Về vai trò, mỗi một bộ phận trên răng implant sẽ đảm nhận các vai trò khác nhau và quan trọng như nhau, chỉ cần 1 trong 3 bộ phận trên không tốt sẽ khiến cho chức năng ăn nhai, thẩm mỹ và tuổi thọ của răng implant bị ảnh hưởng.

Một chiếc răng implant lý tưởng gồm: Răng toàn sứ full zirconia đa lớp, trụ phục hình giải phẫu cá nhân hóa zirconia, trụ implant bề mặt SLActive hoặc ái sinh học
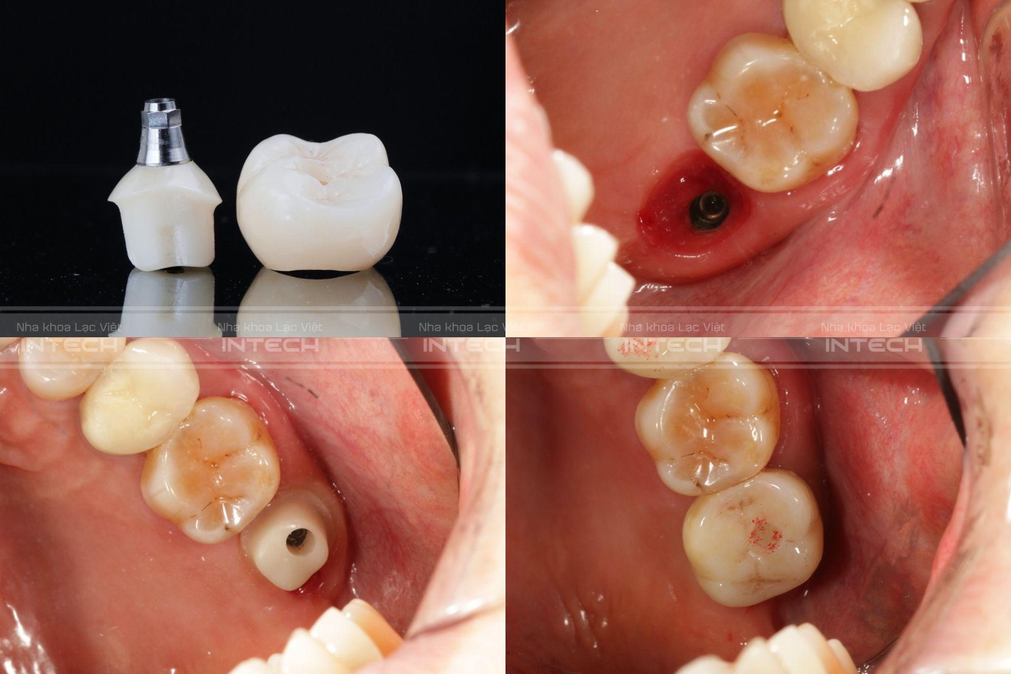
Trụ phục hình, từ chuyên ngành gọi là Abutment, là bộ phận nằm giữa răng sứ và chân răng nhân tạo.
Về cấu tạo, trụ phục hình gồm 2 phần: một phần nằm trong lợi gọi là bệ trụ phục hình, phần này nằm sâu trong lợi, bắt đầu từ cổ implant tới bờ lợi. Một phần nhô ra khỏi lợi, là nơi để răng sứ bám vào gọi là phần trụ kết nối.
Trụ phục hình gồm 2 phần: phần nằm trong lợi, có vai trò định hình và tái lập sinh học lợi. Phần nhô ra khỏi lợi gọi là trụ kết nối, dùng để gắn răng sứ.
Trụ phục hình được coi là thành phần quan trọng nhất trong việc tái lập thẩm mỹ và cảm biến thức ăn đối với răng implant. Nó có 4 vai trò quan trọng sau:
Phần trong lợi của trụ phục hình có vai trò tạo lập hình thể lợi của răng implant, đồng thời nó cũng quyết định tới màu sắc tự nhiên của lợi, cũng như màu sắc tự nhiên của răng sứ gắn lên. Trụ phục hình là yếu tố quan trọng nhất quyết định tới tính thẩm mỹ của một chiếc răng implant.

Hình ảnh trụ phục hình bán sẵn và giải phẫu cá nhân hòa bằng zirconia.
Phần trong lợi của trụ phục hình có vai trò kết dính trực tiếp với mô lợi, nhằm mục đích tạo lập một hàng rào sinh học (gọi là khoảng sinh học) ngăn không cho vi khuẩn, thức ăn, nước bọt, … từ môi trường miệng xâm nhập xuống chân implant phía dưới, từ đó đảm bảo an toàn cho chân răng implant.

