Trên thực tế, không ít người sau khi làm lại chia sẻ rằng họ cảm thấy “hối hận”. Điều đáng nói khi hối hận trồng răng implant không phải lúc nào cũng bắt nguồn từ thất bại hoàn toàn, mà thường đến từ kỳ vọng, chi phí và trải nghiệm sau điều trị. Dưới đây là những nguyên nhân phổ biến nhất.
Đây là một khía cạnh rất ít nha khoa nói thẳng với bệnh nhân trước khi điều trị. Về mặt sinh học, Implant tích hợp trực tiếp vào xương hàm và không có dây chằng nha chu như răng thật. Trong khi đó, chính dây chằng nha chu mới là cấu trúc giúp răng tự nhiên có khả năng cảm nhận lực nhai tinh tế và tạo phản xạ bảo vệ khi cắn quá mạnh. Vì không có cơ chế “giảm chấn” sinh học này, Implant dù vững chắc vẫn không thể mang lại cảm biến ăn nhai giống 100% răng thật.

Trồng răng Implant đáp ứng ăn nhai và thẩm mỹ tốt, nhưng sẽ không thay thế tái tạo hoàn toàn sinh lý của răng thật.
Chính vì vậy, sau khi phục hình, một số bệnh nhân có thể cảm thấy ăn nhai tốt nhưng “không tự nhiên như xưa”, lực cắn không còn tinh tế như trước, hoặc khớp cắn cần một khoảng thời gian để thích nghi. Đây là phản ứng hoàn toàn bình thường về mặt sinh lý, nhưng nếu không được tư vấn rõ ràng từ đầu, bệnh nhân rất dễ rơi vào trạng thái hụt hẫng.
Nếu kỳ vọng ban đầu là “trồng vào sẽ giống răng thật 100%”, thì chỉ một khác biệt nhỏ về cảm giác cũng có thể dẫn đến tâm lý thất vọng. Theo Thạc sĩ – Bác sĩ Thái Khắc Vinh, Implant là giải pháp thay thế răng mất tốt nhất hiện nay về chức năng và độ bền, nhưng không thể tái tạo hoàn toàn sinh lý của răng thật. Hiểu đúng giới hạn này ngay từ đầu sẽ giúp bệnh nhân có kỳ vọng thực tế hơn và hài lòng lâu dài với kết quả điều trị.
Nhiều người quyết định trồng răng vì mức giá quảng cáo quá hấp dẫn, chỉ 2-4 triệu đồng mỗi trụ. Tuy nhiên, trụ Implant giá rẻ thường không rõ nguồn gốc, bề mặt xử lý sinh học kém hoặc chưa được kiểm chứng lâm sàng lâu dài.
Giai đoạn đầu có thể vẫn tích hợp bình thường, nhưng sau một thời gian chịu lực ăn nhai, xương quanh trụ dễ tiêu dần, xuất hiện sưng, đau, viêm hoặc lung lay. Khi đó, bệnh nhân không chỉ mất chi phí ban đầu mà còn phải tốn thêm tiền ghép xương, tháo trụ và cấy lại từ đầu.

Đào thải, mất tích hợp, hở trụ do sử dụng dòng implant giá rẻ.
Sự hối hận thường đến khi nhận ra rằng khoản “tiết kiệm” ban đầu lại khiến tổng chi phí và rủi ro về sau cao hơn rất nhiều. Trong cấy ghép Implant, lựa chọn vật liệu đạt chuẩn và có nguồn gốc rõ ràng luôn quan trọng hơn yếu tố giá rẻ.
Nhiều bệnh nhân bị thu hút bởi mức giá quảng cáo ban đầu, nhưng khi bắt đầu điều trị lại phát sinh thêm chi phí ghép xương, nâng xoang, điều trị viêm, thay trụ khác… khiến tổng số tiền tăng gấp 2–3 lần dự kiến.
Cảm giác “không được nói rõ từ đầu” khiến bệnh nhân mất niềm tin và dễ rơi vào tâm lý hối hận, dù kết quả cuối cùng có thể vẫn đạt yêu cầu.
