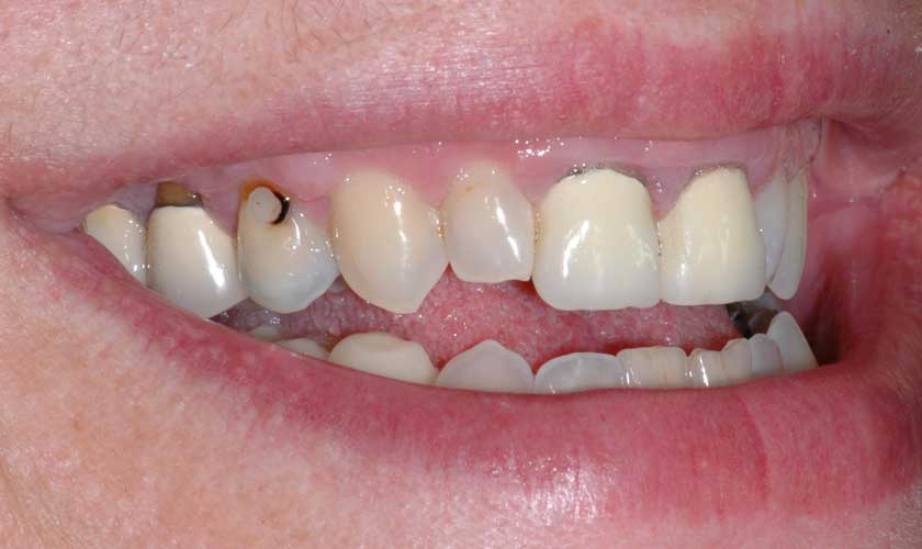
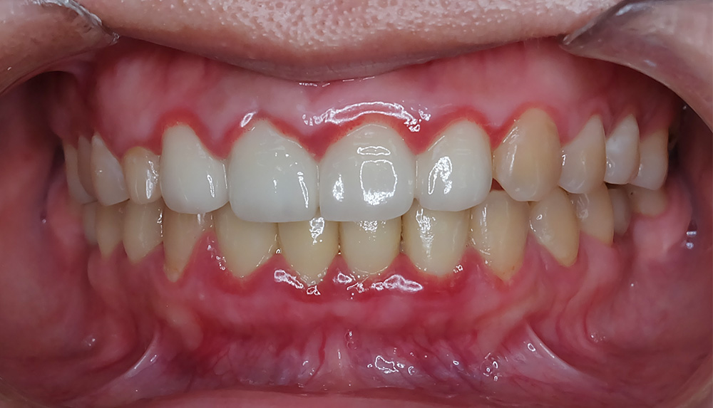
Viêm nướu, viêm nha chu là 2 tác hại của dán sứ veneer thường gặp nhất. Viêm nhiễm xảy ra khi các tiêu chuẩn cơ sinh học bị vi phạm trong quá trình xâm lấn và phục hình.
Viêm lợi sau khi dán răng sứ xảy ra do nguyên nhân từ phía bác sĩ và khách hàng
Nguyên nhân làm tăng nguy cơ viêm nhiễm bao gồm:
- Nếu mài hoặc đặt rìa Veneer sâu quá 2.04 mm tính từ đáy rãnh lợi đến mào xương ổ răng, cơ thể sẽ phản ứng bằng cách viêm tấy đỏ rực để "đẩy" vật thể lạ ra. Kết quả là viêm lợi mãn tính, túi nha chu hình thành và tiêu xương.
- Khi mặt dán sứ được gắn không chuẩn xác về mặt cơ học, nó tạo ra các "điểm chạm sớm". Lực nhai sẽ bị dồn vào một vài điểm, áp lực này truyền xuống dây chằng nha chu, gây ra tình trạng "viêm nha chu do chấn thương".
- Sai số đường viền >100μm tạo khe hở tích tụ vi khuẩn yếm khí, gây viêm lợi tại chỗ do khách hàng không thể làm sạch bằng các dụng cụ vệ sinh răng miệng thông thường.
- Cement dư thừa không được làm sạch sẽ đông cứng khi gặp nước bọt. Khối cement cứng này đóng vai trò như vôi răng nhân tạo, gây kích ứng mô mềm liên tục và gây viêm.
Thực tế, viêm nướu và viêm nha chu sau phục hình không phải là tác hại của dán sứ. Đó là dấu hiệu lâm sàng xác nhận sự vi phạm các nguyên tắc cơ sinh học và kỹ thuật kiểm soát mô mềm của bác sĩ.
Ngay cả khi kỹ thuật lâm sàng chuẩn xác, bệnh lý vẫn phát sinh nếu hàng rào bảo vệ sinh học bị phá vỡ do thói quen xấu của khách hàng:
- Không sử dụng chỉ nha khoa hoặc máy tăm nước tại vị trí đường viền nướu. Vi khuẩn tích tụ tại rãnh lợi gây viêm nướu cấp tính, sau đó tiến triển thành viêm nha chu.
- Nghiến răng hoặc nhai vật cứng làm phát sinh các vi nứt gãy tại liên kết giữa răng thật và mặt sứ, tạo đường dò cho vi khuẩn xâm nhập vào ngà răng.
