Tư Vấn Chuyên Môn
BS. Hoàng Vũ Hiệp
Bác sĩ
Cấy ghép Implant là một giải pháp phục hình cố định, có tuổi thọ lâu dài. Tuy nhiên, cần hiểu rõ: Implant không phải là “vĩnh viễn không bao giờ có vấn đề”.
Trong quá trình sử dụng nhiều năm, có thể xảy ra tình trạng lỏng vít phục hình, mẻ hoặc vỡ răng sứ, viêm mô quanh Implant, tiêu xương quanh trụ hay sai lệch khớp cắn theo thời gian.

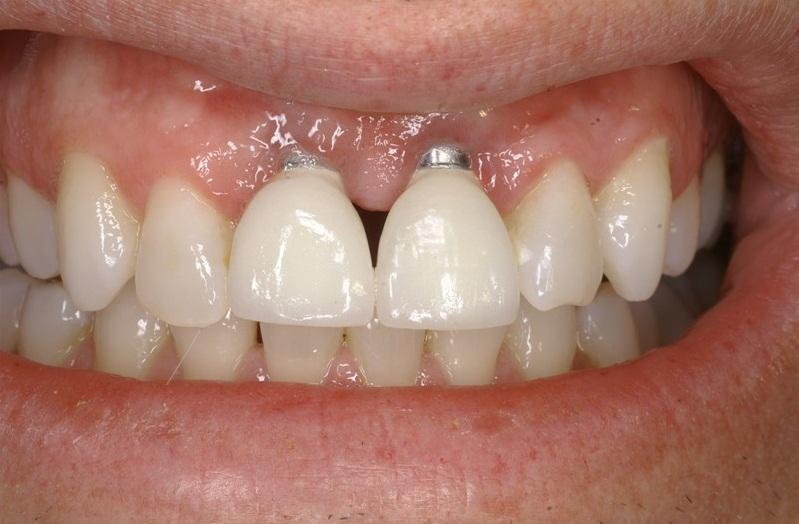
Viêm quanh implant xảy ra do kế hoạch điều trị hoặc phục hình không tối ưu từ ban đầu.
Với bệnh nhân sống tại Việt Nam, việc tái khám và xử lý tương đối thuận tiện. Nhưng với bệnh nhân Việt kiều về nước trồng răng, việc phải bay hàng nghìn km chỉ để xử lý một vít lỏng hay chỉnh sửa phục hình là điều không đơn giản.
>>>>Xem thêm: Nhược điểm của trồng răng implant
Vì sao rủi ro này tồn tại?
Implant là một hệ thống gồm 3 phần: trụ trong xương – trụ phục hình – mão răng sứ. Nếu một trong ba phần không được thiết kế tối ưu ngay từ đầu (đặc biệt là khớp cắn và trục chịu lực), nguy cơ phát sinh vấn đề sau 2–5 năm là có thể xảy ra.
Và khi vấn đề xuất hiện, khoảng cách địa lý trở thành một rào cản lớn: việc xử lý không thể diễn ra kịp thời, không phải nha khoa nào tại nước sở tại cũng sẵn sàng can thiệp vào ca điều trị được thực hiện ở nơi khác, và bệnh nhân thậm chí có thể phải đối mặt với những chi phí phát sinh ngoài dự kiến.
Cách phòng tránh
Để hạn chế tối đa rủi ro, bệnh nhân nên chủ động ngay từ khâu lựa chọn: ưu tiên nha khoa có kế hoạch điều trị rõ ràng, đồng bộ, không chỉ dừng ở việc đặt trụ mà còn kiểm soát chặt chẽ phục hình và khớp cắn. Bên cạnh đó, nên lựa chọn đơn vị ứng dụng công nghệ hiện đại giúp đặt trụ chính xác, giảm sai lệch trục ngay từ đầu. Ngoài ra, cũng cần quan tâm đến một số những yếu tố khác bao gồm:
Một ca Implant được lập kế hoạch tốt ngay từ đầu sẽ giảm đáng kể khả năng phải “sửa chữa” về sau.