Khi lựa chọn trụ phục hình tốt, nó sẽ liên kết với lợi thành một khối thống nhất, tạo ra hàng rào sinh học bảo vệ implant phía dưới.
Phần trong lợi của trụ phục hình kết nối trực tiếp với mô lợi bằng bám dính bò hoặc bám dính biểu mô, từ đó truyền thụ các cảm giác nhai, một phần cảm nhận vị giác và áp lực thức ăn lên mô lợi. Trụ phục hình là bộ phận duy nhất trên răng implant tham gia vào/ có vai trò cảm thụ và cảm biến thức ăn.
Trụ phục hình là phần kết nối giữa chân implant trong xương và răng sứ trong khoang miệng, khi răng implant thực hiện chức năng nhai nghiền, lực nhai từ răng sứ được truyền thụ qua trụ phục hình qua chân răng implant, sau đó hấp thụ và phân tán vào các thớ xương (bè havers) trong xương hàm.
Một trụ phục hình được gọi là lý tưởng, khi nó đáp ứng đủ cả 5 tiêu chí sau:
Dựa trên 5 tiêu chí trên, trụ abutment được chia thành thế hệ với 4 loại sau (trong khuôn khổ bài viết này, chúng tôi không đề cập tới những trụ phục hình kém chất lượng có giá thành rẻ như Abutment Stock Tungsten, Abutment Screw Co - Cr).
Ngoài ra, mỗi loại trụ Implant sẽ có mức giá khác nhau, nếu cô chú/anh chị đang tìm hiểu về vấn đề này, có thể xem ngay bài viết "cắm Implant giá bao nhiêu" để biết thêm chi tiết.

Trụ phục hình gồm có 4 thế hệ với chất lượng và giá cả khác nhau.
>>> Xem thêm: Các tiêu chí lý tưởng của một trụ phục hình.
Đây là các loại trụ phục hình được sản xuất hàng loạt, theo một hình dạng nhất định là hình tròn theo thiết diện cắt ngang và một vài kích thước thước nhất định. Thế hệ này gồm có 2 loại: trụ phục hình gắn xi măng (Due Abutment hoặc Stock Abutment) và trụ phục hình bắt vít (Screw Abutment hoặc Multi Unit).
Trụ phục hình gắn xi măng (Stock Abutment).
Stock Abutment là loại trụ phục hình cổ điển, ra đời cùng với sự ra đời của trụ implant, vì lý do giá thành, trụ phục hình gắn xi măng vẫn đang được áp dụng tại một số nước cho tới tận ngày nay.
Stock Abutment chỉ có một hình dạng duy nhất là hình tròn, tùy theo hãng implant mà có đường kính và chiều cao khác nhau, giao động từ 4,5mm đường kính đến 6,5mm đường kính. 5mm đến 7mm chiều cao. Trụ phục hình gắn xi măng được chế tác từ titanium theo công nghệ thiêu kết nóng chảy và đúc định hình.

Abutment Stock là loại trụ phục hình cổ điển có giá thành rẻ nhất.
Về cách thức liên kết với răng sứ, Stock Abutment được liên kết với răng sứ bằng một loại chất gắn vô cơ như Glasionomer hoặc Fritex.
Chính vì có một hình dạng duy nhất, chỉ một số đường kính và chiều cao hạn hẹp, được chế tác bằng công nghệ thiêu kết nóng chảy và liên kết với răng sứ bằng xi măng vô cơ, trụ phục hình gắn xi măng là loại trụ phục hình có nhiều nhược điểm:

Huyệt ổ răng và lợi quanh răng không có hình tròn, mà có hình thang, hình bình hành hoặc hình trứng.

Hình ảnh một cùi (thân) răng thật, nó có hình thang giống như lỗ lợi chuẩn. Như thế mới có thể tạo hình thẩm mỹ được lợi và tránh giắt thức ăn.