Do vậy, lời khuyên để tránh hối hận khi trồng răng implant là hãy yêu cầu nha khoa báo giá trọn gói toàn bộ quá trình, bao gồm các chi phí có thể phát sinh, giải thích rõ tình trạng xương hàm hiện tại có cần ghép xương hoặc nâng xoang hay không.
Minh bạch ngay từ đầu giúp cô chú/anh chị chủ động tài chính, chuẩn bị tâm lý đầy đủ và tránh cảm giác “bị động” trong suốt quá trình điều trị.
>>> Xem thêm: Bảng giá trồng răng Implant trọn gói 2026 - Công khai, minh bạch
Khi Implant mất tích hợp hoặc tiêu xương quanh trụ, việc xử lý không hề đơn giản. Bệnh nhân có thể phải tháo trụ cũ, ghép xương chờ lành thương nhiều tháng rồi cấy lại từ đầu.
Lúc này, sự mệt mỏi kéo dài, đau đớn và thời gian điều trị quá lâu khiến nhiều người cảm thấy “giá như mình chọn kỹ hơn ngay từ đầu”.
Cần làm gì để tránh tình huống này?
Chọn nha khoa uy tín, bác sĩ trồng răng chuyên sâu về Implant, không chỉ dựa vào quảng cáo hay giá rẻ.
Thực hiện đầy đủ chụp phim CT Cone Beam trước điều trị để đánh giá mật độ xương, vị trí dây thần kinh và lập kế hoạch chính xác.
Tuân thủ nghiêm ngặt hướng dẫn chăm sóc và tái khám định kỳ sau khi cấy ghép.
Kiểm soát các yếu tố nguy cơ như hút thuốc lá, tiểu đường không ổn định.

Bệnh nhân bắt buộc phải được chụp phim, thăm khám và lên kế hoạch trước khi tiến hành đặt Implant.
Implant là kỹ thuật cấy ghép vào xương hàm, đòi hỏi bác sĩ có kinh nghiệm phẫu thuật, hiểu rõ giải phẫu và kiểm soát biến chứng. Nếu thực hiện tại cơ sở thiếu trang thiết bị hoặc bác sĩ chưa chuyên sâu, nguy cơ sai lệch vị trí, quá tải lực hoặc biến chứng sau này sẽ cao hơn.
Nhiều bệnh nhân chỉ nhận ra điều này khi gặp vấn đề và phải chuyển sang nơi khác xử lý lại.
Lời khuyên: Ưu tiên nha khoa có hệ thống chụp CT Cone Beam, có các công nghệ phẫu thuật mới hiện đại như định vị X-guide, máng hướng dẫn phẫu thuật đảm bảo đặt implant đúng vị trí, đúng trục, hướng. Đồng thời, nha khoa cũng đảm bảo quy trình vô trùng chuẩn và bác sĩ chuyên sâu về Implant thay vì chỉ dựa vào giá hoặc quảng cáo.

Để tránh hối hận trồng răng Implant nên chọn nha khoa chuyên sâu về Implant.
Implant không thể “miễn nhiễm” với viêm nhiễm. Nếu không vệ sinh tốt hoặc bỏ qua tái khám định kỳ, nguy cơ viêm quanh Implant và tiêu xương vẫn có thể xảy ra.
Nhiều bệnh nhân chỉ thực sự hối hận khi biến chứng xuất hiện, bởi lúc đó việc xử lý đã phức tạp và tốn kém hơn rất nhiều.
Bàn luận chi tiết về "Hối hận trồng răng implant" cùng chuyên gia.
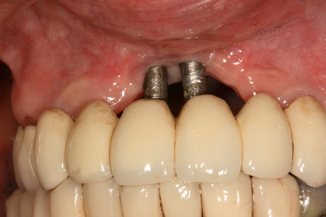
Thực tế lâm sàng cho thấy, rất nhiều trường hợp Implant mất tích hợp muộn (tức là thải ghép sau một thời gian sử dụng) có nguyên nhân xuất phát trực tiếp từ yếu tố vật liệu. Trong đó, hai tình huống phổ biến nhất bao gồm:
Một số cơ sở nha khoa sử dụng trụ Implant giá rẻ, không rõ nguồn gốc, hoặc bề mặt trụ không được xử lý đạt chuẩn sinh học. Ở giai đoạn đầu, trụ vẫn có thể bám vào xương hàm. Tuy nhiên, sau một thời gian chịu lực ăn nhai, xương không còn duy trì được sự liên kết ổn định với bề mặt Implant, dẫn đến hiện tượng “mất tích hợp”. Đây chính là lý do vì sao không ít bệnh nhân sau 6 tháng – 1 năm mới bắt đầu xuất hiện các triệu chứng sưng đau, viêm quanh Implant, thậm chí trụ bị lung lay.