Một trường hợp được thực hiện thành công bằng giải pháp trồng răng cá nhân hóa tại Lạc Việt Intech.
Thị trường nha khoa tại Việt Nam đang phát triển rất nhanh, mở ra nhiều cơ hội tiếp cận dịch vụ chất lượng. Tuy nhiên, đi kèm với đó là sự chênh lệch đáng kể về chuyên môn và cơ sở vật chất giữa các nha khoa.
Không khó để bắt gặp những quảng cáo như “Implant giá rẻ bất ngờ”, “Trồng răng trong 1 ngày” hay “Bảo hành trọn đời”. Nhưng điều quan trọng hơn là: những cam kết này có thực sự phản ánh đúng chất lượng điều trị hay không?
Trên thực tế, đã có nhiều trường hợp tiêu xương, tụt lợi quanh implant do kế hoạch điều trị không được xây dựng chuẩn xác ngay từ đầu.

Một trường hợp tiêu xương tụt lợi của răng implant do kế hoạch điều trị không tốt.
Việc lựa chọn sai không chỉ ảnh hưởng đến trải nghiệm ban đầu mà còn để lại hệ quả lâu dài: phục hình kém thẩm mỹ, Implant đặt sai vị trí hoặc lệch trục, không kiểm soát tốt các cấu trúc giải phẫu quan trọng như xoang hàm hay dây thần kinh. Nghiêm trọng hơn, bệnh nhân có thể gặp biến chứng như tổn thương thần kinh hoặc viêm nhiễm kéo dài.
Đặc biệt với bệnh nhân quốc tế, rủi ro này còn cao hơn, bởi bạn không thể dễ dàng “ghé qua kiểm chứng” như người đang sinh sống trong nước.
Checklist dành cho bệnh nhân Việt kiều về Việt Nam làm răng implant:
Trước khi quyết định, cô chú/anh chị nên kiểm tra:
Đừng quyết định chỉ dựa trên giá hoặc lời quảng cáo. Hãy quyết định dựa trên năng lực thực tế và minh bạch thông tin.
>>> Xem thêm: Giải pháp cấy ghép implant cá nhân hóa là gì?
Implant là trụ Titanium cấy vào cơ thể, vì vậy chất lượng vật liệu đóng vai trò then chốt. Nếu vật liệu không đạt chuẩn, các vấn đề thường không xuất hiện ngay mà âm thầm tiến triển sau vài năm.
Khi sử dụng vật liệu không chính hãng, bệnh nhân có thể gặp phải nhiều rủi ro như: khả năng tích hợp xương kém, bề mặt trụ bị ăn mòn, kết nối lỏng lẻo, viêm mô quanh Implant và tiêu xương diễn ra dần theo thời gian.

Một trường hợp vỡ cổ implant do điều trị không tốt và vật liệu không đạt tiêu chuẩn.
Điều đáng lo ngại là những biến chứng này thường chỉ được phát hiện khi đã ở giai đoạn muộn, khiến việc xử lý trở nên phức tạp và tốn kém hơn rất nhiều.
Vì sao rủi ro này tồn tại?
Thực tế, thị trường hiện nay vẫn tồn tại nhiều loại vật liệu Implant không được kiểm soát chặt chẽ như: hàng xách tay, sản phẩm không rõ nguồn gốc, các hệ thống trụ “na ná” thương hiệu lớn hoặc vật liệu không có đầy đủ chứng từ chứng minh xuất xứ.
Chính sự đa dạng nhưng thiếu minh bạch này khiến bệnh nhân rất khó phân biệt đâu là sản phẩm chính hãng, đâu là vật liệu kém chất lượng nếu không được tư vấn rõ ràng ngay từ đầu.
Bệnh nhân cần làm gì?
Implant là điều trị dài hạn 10-20 năm, đừng để sự tiết kiệm ngắn hạn đánh đổi tương lai sức khỏe lâu dài.
Không phải nha khoa nào cũng cập nhật công nghệ mới. Một số nơi vẫn áp dụng phương pháp:
Hệ quả có thể gặp
Việc thiếu hỗ trợ từ công nghệ không chỉ ảnh hưởng đến trải nghiệm mà còn tác động trực tiếp đến kết quả điều trị lâu dài:

Thiếu công nghệ hỗ trợ, Implant có thể xâm phạm, làm tổn thương các cấu trúc giải phẫu thần kinh.
Những hạn chế về công nghệ càng trở nên nguy hiểm hơn trong các trường hợp:
Trong những ca này, công nghệ hiện đại không còn là “lợi thế”, mà gần như là yếu tố bắt buộc để đảm bảo độ an toàn và hiệu quả điều trị
Cách phòng tránh
Bệnh nhân Việt kiều về Việt Nam trồng răng Implant nên tìm hiểu:
Công nghệ không phải để “khoe”, mà để giảm rủi ro và tăng độ chính xác.
Cô chú/anh chị Kiều bào về Việt Nam làm răng có thể tham khảo các công nghệ trồng răng implant đang áp dụng tại nha khoa Lạc Việt Intech.
Việt Nam có lợi thế lớn về giá Implant so với Mỹ, Úc hoặc châu Âu – có thể thấp hơn 50–70%. Tuy nhiên, giá thấp không đồng nghĩa với minh bạch.
Trên thực tế, nhiều trường hợp báo giá ban đầu khá thấp nhưng chưa bao gồm đầy đủ các hạng mục cần thiết. Các chi phí như ghép xương, nâng xoang, trụ phục hình hay mão sứ cao cấp có thể được tách riêng và chỉ phát sinh trong quá trình điều trị. Thậm chí, chi phí xử lý biến chứng hoặc chỉnh sửa sau này đôi khi không được thông báo rõ từ đầu. Điều này khiến tổng chi phí thực tế vượt xa dự tính ban đầu, đặc biệt với bệnh nhân Việt kiều.
Cách phòng tránh
Để tránh rơi vào tình huống này, bệnh nhân nên:
Sự minh bạch ngay từ đầu chính là nền tảng cho một quá trình điều trị an tâm về sau.
Kết luận: Việt Nam là lựa chọn tốt – nếu chọn đúng
Trong khoảng 10–15 năm trở lại đây, nha khoa Việt Nam, đặc biệt là lĩnh vực Implant đã có những bước tiến đáng kể. Đội ngũ bác sĩ ngày càng được đào tạo bài bản, nhiều người có kinh nghiệm quốc tế; công nghệ và quy trình điều trị cũng liên tục được cập nhật, chuẩn hóa.
Về mặt chuyên môn, chất lượng điều trị Implant tại Việt Nam hiện nay đã tiệm cận với nhiều quốc gia phát triển, trong khi chi phí vẫn tối ưu hơn đáng kể. Đây chính là lý do khiến ngày càng nhiều Kiều bào lựa chọn trở về Việt Nam để điều trị – một quyết định hợp lý về cả chuyên môn lẫn tài chính.

Chất lượng điều trị Implant tại Việt Nam hiện nay đã tiệm cận với nhiều quốc gia phát triển, với công nghệ hiện đại, bác sĩ chuyên môn tốt và vật liệu chính ngạch.
Tuy nhiên, cần nhìn nhận rõ: không phải nha khoa nào cũng giống nhau, không phải quảng cáo nào cũng phản ánh đúng thực tế, và cũng không phải mức giá thấp nào cũng là lợi thế.
Cô chú/anh chị Việt kiều về nước làm răng sẽ là một lựa chọn đúng đắn khi lựa chọn đúng ngay từ đầu: một nha khoa có pháp lý rõ ràng, bác sĩ chuyên sâu, công nghệ hiện đại, vật liệu chính hãng, chi phí minh bạch và cam kết đồng hành lâu dài.
Y khoa không phải là nơi để “thử vận may”. Hãy lựa chọn dựa trên hiểu biết, không phải cảm tính. Và khi cô chú/anh chị lựa chọn đúng, Việt Nam hoàn toàn có thể mang lại một kết quả điều trị an toàn, bền vững, thẩm mỹ và đảm bảo chức năng ăn nhai trong nhiều năm.
Tin cùng chủ đề
Đối tác của Nha khoa lạc việt intech