Trụ phục hình sản xuất sẵn bắt vít hoặc gắn xi măng chỉ có một dạng tròn duy nhất, nên không có khả năng tạo hình thẩm mỹ lợi.
Chính vì có nhiều nhược điểm, trụ phục hình gắn xi măng ngày càng ít được sử dụng, lý do duy nhất khiến các bác sĩ lựa chọn là vì giá thành loại này rất rẻ. Tuy nhiên, trên góc độ chuyên môn, trụ phục hình gắn xi măng chỉ được sử dụng để làm răng tạm, trong thời gian chờ phục hình sau cùng.
Trụ phục hình bắt vít (Screw Abutment).
Screw Abutment là loại trụ phục hình thế hệ thứ 2, được ra đời nhằm mục đích khắc phục một vài nhược điểm của Stock Abutment.
Screw Abutment cũng là loại trụ phục hình chế tác sẵn với cùng một công nghệ như Stock Abutment, chỉ có một hình dạng duy nhất là hình tròn, tuy nhiên loại này có đường kính bé hơn (chỉ có 2 loại 4,5mm và 5,5mm) và kích thước cũng ít hơn.
Điểm khác biệt duy nhất giữa Screw Abutment và Stock Abutment là răng sứ kết nối trên Screw Abutment bằng vít, do đó không cần dùng xi măng để gắn, tránh được tình trạng sót xi măng, bảo vệ được hàng rào sinh học, mặt khác răng sứ được kết nối bằng vít, nên có thể tháo ra sửa chữa nếu có trục trặc, Tuy nhiên, nó vẫn còn tồn đọng các nhược điểm sau.
Trên thực tế, Screw Abutment chỉ được sử dụng trong các trường hợp mất răng toàn hàm, là những trường hợp không cần phải tạo hình lợi, do đã sử dụng hàm Hybrid.
Đây là thế hệ trụ phục hình mới nhất, ra đời nhờ những cải tiến trong công nghệ chế tác vật liệu, công nghệ sản xuất CAD/CAM, và đặc biệt là công nghệ Scanning Oral.
Sự ra đời của Customized Abutment là một bước tiến dài của ngành implant nha khoa, đặc biệt, Customized Abutment Zirconia được coi là điểm nối cuối cùng, đưa răng implant chạm đến sự hoàn hảo.
Khác với thế hệ trụ phục hình sản xuất sẵn, Customized Abutment được sản xuất chính xác cho từng bệnh nhân và từng răng, với mong muốn tạo ra một “thân răng” có hình thể giống đúc thân răng thật, từ đó tái lập lại hình thể giải phẫu lợi lý tưởng.
Sau khi chân implant đã được cấy vào trong xương hàm, bác sĩ sử dụng công nghệ Scanning sao chép lại răng và lợi của bệnh nhân, sau đó chuyển toàn bộ dữ liệu này lên trung tâm sản xuất trụ phục hình. Tại đây, các bác sĩ sẽ tiến hành thiết kế và sản xuất ra một trụ phục hình giống như thân răng thật, theo đúng hình thể giải phẫu của lỗ lợi lý tưởng.
Dựa vào vật liệu sản xuất, Customized Abutment được chia thành 2 loại: Customized Abutment Titanium và Customized Abutment Zirconia.

Customized Abutment được chia thành 2 loại.
Customized Abutment Titanium: Trụ phục hình giải phẫu cá nhân hóa bằng titanium.
Được sản xuất từ titanium bằng công nghệ CAD/CAM, Customized Abutment Titanium có gần hết những thuộc tính của một trụ phục hình lý tưởng bao gồm:
Nó chỉ có một nhược điểm duy nhất, là có màu đen của titanium, do đó trong các trường hợp lợi mỏng, có thể gây ra đen viền lợi, ảnh hưởng tới thẩm mỹ.
Customized Abutment Zirconia: Trụ phục hình giải phẫu cá nhân hóa bằng zirconia.
Customized Abutment Zirconia được coi là điểm nối cuối cùng, đưa răng implant đạt tới sự hoàn hảo. Thay vì được sản xuất bằng titanium, nó được sản xuất bằng Zirconia để khắc phục nốt nhược điểm cuối cùng của Customized Abutment Titanium là đen đường viền lợi. Do được làm từ Zirconia, có màu trắng, nên Customized Abutment Zirconia không làm đen viền lợi như Customized Abutment Titanium.
Một ưu điểm tuyệt đối của Abutment Customized Zirconia là khả năng tạo lập hàng rào sinh học. Abutment Customized Zirconia có khả năng kết nối sinh học với mô lợi bằng liên kết biểu mô, là liên kết cực kỳ vững chắc (tương tự như liên kết lợi vào xương hàm), có khả năng ngăn chặn tuyệt đối sự xâm nhập của vi khuẩn từ môi trường miệng xuống chân implant bên dưới.
Customized Abutment Zirconia chỉ có một nhược điểm duy nhất là giá thành cao.
>>> Xem chi tiết về trụ phục hình giải phẫu cá nhân hóa tại bài viết: Những điều cần biết về trụ phục hình giải phẫu cá nhân hóa.

Trụ phục hình giải phẫu cá nhân hóa bằng Zirconia có hình dạng và màu sắc giống đúc thân răng.
Tóm lại: Mục đích cuối cùng của trồng răng implant là để ăn nhai và thẩm mỹ, đi tới tận cùng của mục đích, thì trụ phục hình có thể coi là thành phần quan trọng nhất của răng implant. Nếu lựa chọn trụ phục hình không tốt, thì dù chân implant có vững chắc, vẫn không thế mang lại cho bạn một chiếc răng implant đẹp, ăn nhai không bị giắt thức ăn và không bị viêm nhiễm mãn tính. Do đó, việc lựa chọn một trụ phục hình tốt là yếu tố cực kỳ quan trọng khi bạn lựa chọn trồng răng bằng implant.
Tin cùng chủ đề
Câu hỏi liên quan
Tin tức nổi bật
28/04/2026
Đăng ký tư vấn
Đối tác của Nha khoa lạc việt intech