Sử dụng trụ implant giá rẻ, kém chất lượng khiến implant bị mất tích hợp
Về mặt sinh học, sau khi gắn phục hình, quanh Implant sẽ hình thành một “hàng rào sinh học” nhằm ngăn vi khuẩn xâm nhập xuống vùng xương bên dưới. Tuy nhiên, nếu trụ phục hình không đảm bảo độ chính xác hoặc chất lượng vật liệu thấp, hàng rào này sẽ bị phá vỡ. Khi đó, vi khuẩn dễ dàng tấn công vùng cổ Implant, gây viêm nhiễm và dẫn đến tiêu xương quanh trụ.
Ngoài ra, trong một số ít trường hợp, răng sứ không đạt chuẩn cũng có thể góp phần làm tăng nguy cơ biến chứng, tuy nhiên tỷ lệ này không phổ biến bằng hai nguyên nhân trên.
Tóm lại, xét trên khía cạnh vật liệu, chất lượng trụ Implant và trụ phục hình vẫn là yếu tố then chốt quyết định khả năng tích hợp xương bền vững và sự thành công lâu dài của ca trồng răng.
Bên cạnh vật liệu, kỹ thuật thực hiện cũng là nguyên nhân quan trọng dẫn đến tình trạng Implant mất tích hợp muộn. Điều này thường xảy ra khi bác sĩ thiếu kinh nghiệm hoặc không ứng dụng các công nghệ hỗ trợ hiện đại như máng hướng dẫn phẫu thuật, robot định vị Implant.
Khi Implant không được đặt đúng trục sinh học, chẳng hạn trụ bị nghiêng, lệch trong – lệch ngoài so với vị trí lý tưởng, thì ban đầu vẫn có thể tích hợp với xương. Tuy nhiên, về lâu dài, lực nhai không phân bố đúng hướng sẽ khiến xương quanh Implant bị tiêu dần, hình thành các “bậc tiêu xương”, cuối cùng dẫn đến mất tích hợp.
Một yếu tố kỹ thuật khác thường bị xem nhẹ nhưng lại cực kỳ quan trọng chính là xử lý khớp cắn. Đây là công đoạn khó, đòi hỏi bác sĩ có nhiều kinh nghiệm lâm sàng. Nếu khớp cắn không được điều chỉnh chính xác, lực nhai sẽ dồn quá mức lên Implant. Ban đầu có thể chưa xuất hiện dấu hiệu bất thường, nhưng sau một thời gian, tình trạng quá tải này sẽ phá hủy xương quanh trụ, khiến Implant bị lung lay, thậm chí gãy trụ.
Kết luận, dù Implant có tích hợp tốt ban đầu, nhưng nếu đặt sai vị trí hoặc xử lý khớp cắn không triệt để, nguy cơ thất bại về lâu dài là rất cao.

Sử dụng máng hướng dẫn phẫu thuật để đặt trụ đúng trục sinh học và chuẩn xác, tránh nguy cơ mất tích hợp trụ implant
Không thể phủ nhận rằng, một phần nguyên nhân mất tích hợp muộn cũng đến từ chính thói quen và ý thức chăm sóc của bệnh nhân.
Ví dụ điển hình là nghiến răng khi ngủ – một thói quen nhiều người không hề hay biết. Với bác sĩ có kinh nghiệm, các dấu hiệu như răng mòn nhiều, mòn vẹt bất thường sẽ giúp tiên lượng sớm nguy cơ này để có phương án phòng ngừa. Tuy nhiên, không phải trường hợp nào cũng được phát hiện kịp thời.
Bên cạnh đó, việc chăm sóc răng miệng không đúng cách, không tái khám định kỳ cũng làm tăng nguy cơ biến chứng. Dù vệ sinh kém hiếm khi là nguyên nhân duy nhất khiến Implant mất tích hợp chỉ sau 1 năm, nhưng nếu có các dấu hiệu như viêm lợi, chảy máu khi đánh răng kéo dài mà không được xử lý sớm, Implant vẫn có thể gặp rủi ro.