- Không lấy cao răng và kiểm tra khớp cắn định kỳ. Các sai lệch nhỏ về khớp cắn (do quá trình mòn tự nhiên) không được điều chỉnh kịp thời dẫn đến tổn thương tổ chức quanh răng.
- Các yếu tố như hút thuốc lá hoặc tiểu đường không được kiểm soát làm suy giảm khả năng miễn dịch của mô nướu, đẩy nhanh tốc độ tiêu xương khi có kích ứng nhẹ từ phục hình.
Veneer dù cao cấp đến đâu cũng chỉ là một lớp bảo vệ nhân tạo. Nếu khách hàng coi dán sứ là "kết thúc" thay vì "bắt đầu" một quy trình chăm sóc mới, hệ quả sẽ đến rất nhanh.
Xem thêm: Dán sứ veneer giá bao nhiêu? Bảng giá chi tiết đính kèm 10 dịch vụ miễn phí tại Lạc Việt Intech
Không chỉ là tác hại của dán sứ veneer, bong vỡ sứ là một nỗi lo thường trực của tất cả những người phục hình răng sứ nói chung. Xét riêng về veneer, sự liên kết giữa mặt dán sứ và răng thật là một quá trình dán dính hóa học phức tạp, không phải là sự lưu giữ cơ học đơn thuần.
Bong vỡ sứ là một nỗi lo thường trực của tất cả những người phục hình răng sứ nói chung
Mặt dán sứ veneer xảy ra do:
- Xử lý bề mặt sứ và bề mặt răng không được xử lý đúng kỹ thuật.
- Sử dụng vật liệu dán dính kém chất lượng, có độ co ngót cao hoặc khả năng xuyên thấu kém.
- Sai sót trong kỹ thuật quang trùng hợp, sử dụng đèn trám có cường độ sáng yếu hoặc thời gian chiếu đèn không đủ.
Ngoài ra, mặt dán sứ veneer cũng có thể bong vỡ do các nguyên nhân từ phía khách hàng:
- Ăn thức ăn quá dai hoặc quá cứng, quá khả năng chịu lực của mặt dán sứ.
- Gặp các chấn thương do tác động ngoại lực (tai nạn).
- Sử dụng bàn chải lông cứng hoặc kem đánh răng có độ mài mòn cao (RDA > 100) có thể làm mòn lớp keo dán tại đường viền nướu.
Bong vỡ Veneer sứ là chỉ dấu lâm sàng xác nhận sự thất bại trong việc kiểm soát các biến số hóa - lý của vật liệu dán dính và kỹ thuật phục hình của bác sĩ. Đồng thời, đây cũng là hệ quả của việc không tuân thủ chỉ định của bác sĩ trong quá trình ăn nhai và chăm sóc tại nhà.
Bản chất dán sứ Veneer không gây hôi miệng vì các dòng sứ thủy tinh cao cấp có tính trơ sinh học, kháng mảng bám và không hấp thụ nước. Tình trạng hôi miệng sau khi dán sứ veneer thực chất là "biến chứng kỹ thuật" hoặc do vệ sinh kém.
Nguyên nhân hôi miệng chủ yếu là do hở đường hoàn tất răng sứ
3 nguyên nhân gây hôi miệng sau khi dán răng sứ gồm có:
- Sai sót do bác sĩ mài hoặc lấy dấu sai, tạo khoảng hở viền >100μm. Các "bậc thang" này tích tụ thức ăn, tạo môi trường yếm khí cho vi khuẩn phân hủy protein và giải phóng các hợp chất lưu huỳnh gây mùi.
- Khách hàng vệ sinh không đúng cách khiến màng biofilm hình thành tại đường hoàn tất. Nếu không loại bỏ cơ học bằng chỉ nha khoa/máy tăm nước, vi khuẩn Gram âm sẽ khu trú và gây mùi. Ngoài ra, các bệnh lý nền (trào ngược, sâu răng, …) hoặc thực phẩm nặng mùi cũng là tác nhân cộng hưởng.
- Vật liệu kém chất lượng: Sứ rẻ tiền có cấu trúc vi thể rỗng, độ đặc khít thấp do pha tạp chất, tạo ra các "hố" trú ngụ cho vi khuẩn kỵ khí.
Tại các cơ sở uy tín như Lạc Việt Intech, việc sử dụng sứ hệ tinh thể đồng nhất kết hợp kỹ thuật chế tác chính xác là giải pháp triệt để ngăn chặn các tác hại của dán sứ veneer.
Sâu răng thứ phát là hệ quả của hiện tượng vi rò khi hàng rào dán dính bị phá vỡ. Quá trình này khởi phát khi sai số đường viền giữa sứ và răng thật vượt quá ngưỡng cho phép 120μm, tạo điều kiện cho vi khuẩn xâm nhập. Tại các khe hở này, vi khuẩn chuyển hóa carbohydrate thành axit, làm giảm độ pH xuống dưới mức 5.5, dẫn đến khử khoáng men răng âm thầm bên dưới lớp phục hình.