Trong các trường hợp nghi ngờ bệnh nhân nghiến răng, bác sĩ giàu kinh nghiệm thường sẽ hẹn tái khám sớm (sau khoảng 2–3 tháng) để kiểm tra răng sứ, răng đối diện và hình ảnh X-quang quanh cổ Implant. Nếu phát hiện sớm, có thể can thiệp bằng máng cơ sinh học nhằm giảm tải lực và bảo vệ Implant.
Lời khuyên quan trọng dành cho bệnh nhân:
Lựa chọn nha khoa uy tín, bác sĩ có kinh nghiệm và vật liệu Implant chất lượng.
Tuân thủ đúng hướng dẫn vệ sinh và lịch tái khám định kỳ.
Chủ động quay lại ngay khi có dấu hiệu bất thường như đau, sưng, chảy máu, hôi miệng.
Tóm lại, yếu tố từ phía bệnh nhân – từ thói quen xấu, bệnh lý nền, đến việc không tái khám định kỳ – đều có thể góp phần khiến Implant thất bại. Vì vậy, thành công lâu dài của cấy ghép Implant cần sự phối hợp chặt chẽ giữa bác sĩ, nha khoa và chính bệnh nhân.
Một trong những nguyên nhân khiến nhiều người hối hận nhất sau khi trồng răng Implant chính là chi phí thực tế cao hơn rất nhiều so với mức giá ban đầu được quảng cáo.
Không ít cơ sở nha khoa thu hút khách hàng bằng mức giá Implant cực thấp. Tuy nhiên, khi bước vào điều trị, bệnh nhân mới phát sinh thêm hàng loạt chi phí như: ghép xương, nâng xoang, thay trụ khác, chỉnh khớp cắn, điều trị viêm… khiến tổng chi phí đội lên gấp nhiều lần so với dự tính.
Đáng lo ngại hơn, trong những trường hợp Implant thất bại, bệnh nhân còn phải làm lại từ đầu, vừa tốn thêm tiền, vừa mất thời gian, vừa chịu đau đớn kéo dài. Có những ca, riêng chi phí xử lý biến chứng và ghép xương đã lên tới 10–20 triệu đồng, chưa kể thời gian điều trị kéo dài cả năm.

Giá rẻ ban đầu không đồng nghĩa với tiết kiệm, mà ngược lại, có thể trở thành nguyên nhân dẫn đến hối hận nặng nề về tài chính và sức khỏe
Một bệnh nhân từng chia sẻ với nha khoa Lạc Việt Intech: Sau khi mất vài răng hàm dưới, anh quyết định đi trồng Implant tại một cơ sở gần nhà vì thấy quảng cáo “bảo hành trọn đời – chỉ 3,9 triệu/Implant”. Tổng cộng 7 trụ Implant chỉ hết khoảng 28 triệu đồng. Nghe qua thì có vẻ là một “món hời”. Thời gian đầu, mọi thứ tưởng chừng ổn thỏa, nhưng chỉ sau 3-4 tháng, anh bắt đầu cảm thấy đau nhức, sưng tấy, vùng trụ Implant lung lay và khó chịu kéo dài. Khi quay lại cơ sở để bảo hành thì phòng khám đã đóng cửa, thay bảng hiệu mới, không còn ai chịu trách nhiệm.
Theo chia sẻ từ bác sĩ Thái Khắc Vinh, đây không phải là trường hợp hiếm gặp. Thực tế có nhiều phòng khám mở ra chỉ để làm giá rẻ, chạy quảng cáo ngắn hạn, sau đó biến mất. Thậm chí, không ít nơi không phải do bác sĩ nha khoa điều hành, mà đứng sau là các đơn vị thương mại thuê mặt bằng, thuê người làm. Điều này khiến chất lượng chuyên môn không được đảm bảo, dẫn đến hàng loạt ca Implant thất bại.
Hậu quả với bệnh nhân là gấp nhiều lần: vừa mất chi phí ban đầu, vừa phải tốn thêm khoản tiền lớn để ghép xương, xử lý biến chứng rồi cấy lại Implant. Có trường hợp riêng phần ghép xương đã tốn hơn 10–20 triệu, thời gian điều trị kéo dài cả năm. Quan trọng hơn, sức khỏe và chất lượng cuộc sống của người bệnh bị ảnh hưởng nghiêm trọng.
Chúng ta cần hiểu một điều: việc tìm được một nơi vừa giá rẻ vừa chất lượng tốt là rất khó, gần như không dễ để ai cũng làm được. Vì vậy, khi trồng răng Implant, lời khuyên đưa ra là lựa chọn yếu tố an toàn là ưu tiên số một. Implant là phương pháp y khoa, có can thiệp, nên bắt buộc phải tìm hiểu kỹ để đảm bảo an toàn.
Để đạt được yếu tố an toàn này, cần lưu ý ba yếu tố:

Lựa chọn cơ sở nha khoa uy tín là bước đầu để không bị hối hận khi trồng răng implant
Sau khi đảm bảo ba yếu tố trên, lúc đó chúng ta mới xem xét loại Implant nào phù hợp với túi tiền. Như vậy, an toàn và chất lượng phải đặt trước, giá cả mới là yếu tố sau cùng. Tránh bị cám dỗ bởi giá rẻ ban đầu, vì hậu quả về sau có thể rất nặng: mất tiền, mất thời gian, đau đớn, thậm chí cần làm lại hoàn toàn.
Ví dụ như trường hợp một bệnh nhân trồng 7 Implant gần 30 triệu đồng, tưởng rẻ, nhưng sau đó phải ghép xương để xử lý vấn đề tiêu xương, mất thêm tiền, mất sức khỏe, thời gian, và cuối cùng cũng không đạt được kết quả như mong muốn. Nhiều bệnh nhân khác chỉ riêng chi phí ghép xương xử lý biến chứng đã lên tới gần 20 triệu và mất hơn một năm mới giải quyết xong.
Ngoài ra, chúng ta cũng lưu ý về rủi ro tổn thương ống thần kinh hàm dưới, có thể gây tê môi, đau hoặc mất cảm giác. Mức độ tổn thương chia thành bốn loại:
Để phòng ngừa các biến chứng nguy hiểm này, quan điểm của các bác sĩ Nha khoa Lạc Việt Intech là “phòng hơn tránh”. Ba yếu tố cốt lõi giúp giảm rủi ro, tránh biến chứng khi trồng răng implant là:
Khi kết hợp cả ba yếu tố trên sẽ đảm bảo ca trồng Implant được thực hiện an toàn, giảm tối đa nguy cơ biến chứng, đảm bảo kết quả bền vững, lâu dài.
Tóm lại, trồng răng Implant là một phương pháp y khoa, vì vậy an toàn luôn phải đặt lên hàng đầu. Khi lựa chọn Implant, bệnh nhân cần chú ý ba yếu tố: công nghệ trồng răng chính xác, nguyên vật liệu chất lượng, và bác sĩ uy tín – sau đó mới cân nhắc đến giá cả. Đầu tư vào công nghệ hỗ trợ phẫu thuật chính xác sẽ giúp giảm tối đa rủi ro như tổn thương dây thần kinh, tiêu xương hay thất bại Implant.
Nếu chọn sai chỗ hoặc quá chú trọng giá rẻ, hậu quả không chỉ là mất thời gian, tiền bạc, sức khỏe, mà còn có thể để lại hối hận kéo dài. Ngược lại, với lựa chọn thông minh và kỹ lưỡng, bệnh nhân sẽ bảo vệ sức khỏe, tiết kiệm chi phí về lâu dài và giữ được nụ cười đẹp, bền vững. Như vậy, quyết định đúng ngay từ đầu chính là cách để tránh hối hận sau này.
Nếu cô chú/anh chị đang phân vân về tình trạng của mình, đừng ngần ngại liên hệ Nha khoa Lạc Việt Intech để được tư vấn chuyên sâu và đưa ra giải pháp phù hợp nhất!
Tin cùng chủ đề
Câu hỏi liên quan
Tin tức nổi bật
28/04/2026
Đăng ký tư vấn
Đối tác của Nha khoa lạc việt intech