Sự thoái hóa của hệ thống chất gắn cũng là tác nhân cốt lõi gây sâu răng thứ phát. Nếu quy trình dán dính không đạt cường độ lực trên 20 MPa hoặc cement có độ hòa tan cao, các ống ngà sẽ bị lộ ra trước các kích thích hóa học. Do mặt dán sứ có tính trơ và che phủ bề mặt ngoài, các lỗ sâu thường không thể quan sát bằng mắt thường và chỉ được phát hiện qua phim X-quang khi thương tổn đã lan rộng đến ngà răng hoặc gây viêm tủy ngược dòng.
Sâu răng thứ phát là hệ quả của hiện tượng vi rò khi hàng rào dán dính bị phá vỡ
Để ngăn ngừa biến chứng này, kỹ thuật chế tác CAD/CAM cần đảm bảo chính xác tuyệt đối. Khách hàng cũng phải vệ sinh răng miệng đúng cách bằng các dụng cụ chuyên dụng để kiểm soát chỉ số mảng bám ở mức thấp, duy trì tính vẹn toàn của đường hoàn tất.
Để dán veneer an toàn và bền lâu, khách hàng cần chủ động phòng ngừa rủi ro ngay từ đầu bằng những giải pháp sau:
Việc lựa chọn nha khoa, lựa chọn bác sĩ là yếu tố tiên quyết ảnh hưởng trực tiếp tới chất lượng của 1 ca dán sứ veneer. Một bác sĩ giỏi không chỉ kiến tạo nụ cười đẹp mà còn trực tiếp ngăn chặn những tác hại của dán sứ veneer thường gặp, giúp răng sứ đẹp bền vững.
Lạc Việt Intech hội tụ đầy đủ các yếu tố để trở thành một nha khoa uy tín, chuyên sâu về dán sứ veneer
Tại Lạc Việt Intech, chất lượng của một ca dán sứ Veneer được kiểm soát khắt khe dựa trên các nền tảng khoa học cụ thể sau:
- Bác sĩ giỏi phải trực tiếp thăm khám, điều trị và đồng hành lâu dài cùng khách hàng. 100% bác sĩ dán sứ veneer đều tốt nghiệp bác sĩ răng hàm mặt tại các trường y danh tiếng và được đào tạo chuyên sâu về phục hình thẩm mỹ. Các bác sĩ cũng liên tục trau dồi kiến thức và kinh nghiệm trong quá trình công tác.
- Sử dụng các thiết bị, công nghệ hiện đại trong quá trình khám và điều trị.
- Mặt dán sứ được thiết kế và chế tác bằng hệ thống CAD/CAM. Kỹ thuật này duy trì sai số đường viền dưới 50μm, đạt chuẩn tuyệt đối về mặt sinh học, giúp nướu luôn hồng hào và không bị kích ứng viêm mạn tính.
- Cam kết chỉ sử dụng sứ cao cấp nhập khẩu trực tiếp từ Đức và Nhật Bản, KHÔNG dùng sứ kém chất lượng.
Nha khoa Lạc Việt Intech cũng cam kết không phát sinh bất cứ chi phí nào để khách hàng yên tâm điều trị.
Để quá trình vệ sinh răng miệng thuận tiện, Nha khoa Lạc Việt Intech tặng kèm máy tăm nước, tăm chỉ nha khoa, … và hướng dẫn chi tiết cách sử dụng cho quý khách hàng.
Việc tái khám định kỳ 6 tháng/lần sẽ là bước "kiểm định" kỹ thuật bắt buộc. Bác sĩ sẽ sử dụng các thiết bị chuyên dụng để kiểm tra độ sát khít viền sứ và các điểm chạm sớm phát sinh do quá trình dịch chuyển răng tự nhiên. Việc điều chỉnh khớp cắn kịp thời giúp triệt tiêu các lực xé (shear stress) lên mặt dán, ngăn ngừa tình trạng mỏi vật liệu gây nứt vỡ.
Đối với người có thói quen nghiến răng, việc đeo máng chống nghiến là giải pháp cơ học quan trọng để duy trì cường độ dán dính trên 25 MPa, đảm bảo nụ cười dán sứ bền vững và khỏe mạnh trên 20 năm.
Khách hàng hài lòng khi dán sứ veneer tại Lạc Việt Intech
Một ca phục hình thất bại không chỉ gây viêm nhiễm hệ thống nha chu mà còn làm tổn thương cấu trúc răng thật không thể phục hồi do sai sót trong quá trình xâm lấn và dán dính. Việc nhận diện sớm các tác hại của dán sứ veneer giúp khách hàng chủ động lựa chọn những cơ sở nha khoa uy tín, đảm bảo chất lượng và hiệu quả. Liên hệ ngay với chuyên gia tại Lạc Việt Intech để được phân tích chuyên sâu về tình trạng răng miệng và nhận phác đồ dán sứ an toàn tuyệt đối!
Tin cùng chủ đề
Câu hỏi liên quan
Tin tức nổi bật
28/04/2026
Đăng ký tư vấn
Đối tác của Nha khoa lạc việt intech